> Antigen, Antibodies, ELISA, Western Blot > Primary Antibody > Polyclonal Antibodies > ERLIN2 Antibody (C-term)Brand |
Leading Biology | Catalog Number |
APR11864G |
Product Type |
Polyclonal Antibodies | Field of Research |
|
Product Overview |
We constantly strive to ensure we provide our customers with the best antibodies. As a result of this work we offer this antibody in purified format.
We are in the process of updating our datasheets. If you have any questions regarding this update, please feel free to contact our technical support team.
This product is a high quality ERLIN2 antibody (C-term).
|
||
Molecular Weight |
37840 Da
|
||
Cellular Localization |
Antigen Cellular Localization:
Endoplasmic reticulum membrane; Single-pass type II membrane protein. Note=Associated with lipid raft-like domains of the endoplasmic reticulum membrane
|
||
Host |
Rabbit
|
||
Species Reactivity |
Human, Mouse, Rat
|
||
Immunogen |
307-333 aa
|
||
Target |
This ERLIN2 antibody is generated from rabbits immunized with a KLH conjugated synthetic peptide between 307-333 amino acids from the C-terminal region of human ERLIN2.
|
||
Isotype |
Rabbit Ig
|
||
Symbol |
C8orf2, SPFH2
|
||
GeneID |
|||
UniProt ID |
|||
Function |
Component of the ERLIN1/ERLIN2 complex which mediates the endoplasmic reticulum-associated degradation (ERAD) of inositol 1,4,5-trisphosphate receptors (IP3Rs). Also involved in ITPR1 degradation by the ERAD pathway.
|
||
Summary |
Component of the ERLIN1/ERLIN2 complex which mediates the endoplasmic reticulum-associated degradation (ERAD) of inositol 1,4,5-trisphosphate receptors (IP3Rs). Also involved in ITPR1 degradation by the ERAD pathway.
|
||
Form |
Purified polyclonal antibody supplied in PBS with 0.09% (W/V) sodium azide. This antibody is purified through a protein A column, followed by peptide affinity purification. |
||
Storage & Stability |
Store at +4°C short term. For long-term storage, aliquot and store at -20°C or below. Stable for 12 months at -20°C. Avoid repeated freeze-thaw cycles.
|
||
Applications |
WB, E
|
||
Dilution |
WB~~1:1000
|
||
Synonyms |
Erlin-2, Endoplasmic reticulum lipid raft-associated protein 2, Stomatin-prohibitin-flotillin-HflC/K domain-containing protein 2, SPFH domain-containing protein 2, ERLIN2, C8orf2, SPFH2
|
||
Images |
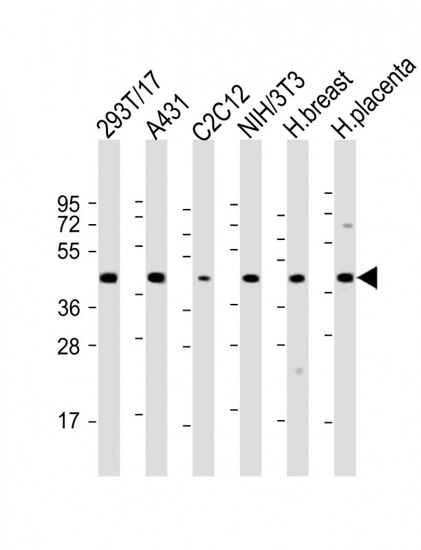
All lanes : Anti-ERLIN2 Antibody (C-term) at 1:2000 dilution Lane 1: 293T/17 whole cell lysate Lane 2: A431 whole cell lysate Lane 3: C2C12 whole cell lysate Lane 4: NIH/3T3 whole cell lysate Lane 5: human breast lysate Lane 6: human placenta lysate Lysates/proteins at 20 μg per lane. Secondary Goat Anti-Rabbit IgG, (H+L), Peroxidase conjugated at 1/10000 dilution. Predicted band size : 38 kDa Blocking/Dilution buffer: 5% NFDM/TBST.
All lanes : Anti-ERLIN2 Antibody (C-term) at 1:2000 dilution Lane 1: 293T/17 whole cell lysate Lane 2: A431 whole cell lysate Lane 3: C2C12 whole cell lysate Lane 4: NIH/3T3 whole cell lysate Lane 5: human breast lysate Lane 6: human placenta lysate Lysates/proteins at 20 μg per lane. Secondary Goat Anti-Rabbit IgG, (H+L), Peroxidase conjugated at 1/10000 dilution. Predicted band size : 38 kDa Blocking/Dilution buffer: 5% NFDM/TBST.
All lanes : Anti-ERLIN2 Antibody (C-term) at 1:2000 dilution Lane 1: 293T/17 whole cell lysate Lane 2: A431 whole cell lysate Lane 3: C2C12 whole cell lysate Lane 4: NIH/3T3 whole cell lysate Lane 5: human breast lysate Lane 6: human placenta lysate Lysates/proteins at 20 μg per lane. Secondary Goat Anti-Rabbit IgG, (H+L), Peroxidase conjugated at 1/10000 dilution. Predicted band size : 38 kDa Blocking/Dilution buffer: 5% NFDM/TBST. |
||
Specification |
|||
Quantity |
|
||
| Select | Brand | Catalog No. | Product Name | Pack Size | Type | Field of Research | Specification | Quantity | Price(USD) | |
| 1 | Leading Biology | APR03440G | ITGA11 Antibody (N-term) | 100 μl | Polyclonal Antibodies |
|
$495.00 | Add Ask | ||
| 2 | Leading Biology | APR04537G | CMIP Antibody (C-term) | 100 μl | Polyclonal Antibodies |
|
$495.00 | Add Ask | ||
| 3 | Leading Biology | APR12422G | Human H4 Histamine Receptor (extracellular) Antibody | 50 μl | Polyclonal Antibodies |
|
$695.00 | Add Ask | ||
| 4 | Leading Biology | APR03844G | UBE2W Antibody (C-term) | 100 μl | Polyclonal Antibodies |
|
$495.00 | Add Ask | ||
| 5 | Leading Biology | APR04349G | HECTD2 Antibody (N-term) | 100 μl | Polyclonal Antibodies |
|
$495.00 | Add Ask | ||
| 6 | Leading Biology | APR03502G | IGHG1 Antibody (Center) | 100 μl | Polyclonal Antibodies |
|
$495.00 | Add Ask |
Leading Biology Inc.
2600 Hilltop DR, Building G, B Suite C138
Richmond, CA, 94806
Tel: 1-661-524(LBI)-0262
Email: info@leadingbiology.com
Complete this form and click send to ask us a question, request a quote or simply say hello.

You have 0 item in your cart

You have 0 item in your inquiry list