> Antigen, Antibodies, ELISA, Western Blot > Primary Antibody > Polyclonal Antibodies > VAMP8 Antibody (N-term)Brand |
Leading Biology | Catalog Number |
APR13936G |
Product Type |
Polyclonal Antibodies | Field of Research |
|
Product Overview |
We constantly strive to ensure we provide our customers with the best antibodies. As a result of this work we offer this antibody in purified format.
We are in the process of updating our datasheets. If you have any questions regarding this update, please feel free to contact our technical support team.
This product is a high quality VAMP8 antibody (N-term).
|
||
Molecular Weight |
11438 Da
|
||
Cellular Localization |
Antigen Cellular Localization:
Lysosome membrane; Single-pass type IV membrane protein. Late endosome membrane; Single-pass type IV membrane protein Note=Perinuclear vesicular structures of the early and late endosomes, coated pits, and trans-Golgi. Sub-tight junctional domain in retinal pigment epithelium cells. Midbody region during cytokinesis. Lumenal oriented, apical membranes of nephric tubular cell. Cycles through the apical but not through the basolateral plasma membrane. Apical region of acinar cells; in zymogen granule membranes (By similarity).
|
||
Host |
Rabbit
|
||
Species Reactivity |
Human
|
||
Immunogen |
1-30 aa
|
||
Target |
This VAMP8 antibody is generated from rabbits immunized with a KLH conjugated synthetic peptide between 1-30 amino acids from the N-terminal region of human VAMP8.
|
||
Isotype |
Rabbit Ig
|
||
GeneID |
|||
UniProt ID |
|||
Function |
SNAREs, Soluble N-ethylmaleimide-sensitive factor- attachment protein receptors, are essential proteins for fusion of cellular membranes. SNAREs localized on opposing membranes assemble to form a trans-SNARE complex, an extended, parallel four alpha-helical bundle that drives membrane fusion. VAMP8 is a SNARE involved in autophagy through the direct control of autophagosome membrane fusion with the lysososome membrane. Also required for dense-granule secretion in platelets. Plays also a role in regulated enzyme secretion in pancreatic acinar cells. Involved in the abscission of the midbody during cell division, which leads to completely separate daughter cells. Involved in the homotypic fusion of early and late endosomes.
|
||
Summary |
Involved in the targeting and/or fusion of transport vesicles to their target membrane. Involved for dense-granule secretion in platelets. Plays a role in regulated enzyme secretion in pancreatic acinar cells. Involved in the abscission of the midbody during cell division, which leads to completely separate daughter cells. Involved in the homotypic fusion of early and late endosomes (By similarity).
|
||
Form |
Purified polyclonal antibody supplied in PBS with 0.09% (W/V) sodium azide. This antibody is purified through a protein A column, followed by peptide affinity purification. |
||
Storage & Stability |
Store at +4°C short term. For long-term storage, aliquot and store at -20°C or below. Stable for 12 months at -20°C. Avoid repeated freeze-thaw cycles.
|
||
Applications |
WB, IHC-P, E
|
||
Dilution |
IHC-P~~1:25
WB~~1:1000
|
||
Synonyms |
Vesicle-associated membrane protein 8, VAMP-8, Endobrevin, EDB, VAMP8
|
||
Images |
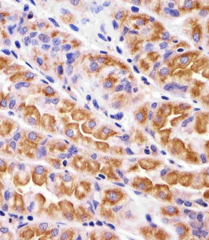
Immunohistochemical analysis of paraffin-embedded H. stomach section using VAMP8 Antibody (N-term)( AP20523A). AP20523A was diluted at 1:25 dilution. A undiluted biotinylated goat polyvalent antibody was used as the secondary, followed by DAB staining.
VAMP8 Antibody (N-term) (Cat. APR13936G) western blot analysis in Hela,293T cell line lysates (35ug/lane).This demonstrates the VAMP8 antibody detected the VAMP8 protein (arrow). |
||
Specification |
|||
Quantity |
|
||
| Select | Brand | Catalog No. | Product Name | Pack Size | Type | Field of Research | Specification | Quantity | Price(USD) | |
| 1 | Leading Biology | APR03440G | ITGA11 Antibody (N-term) | 100 μl | Polyclonal Antibodies |
|
$495.00 | Add Ask | ||
| 2 | Leading Biology | APR04537G | CMIP Antibody (C-term) | 100 μl | Polyclonal Antibodies |
|
$495.00 | Add Ask | ||
| 3 | Leading Biology | APR12422G | Human H4 Histamine Receptor (extracellular) Antibody | 50 μl | Polyclonal Antibodies |
|
$695.00 | Add Ask | ||
| 4 | Leading Biology | APR03844G | UBE2W Antibody (C-term) | 100 μl | Polyclonal Antibodies |
|
$495.00 | Add Ask | ||
| 5 | Leading Biology | APR04349G | HECTD2 Antibody (N-term) | 100 μl | Polyclonal Antibodies |
|
$495.00 | Add Ask | ||
| 6 | Leading Biology | APR03502G | IGHG1 Antibody (Center) | 100 μl | Polyclonal Antibodies |
|
$495.00 | Add Ask |
Leading Biology Inc.
2600 Hilltop DR, Building G, B Suite C138
Richmond, CA, 94806
Tel: 1-661-524(LBI)-0262
Email: info@leadingbiology.com
Complete this form and click send to ask us a question, request a quote or simply say hello.

You have 0 item in your cart

You have 0 item in your inquiry list