> Antigen, Antibodies, ELISA, Western Blot > Primary Antibody > Polyclonal Antibodies > RNF7 Antibody (N-term)Brand |
Leading Biology | Catalog Number |
AMR09751G |
Product Type |
Polyclonal Antibodies | Field of Research |
|
Product Overview |
We constantly strive to ensure we provide our customers with the best antibodies. As a result of this work we offer this antibody in purified format.
We are in the process of updating our datasheets. If you have any questions regarding this update, please feel free to contact our technical support team.
This product is a high quality RNF7 antibody (N-term).
|
||
Molecular Weight |
12683 Da
|
||
Cellular Localization |
Antigen Cellular Localization:
Cytoplasm. Nucleus
|
||
Host |
Rabbit
|
||
Species Reactivity |
Human, Mouse
|
||
Target |
This RNF7 antibody is generated from a rabbit immunized with a KLH conjugated synthetic peptide between 25-57 amino acids from the N-terminal region of human RNF7.
|
||
Isotype |
Rabbit Ig
|
||
Symbol |
RBX2, ROC2, SAG
|
||
GeneID |
|||
UniProt ID |
|||
Function |
Probable component of the SCF (SKP1-CUL1-F-box protein) E3 ubiquitin ligase complex which mediates the ubiquitination and subsequent proteasomal degradation of target proteins involved in cell cycle progression, signal transduction and transcription. Through the RING-type zinc finger, seems to recruit the E2 ubiquitination enzyme to the complex and brings it into close proximity to the substrate. Promotes the neddylation of CUL5 via its interaction with UBE2F. May play a role in protecting cells from apoptosis induced by redox agents.
|
||
Summary |
Probable component of the SCF (SKP1-CUL1-F-box protein) E3 ubiquitin ligase complex which mediates the ubiquitination and subsequent proteasomal degradation of target proteins involved in cell cycle progression, signal transduction and transcription. Through the RING-type zinc finger, seems to recruit the E2 ubiquitination enzyme to the complex and brings it into close proximity to the substrate. Promotes the neddylation of CUL5 via its interaction with UBE2F. May play a role in protecting cells from apoptosis induced by redox agents.
|
||
Form |
Purified polyclonal antibody supplied in PBS with 0.09% (W/V) sodium azide. This antibody is purified through a protein A column, followed by peptide affinity purification. |
||
Storage & Stability |
Store at +4°C short term. For long-term storage, aliquot and store at -20°C or below. Stable for 12 months at -20°C. Avoid repeated freeze-thaw cycles.
|
||
Applications |
IHC-P, WB, E
|
||
Dilution |
IHC-P~~1:25
WB~~1:8000
|
||
Synonyms |
RING-box protein 2, Rbx2, CKII beta-binding protein 1, CKBBP1, RING finger protein 7, Regulator of cullins 2, Sensitive to apoptosis gene protein, RNF7, RBX2, ROC2, SAG
|
||
Images |
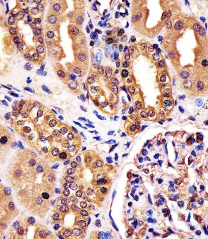
AMR09751G staining RNF7 in human kidney tissue sections by Immunohistochemistry (IHC-P - paraformaldehyde-fixed, paraffin-embedded sections). Tissue was fixed with formaldehyde and blocked with 3% BSA for 0. 5 hour at room temperature; antigen retrieval was by heat mediation with a citrate buffer (pH6). Samples were incubated with primary antibody (1/25) for 1 hours at 37°C. A undiluted biotinylated goat polyvalent antibody was used as the secondary antibody.
All lanes : Anti-RNF7 Antibody (N-term) at 1:8000 dilution Lane 1: human heart lysates Lane 2: human liver lysates Lane 3: human skeletal muscle lysates Lane 4: human testis lysates Lane 5: mouse heart lysates Lysates/proteins at 20 μg per lane. Secondary Goat Anti-Rabbit IgG, (H+L), Peroxidase conjugated at 1/10000 dilution. Predicted band size : 13 kDa Blocking/Dilution buffer: 5% NFDM/TBST. |
||
Specification |
|||
Quantity |
|
||
| Select | Brand | Catalog No. | Product Name | Pack Size | Type | Field of Research | Specification | Quantity | Price(USD) | |
| 1 | Leading Biology | APR03440G | ITGA11 Antibody (N-term) | 100 μl | Polyclonal Antibodies |
|
$495.00 | Add Ask | ||
| 2 | Leading Biology | APR04537G | CMIP Antibody (C-term) | 100 μl | Polyclonal Antibodies |
|
$495.00 | Add Ask | ||
| 3 | Leading Biology | APR12422G | Human H4 Histamine Receptor (extracellular) Antibody | 50 μl | Polyclonal Antibodies |
|
$695.00 | Add Ask | ||
| 4 | Leading Biology | APR03844G | UBE2W Antibody (C-term) | 100 μl | Polyclonal Antibodies |
|
$495.00 | Add Ask | ||
| 5 | Leading Biology | APR04349G | HECTD2 Antibody (N-term) | 100 μl | Polyclonal Antibodies |
|
$495.00 | Add Ask | ||
| 6 | Leading Biology | APR03502G | IGHG1 Antibody (Center) | 100 μl | Polyclonal Antibodies |
|
$495.00 | Add Ask |
Leading Biology Inc.
2600 Hilltop DR, Building G, B Suite C138
Richmond, CA, 94806
Tel: 1-661-524(LBI)-0262
Email: info@leadingbiology.com
Complete this form and click send to ask us a question, request a quote or simply say hello.

You have 0 item in your cart

You have 0 item in your inquiry list