> Antigen, Antibodies, ELISA, Western Blot > Primary Antibody > Polyclonal Antibodies > (Mouse) Sox17 Antibody (C-term)Brand |
Leading Biology | Catalog Number |
AMM08737G |
Product Type |
Polyclonal Antibodies | Field of Research |
|
Product Overview |
We constantly strive to ensure we provide our customers with the best antibodies. As a result of this work we offer this antibody in purified format.
We are in the process of updating our datasheets. If you have any questions regarding this update, please feel free to contact our technical support team.
This product is a high quality (Mouse) Sox17 antibody (C-term).
|
||
Molecular Weight |
44646 Da
|
||
Cellular Localization |
Antigen Cellular Localization:
Nucleus {ECO:0000255|PROSITE- ProRule:PRU00267, ECO:0000269|PubMed:20802155}
|
||
Host |
Rabbit
|
||
Species Reactivity |
Human, Mouse
|
||
Target |
This mouse Sox17 antibody is generated from a rabbit immunized with a KLH conjugated synthetic peptide between 353-387 amino acids from the C-terminal region of mouse Sox17.
|
||
Isotype |
Rabbit Ig
|
||
Symbol |
Sox-17
|
||
GeneID |
|||
UniProt ID |
|||
Function |
Acts as transcription regulator that binds target promoter DNA and bends the DNA. Binds to the sequences 5'- AACAAT-'3 or 5'-AACAAAG-3'. Modulates transcriptional regulation via WNT3A. Inhibits Wnt signaling. Promotes degradation of activated CTNNB1. Plays a key role in the regulation of embryonic development. Required for normal looping of the embryonic heart tube. Required for normal development of the definitive gut endoderm. Probable transcriptional activator in the premeiotic germ cells. Isoform 2 (T-SOX17) shows no DNA-binding activity.
|
||
Summary |
Acts as transcription regulator that binds target promoter DNA and bends the DNA. Binds to the sequences 5'- AACAAT-'3 or 5'-AACAAAG-3'. Modulates transcriptional regulation via WNT3A. Inhibits Wnt signaling. Promotes degradation of activated CTNNB1. Plays a key role in the regulation of embryonic development. Required for normal looping of the embryonic heart tube. Required for normal development of the definitive gut endoderm. Probable transcriptional activator in the premeiotic germ cells. Isoform 2 (T-SOX17) shows no DNA-binding activity.
|
||
Form |
Purified polyclonal antibody supplied in PBS with 0.09% (W/V) sodium azide. This antibody is purified through a protein A column, followed by peptide affinity purification. |
||
Storage & Stability |
Store at +4°C short term. For long-term storage, aliquot and store at -20°C or below. Stable for 12 months at -20°C. Avoid repeated freeze-thaw cycles.
|
||
Applications |
IF, IHC-P, WB, E
|
||
Dilution |
IF~~1:25
IHC-P~~1:25
WB~~1:2000
|
||
Synonyms |
Transcription factor SOX-17, Sox17, Sox-17
|
||
Images |
Immunofluorescent analysis of 4% paraformaldehyde-fixed, 0. 1% Triton X-100 permeabilized Hela (Human Cervical epithelial adenocarcinoma cell line) cells labeling Pdx1 with AMM08737G at 1/25 dilution, followed by Dylight? 488-conjugated goat anti-rabbit IgG (NK179883) secondary antibody at 1/200 dilution (green). Immunofluorescence image showing nucleus staining on Hela cell line. Cytoplasmic actin is detected with Dylight? 554 Phalloidin (PD18466410) at 1/100 dilution (red).
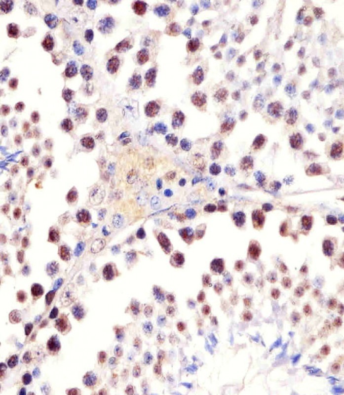
AMM08737G staining (Mouse) Sox17 in mouse testis sections by Immunohistochemistry (IHC-P - paraformaldehyde-fixed, paraffin-embedded sections). Tissue was fixed with formaldehyde and blocked with 3% BSA for 0. 5 hour at room temperature; antigen retrieval was by heat mediation with a citrate buffer (pH6). Samples were incubated with primary antibody (1/25) for 1 hours at 37°C. A undiluted biotinylated goat polyvalent antibody was used as the secondary antibody.
Anti-Sox17 Antibody (C-term)at 1:2000 dilution + mouse testis lysates Lysates/proteins at 20 μg per lane. Secondary Goat Anti-Rabbit IgG, (H+L), Peroxidase conjugated at 1/10000 dilution Predicted band size : 45 kDa Blocking/Dilution buffer: 5% NFDM/TBST. |
||
Specification |
|||
Quantity |
|
||
| Select | Brand | Catalog No. | Product Name | Pack Size | Type | Field of Research | Specification | Quantity | Price(USD) | |
| 1 | Leading Biology | APR03440G | ITGA11 Antibody (N-term) | 100 μl | Polyclonal Antibodies |
|
$495.00 | Add Ask | ||
| 2 | Leading Biology | APR04537G | CMIP Antibody (C-term) | 100 μl | Polyclonal Antibodies |
|
$495.00 | Add Ask | ||
| 3 | Leading Biology | APR12422G | Human H4 Histamine Receptor (extracellular) Antibody | 50 μl | Polyclonal Antibodies |
|
$695.00 | Add Ask | ||
| 4 | Leading Biology | APR03844G | UBE2W Antibody (C-term) | 100 μl | Polyclonal Antibodies |
|
$495.00 | Add Ask | ||
| 5 | Leading Biology | APR04349G | HECTD2 Antibody (N-term) | 100 μl | Polyclonal Antibodies |
|
$495.00 | Add Ask | ||
| 6 | Leading Biology | APR03502G | IGHG1 Antibody (Center) | 100 μl | Polyclonal Antibodies |
|
$495.00 | Add Ask |
Leading Biology Inc.
2600 Hilltop DR, Building G, B Suite C138
Richmond, CA, 94806
Tel: 1-661-524(LBI)-0262
Email: info@leadingbiology.com
Complete this form and click send to ask us a question, request a quote or simply say hello.

You have 0 item in your cart

You have 0 item in your inquiry list