> Antigen, Antibodies, ELISA, Western Blot > Primary Antibody > Polyclonal Antibodies > (Mouse) Trim24 Antibody (C-term)Brand |
Leading Biology | Catalog Number |
APR14745G |
Product Type |
Polyclonal Antibodies | Field of Research |
|
Product Overview |
We constantly strive to ensure we provide our customers with the best antibodies. As a result of this work we offer this antibody in purified format.
We are in the process of updating our datasheets. If you have any questions regarding this update, please feel free to contact our technical support team.
This product is a high quality (Mouse) Trim24 antibody (C-term).
|
||
Molecular Weight |
116657 Da
|
||
Cellular Localization |
Antigen Cellular Localization:
Nucleus. Cytoplasm. Note=Detected in the cytoplasm of the zygote. Translocates into the pronucleus at the time of genome activation. Colocalizes with sites of active transcription
|
||
Host |
Rabbit
|
||
Species Reactivity |
Mouse
|
||
Target |
This Mouse Trim24 antibody is generated from a rabbit immunized with a KLH conjugated synthetic peptide between 789-843 amino acids from the C-terminal region of Mouse Trim24.
|
||
Isotype |
Rabbit Ig
|
||
Symbol |
Tif1, Tif1a
|
||
GeneID |
|||
UniProt ID |
|||
Function |
Transcriptional coactivator that interacts with numerous nuclear receptors and coactivators and modulates the transcription of target genes. Interacts with chromatin depending on histone H3 modifications, having the highest affinity for histone H3 that is both unmodified at 'Lys-4' (H3K4me0) and acetylated at 'Lys-23' (H3K23ac) (By similarity). Has E3 protein-ubiquitin ligase activity. Promotes ubiquitination and proteasomal degradation of p53/TP53. Plays a role in the regulation of cell proliferation and apoptosis via its effects on p53/TP53 levels. Up-regulates ligand- dependent transcription activation by AR, GCR/NR3C1, thyroid hormone receptor (TR) and ESR1. Modulates transcription activation by retinoic acid (RA) receptors, such as RARA. Plays a role in regulating retinoic acid-dependent proliferation of hepatocytes. Required for normal transition from proliferating neonatal hepatocytes to quiescent adult hepatocytes.
|
||
Summary |
Transcriptional coactivator that interacts with numerous nuclear receptors and coactivators and modulates the transcription of target genes. Interacts with chromatin depending on histone H3 modifications, having the highest affinity for histone H3 that is both unmodified at 'Lys-4' (H3K4me0) and acetylated at 'Lys-23' (H3K23ac) (By similarity). Has E3 protein-ubiquitin ligase activity. Promotes ubiquitination and proteasomal degradation of p53/TP53. Plays a role in the regulation of cell proliferation and apoptosis via its effects on p53/TP53 levels. Up-regulates ligand- dependent transcription activation by AR, GCR/NR3C1, thyroid hormone receptor (TR) and ESR1. Modulates transcription activation by retinoic acid (RA) receptors, such as RARA. Plays a role in regulating retinoic acid-dependent proliferation of hepatocytes. Required for normal transition from proliferating neonatal hepatocytes to quiescent adult hepatocytes.
|
||
Form |
Purified polyclonal antibody supplied in PBS with 0.09% (W/V) sodium azide. This antibody is purified through a protein A column, followed by peptide affinity purification. |
||
Storage & Stability |
Store at +4°C short term. For long-term storage, aliquot and store at -20°C or below. Stable for 12 months at -20°C. Avoid repeated freeze-thaw cycles.
|
||
Applications |
IHC-P, WB, IF, E
|
||
Dilution |
IHC-P~~1:25
WB~~1:1000
IF~~1:25
|
||
Synonyms |
Transcription intermediary factor 1-alpha, TIF1-alpha, 632-, E3 ubiquitin-protein ligase Trim24, Tripartite motif-containing protein 24, Trim24, Tif1, Tif1a
|
||
Images |
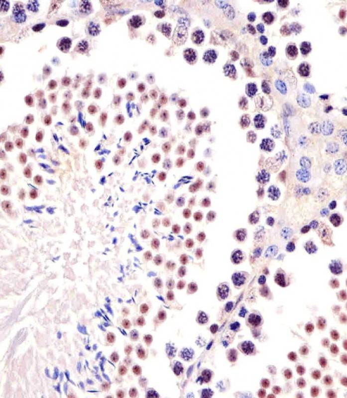
APR14745G staining (Mouse) Trim24 in mouse testis sections by Immunohistochemistry (IHC-P - paraformaldehyde-fixed, paraffin-embedded sections). Tissue was fixed with formaldehyde and blocked with 3% BSA for 0. 5 hour at room temperature; antigen retrieval was by heat mediation with a citrate buffer (pH6). Samples were incubated with primary antibody (1/25) for 1 hours at 37°C. A undiluted biotinylated goat polyvalent antibody was used as the secondary antibody.
Anti-Trim24 Antibody (C-term)at 1:2000 dilution + NIH/3T3 whole cell lysates Lysates/proteins at 20 μg per lane. Secondary Goat Anti-Rabbit IgG, (H+L), Peroxidase conjugated at 1/10000 dilution Predicted band size : 117 kDa Blocking/Dilution buffer: 5% NFDM/TBST.
Fluorescent image of Hela cells stained with (Mouse) Trim24 Antibody (C-term)( APR14745G). APR14745G was diluted at 1:25 dilution. An Alexa Fluor 488-conjugated goat anti-rabbit lgG at 1:400 dilution was used as the secondary antibody (green). Cytoplasmic actin was counterstained with Alexa Fluor? 555 conjugated with Phalloidin (red). |
||
Specification |
|||
Quantity |
|
||
| Select | Brand | Catalog No. | Product Name | Pack Size | Type | Field of Research | Specification | Quantity | Price(USD) | |
| 1 | Leading Biology | APR03440G | ITGA11 Antibody (N-term) | 100 μl | Polyclonal Antibodies |
|
$495.00 | Add Ask | ||
| 2 | Leading Biology | APR04537G | CMIP Antibody (C-term) | 100 μl | Polyclonal Antibodies |
|
$495.00 | Add Ask | ||
| 3 | Leading Biology | APR12422G | Human H4 Histamine Receptor (extracellular) Antibody | 50 μl | Polyclonal Antibodies |
|
$695.00 | Add Ask | ||
| 4 | Leading Biology | APR03844G | UBE2W Antibody (C-term) | 100 μl | Polyclonal Antibodies |
|
$495.00 | Add Ask | ||
| 5 | Leading Biology | APR04349G | HECTD2 Antibody (N-term) | 100 μl | Polyclonal Antibodies |
|
$495.00 | Add Ask | ||
| 6 | Leading Biology | APR03502G | IGHG1 Antibody (Center) | 100 μl | Polyclonal Antibodies |
|
$495.00 | Add Ask |
Leading Biology Inc.
2600 Hilltop DR, Building G, B Suite C138
Richmond, CA, 94806
Tel: 1-661-524(LBI)-0262
Email: info@leadingbiology.com
Complete this form and click send to ask us a question, request a quote or simply say hello.

You have 0 item in your cart

You have 0 item in your inquiry list