> Antigen, Antibodies, ELISA, Western Blot > Primary Antibody > Polyclonal Antibodies > TSC2 Antibody (Center S1418/S1420)Brand |
Leading Biology | Catalog Number |
APR10577G |
Product Type |
Polyclonal Antibodies | Field of Research |
|
Product Overview |
We constantly strive to ensure we provide our customers with the best antibodies. As a result of this work we offer this antibody in purified format.
We are in the process of updating our datasheets. If you have any questions regarding this update, please feel free to contact our technical support team.
This product is a high quality TSC2 antibody (Center S1418/S1420).
|
||
Molecular Weight |
200608 Da
|
||
Cellular Localization |
Antigen Cellular Localization:
Cytoplasm. Membrane; Peripheral membrane protein. Note=At steady state found in association with membranes
|
||
Host |
Rabbit
|
||
Species Reactivity |
Human
|
||
Immunogen |
1397-1426 aa
|
||
Target |
This TSC2 antibody is generated from rabbits immunized with a KLH conjugated synthetic peptide between 1397-1426 amino acids from the Central region of human TSC2.
|
||
Isotype |
Rabbit Ig
|
||
Symbol |
TSC4
|
||
GeneID |
|||
UniProt ID |
|||
Function |
In complex with TSC1, inhibits the nutrient-mediated or growth factor-stimulated phosphorylation of S6K1 and EIF4EBP1 by negatively regulating mTORC1 signaling. Acts as a GTPase- activating protein (GAP) for the small GTPase RHEB, a direct activator of the protein kinase activity of mTORC1. Implicated as a tumor suppressor. Involved in microtubule-mediated protein transport, but this seems to be due to unregulated mTOR signaling. Stimulates weakly the intrinsic GTPase activity of the Ras-related proteins RAP1A and RAB5 in vitro. Mutations in TSC2 lead to constitutive activation of RAP1A in tumors.
|
||
Summary |
Mutations in this gene lead to tuberous sclerosis complex.Its gene product is believed to be a tumor suppressor and is ableto stimulate specific GTPases. The protein associates with hamartinin a cytosolic complex, possibly acting as a chaperone forhamartin. Alternative splicing results in multiple transcriptvariants encoding different isoforms.
|
||
Form |
Purified polyclonal antibody supplied in PBS with 0.09% (W/V) sodium azide. This antibody is purified through a protein A column, followed by peptide affinity purification. |
||
Storage & Stability |
Store at +4°C short term. For long-term storage, aliquot and store at -20°C or below. Stable for 12 months at -20°C. Avoid repeated freeze-thaw cycles.
|
||
Applications |
WB, IHC-P, E
|
||
Dilution |
IHC-P~~1:25
WB~~1:1000
|
||
Synonyms |
Tuberin, Tuberous sclerosis 2 protein, TSC2, TSC4
|
||
Images |
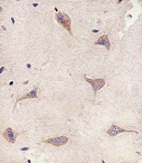
Immunohistochemical analysis of paraffin-embedded H. brain section using TSC2 Antibody (Center S1418/S1420)( APR10577G). APR10577G was diluted at 1:25 dilution. A undiluted biotinylated goat polyvalent antibody was used as the secondary, followed by DAB staining.
TSC2 Antibody (Center S1418/S1420) (Cat. APR10577G) western blot analysis in 293 cell line lysates (35ug/lane).This demonstrates the TSC2 antibody detected the TSC2 protein (arrow). |
||
Specification |
|||
Quantity |
|
||
| Select | Brand | Catalog No. | Product Name | Pack Size | Type | Field of Research | Specification | Quantity | Price(USD) | |
| 1 | Leading Biology | APR03440G | ITGA11 Antibody (N-term) | 100 μl | Polyclonal Antibodies |
|
$495.00 | Add Ask | ||
| 2 | Leading Biology | APR04537G | CMIP Antibody (C-term) | 100 μl | Polyclonal Antibodies |
|
$495.00 | Add Ask | ||
| 3 | Leading Biology | APR12422G | Human H4 Histamine Receptor (extracellular) Antibody | 50 μl | Polyclonal Antibodies |
|
$695.00 | Add Ask | ||
| 4 | Leading Biology | APR03844G | UBE2W Antibody (C-term) | 100 μl | Polyclonal Antibodies |
|
$495.00 | Add Ask | ||
| 5 | Leading Biology | APR04349G | HECTD2 Antibody (N-term) | 100 μl | Polyclonal Antibodies |
|
$495.00 | Add Ask | ||
| 6 | Leading Biology | APR03502G | IGHG1 Antibody (Center) | 100 μl | Polyclonal Antibodies |
|
$495.00 | Add Ask |
Leading Biology Inc.
2600 Hilltop DR, Building G, B Suite C138
Richmond, CA, 94806
Tel: 1-661-524(LBI)-0262
Email: info@leadingbiology.com
Complete this form and click send to ask us a question, request a quote or simply say hello.

You have 0 item in your cart

You have 0 item in your inquiry list