> Antigen, Antibodies, ELISA, Western Blot > Primary Antibody > Polyclonal Antibodies > PITPNA Antibody (C-term)Brand |
Leading Biology | Catalog Number |
APR12861G |
Product Type |
Polyclonal Antibodies | Field of Research |
|
Product Overview |
We constantly strive to ensure we provide our customers with the best antibodies. As a result of this work we offer this antibody in purified format.
We are in the process of updating our datasheets. If you have any questions regarding this update, please feel free to contact our technical support team.
This product is a high quality PITPNA antibody (C-term).
|
||
Molecular Weight |
31806 Da
|
||
Cellular Localization |
Antigen Cellular Localization:
Cytoplasm.
|
||
Host |
Rabbit
|
||
Species Reactivity |
Human, Mouse, Rat
|
||
Immunogen |
243-270 aa
|
||
Target |
This PITPNA antibody is generated from rabbits immunized with a KLH conjugated synthetic peptide between 243-270 amino acids from the C-terminal region of human PITPNA.
|
||
Symbol |
PITPN
|
||
GeneID |
|||
UniProt ID |
|||
Function |
Catalyzes the transfer of PtdIns and phosphatidylcholine between membranes.
|
||
Summary |
Catalyzes the transfer of PtdIns and phosphatidylcholine between membranes.
|
||
Form |
Purified polyclonal antibody supplied in PBS with 0.09% (W/V) sodium azide. This antibody is purified through a protein A column, followed by peptide affinity purification. |
||
Storage & Stability |
Store at +4°C short term. For long-term storage, aliquot and store at -20°C or below. Stable for 12 months at -20°C. Avoid repeated freeze-thaw cycles.
|
||
Applications |
WB, IHC-P
|
||
Dilution |
IHC-P~~1:25
WB~~1:1000
|
||
Synonyms |
Phosphatidylinositol transfer protein alpha isoform, PI-TP-alpha, PtdIns transfer protein alpha, PtdInsTP alpha, PITPNA, PITPN
|
||
Images |
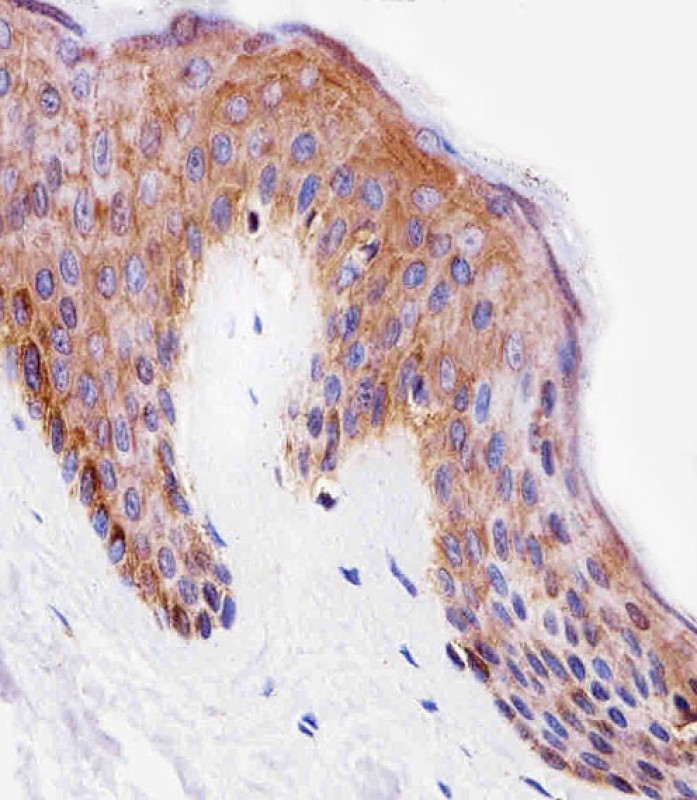
Immunohistochemical analysis of paraffin-embedded H. skin section using PITPNA Antibody (C-term)( APR12861G). APR12861G was diluted at 1:25 dilution. A undiluted biotinylated goat polyvalent antibody was used as the secondary, followed by DAB staining.
PITPNA Antibody (C-term) (Cat. APR12861G) western blot analysis in 293,U251,Hela,mouse NIH/3T3 and rat PC12 cell line and mouse brain cerebellum,rat cerebellum and brain lysates (35ug/lane).This demonstrates the PITPNA antibody detected the PITPNA protein (arrow). |
||
Specification |
|||
Quantity |
|
||
| Select | Brand | Catalog No. | Product Name | Pack Size | Type | Field of Research | Specification | Quantity | Price(USD) | |
| 1 | Leading Biology | APR03440G | ITGA11 Antibody (N-term) | 100 μl | Polyclonal Antibodies |
|
$495.00 | Add Ask | ||
| 2 | Leading Biology | APR04537G | CMIP Antibody (C-term) | 100 μl | Polyclonal Antibodies |
|
$495.00 | Add Ask | ||
| 3 | Leading Biology | APR12422G | Human H4 Histamine Receptor (extracellular) Antibody | 50 μl | Polyclonal Antibodies |
|
$695.00 | Add Ask | ||
| 4 | Leading Biology | APR03844G | UBE2W Antibody (C-term) | 100 μl | Polyclonal Antibodies |
|
$495.00 | Add Ask | ||
| 5 | Leading Biology | APR04349G | HECTD2 Antibody (N-term) | 100 μl | Polyclonal Antibodies |
|
$495.00 | Add Ask | ||
| 6 | Leading Biology | APR03502G | IGHG1 Antibody (Center) | 100 μl | Polyclonal Antibodies |
|
$495.00 | Add Ask |
Leading Biology Inc.
2600 Hilltop DR, Building G, B Suite C138
Richmond, CA, 94806
Tel: 1-661-524(LBI)-0262
Email: info@leadingbiology.com
Complete this form and click send to ask us a question, request a quote or simply say hello.

You have 0 item in your cart

You have 0 item in your inquiry list