> Antigen, Antibodies, ELISA, Western Blot > Primary Antibody > Polyclonal Antibodies > SIRPB1 Antibody (N-term)Brand |
Leading Biology | Catalog Number |
AMM07817G |
Product Type |
Polyclonal Antibodies | Field of Research |
|
Product Overview |
We constantly strive to ensure we provide our customers with the best antibodies. As a result of this work we offer this antibody in purified format.
We are in the process of updating our datasheets. If you have any questions regarding this update, please feel free to contact our technical support team.
This product is a high quality SIRPB1 antibody (N-term).
|
||
Molecular Weight |
43359 Da
|
||
Cellular Localization |
Antigen Cellular Localization:
Membrane; Single-pass type I membrane protein
|
||
Host |
Rabbit
|
||
Species Reactivity |
Human
|
||
Immunogen |
17-43 aa
|
||
Target |
This SIRPB1 antibody is generated from rabbits immunized with a KLH conjugated synthetic peptide between 17-43 amino acids from the N-terminal region of human SIRPB1.
|
||
GeneID |
|||
UniProt ID |
|||
Function |
Immunoglobulin-like cell surface receptor involved in the negative regulation of receptor tyrosine kinase-coupled signaling processes.
|
||
Summary |
Immunoglobulin-like cell surface receptor involved in the negative regulation of receptor tyrosine kinase-coupled signaling processes (By similarity).
|
||
Form |
Purified polyclonal antibody supplied in PBS with 0.09% (W/V) sodium azide. This antibody is purified through a protein A column, followed by peptide affinity purification. |
||
Storage & Stability |
Store at +4°C short term. For long-term storage, aliquot and store at -20°C or below. Stable for 12 months at -20°C. Avoid repeated freeze-thaw cycles.
|
||
Applications |
WB, IHC-P
|
||
Dilution |
IHC-P~~1:25
WB~~1:1000
|
||
Synonyms |
Signal-regulatory protein beta-1 isoform 3, SIRP-beta-1 isoform 3, SIRPB1
|
||
Images |
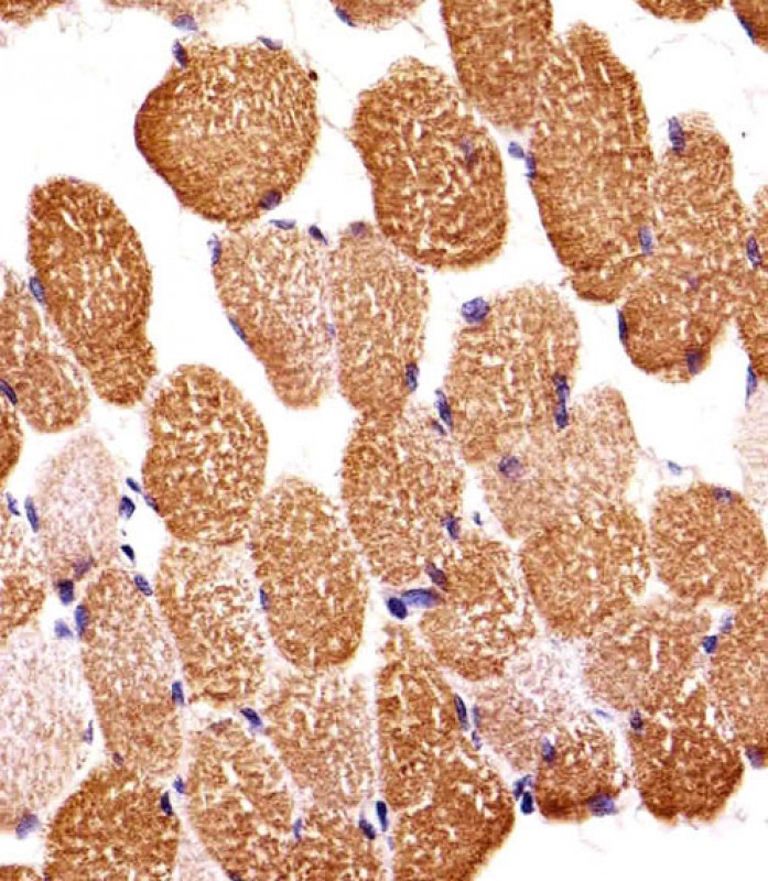
Immunohistochemical analysis of paraffin-embedded H. skeletal muscle section using SIRPB1 Antibody (N-term)( AMM07817G). AMM07817G was diluted at 1:25 dilution. A undiluted biotinylated goat polyvalent antibody was used as the secondary, followed by DAB staining.
SIRPB1 Antibody (N-term) (Cat. AMM07817G) western blot analysis in A375 cell line lysates (35ug/lane).This demonstrates the SIRPB1 antibody detected the SIRPB1 protein (arrow). |
||
Specification |
|||
Quantity |
|
||
| Select | Brand | Catalog No. | Product Name | Pack Size | Type | Field of Research | Specification | Quantity | Price(USD) | |
| 1 | Leading Biology | APR03440G | ITGA11 Antibody (N-term) | 100 μl | Polyclonal Antibodies |
|
$495.00 | Add Ask | ||
| 2 | Leading Biology | APR04537G | CMIP Antibody (C-term) | 100 μl | Polyclonal Antibodies |
|
$495.00 | Add Ask | ||
| 3 | Leading Biology | APR12422G | Human H4 Histamine Receptor (extracellular) Antibody | 50 μl | Polyclonal Antibodies |
|
$695.00 | Add Ask | ||
| 4 | Leading Biology | APR03844G | UBE2W Antibody (C-term) | 100 μl | Polyclonal Antibodies |
|
$495.00 | Add Ask | ||
| 5 | Leading Biology | APR04349G | HECTD2 Antibody (N-term) | 100 μl | Polyclonal Antibodies |
|
$495.00 | Add Ask | ||
| 6 | Leading Biology | APR03502G | IGHG1 Antibody (Center) | 100 μl | Polyclonal Antibodies |
|
$495.00 | Add Ask |
Leading Biology Inc.
2600 Hilltop DR, Building G, B Suite C138
Richmond, CA, 94806
Tel: 1-661-524(LBI)-0262
Email: info@leadingbiology.com
Complete this form and click send to ask us a question, request a quote or simply say hello.

You have 0 item in your cart

You have 0 item in your inquiry list