> Antigen, Antibodies, ELISA, Western Blot > Primary Antibody > Polyclonal Antibodies > CLN3 Antibody (Center)Brand |
Leading Biology | Catalog Number |
APR11597G |
Product Type |
Polyclonal Antibodies | Field of Research |
|
Product Overview |
We constantly strive to ensure we provide our customers with the best antibodies. As a result of this work we offer this antibody in purified format.
We are in the process of updating our datasheets. If you have any questions regarding this update, please feel free to contact our technical support team.
This product is a high quality CLN3 antibody (Center).
|
||
Molecular Weight |
47623 Da
|
||
Cellular Localization |
Antigen Cellular Localization:
Lysosome membrane; Multi- pass membrane protein. Late endosome
|
||
Host |
Rabbit
|
||
Species Reactivity |
Human, Mouse
|
||
Target |
This CLN3 antibody is generated from a rabbit immunized with a KLH conjugated synthetic peptide between 250-284 amino acids from the Central region of human CLN3.
|
||
Isotype |
Rabbit Ig
|
||
Symbol |
BTS
|
||
GeneID |
|||
UniProt ID |
|||
Function |
Involved in microtubule-dependent, anterograde transport of late endosomes and lysosomes.
|
||
Summary |
Involved in microtubule-dependent, anterograde transport of late endosomes and lysosomes.
|
||
Form |
Purified polyclonal antibody supplied in PBS with 0.09% (W/V) sodium azide. This antibody is purified through a protein A column, followed by peptide affinity purification. |
||
Storage & Stability |
Store at +4°C short term. For long-term storage, aliquot and store at -20°C or below. Stable for 12 months at -20°C. Avoid repeated freeze-thaw cycles.
|
||
Applications |
WB, FC, IHC-P, E
|
||
Dilution |
IHC-P~~1:25
FC~~1:25
WB~~1:1000
|
||
Synonyms |
Battenin, Batten disease protein, Protein CLN3, CLN3, BTS
|
||
Images |
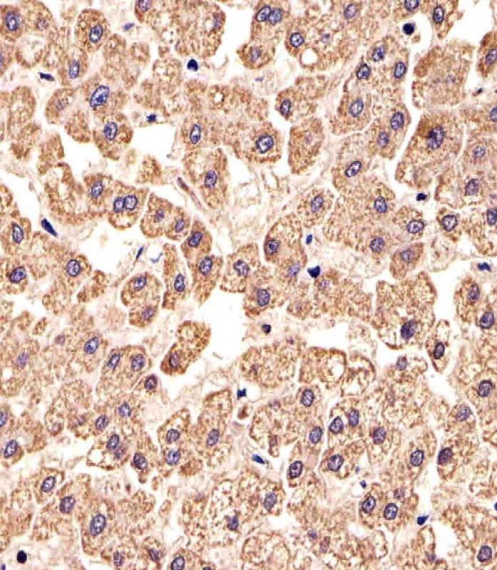
Immunohistochemical analysis of paraffin-embedded H. liver section using CLN3 Antibody (Center)( APR11597G). APR11597G was diluted at 1:25 dilution. A undiluted biotinylated goat polyvalent antibody was used as the secondary, followed by DAB staining.
Flow cytometric analysis of Hela cells using CLN3 Antibody (Center)(green, APR11597Gc) compared to an isotype control of rabbit IgG(blue). APR11597G was diluted at 1:25 dilution. An Alexa Fluor? 488 goat anti-rabbit lgG at 1:400 dilution was used as the secondary antibody.
Western blot analysis of lysates from A431, KG-1, SH-SY5Y cell line, mouse kidney, mouse liver tissue (from left to right), using CLN3 Antibody (Center)( APR11597G). APR11597G was diluted at 1:1000 at each lane. A goat anti-rabbit IgG H&L(HRP) at 1:10000 dilution was used as the secondary antibody. Lysates at 20ug per lane. |
||
Specification |
|||
Quantity |
|
||
| Select | Brand | Catalog No. | Product Name | Pack Size | Type | Field of Research | Specification | Quantity | Price(USD) | |
| 1 | Leading Biology | APR03440G | ITGA11 Antibody (N-term) | 100 μl | Polyclonal Antibodies |
|
$495.00 | Add Ask | ||
| 2 | Leading Biology | APR04537G | CMIP Antibody (C-term) | 100 μl | Polyclonal Antibodies |
|
$495.00 | Add Ask | ||
| 3 | Leading Biology | APR12422G | Human H4 Histamine Receptor (extracellular) Antibody | 50 μl | Polyclonal Antibodies |
|
$695.00 | Add Ask | ||
| 4 | Leading Biology | APR03844G | UBE2W Antibody (C-term) | 100 μl | Polyclonal Antibodies |
|
$495.00 | Add Ask | ||
| 5 | Leading Biology | APR04349G | HECTD2 Antibody (N-term) | 100 μl | Polyclonal Antibodies |
|
$495.00 | Add Ask | ||
| 6 | Leading Biology | APR03502G | IGHG1 Antibody (Center) | 100 μl | Polyclonal Antibodies |
|
$495.00 | Add Ask |
Leading Biology Inc.
2600 Hilltop DR, Building G, B Suite C138
Richmond, CA, 94806
Tel: 1-661-524(LBI)-0262
Email: info@leadingbiology.com
Complete this form and click send to ask us a question, request a quote or simply say hello.

You have 0 item in your cart

You have 0 item in your inquiry list