> Antigen, Antibodies, ELISA, Western Blot > Primary Antibody > Polyclonal Antibodies > RBPJ Antibody (N-term)Brand |
Leading Biology | Catalog Number |
APR13078G |
Product Type |
Polyclonal Antibodies | Field of Research |
|
Product Overview |
We constantly strive to ensure we provide our customers with the best antibodies. As a result of this work we offer this antibody in purified format.
We are in the process of updating our datasheets. If you have any questions regarding this update, please feel free to contact our technical support team.
This product is a high quality RBPJ antibody (N-term).
|
||
Molecular Weight |
55637 Da
|
||
Cellular Localization |
Antigen Cellular Localization:
Nucleus. Cytoplasm. Note=Mainly nuclear, upon interaction with RITA/C12orf52, translocates to the cytoplasm, down-regulating the Notch signaling pathway
|
||
Host |
Rabbit
|
||
Species Reactivity |
Human
|
||
Immunogen |
1-29 aa
|
||
Target |
This RBPJ antibody is generated from rabbits immunized with a KLH conjugated synthetic peptide between 1-29 amino acids from the N-terminal region of human RBPJ.
|
||
Isotype |
Rabbit Ig
|
||
Symbol |
IGKJRB, IGKJRB1, RBPJK, RBPSUH
|
||
GeneID |
|||
UniProt ID |
|||
Function |
Transcriptional regulator that plays a central role in Notch signaling, a signaling pathway involved in cell-cell communication that regulates a broad spectrum of cell-fate determinations. Acts as a transcriptional repressor when it is not associated with Notch proteins. When associated with some NICD product of Notch proteins (Notch intracellular domain), it acts as a transcriptional activator that activates transcription of Notch target genes. Probably represses or activates transcription via the recruitment of chromatin remodeling complexes containing histone deacetylase or histone acetylase proteins, respectively. Specifically binds to the immunoglobulin kappa-type J segment recombination signal sequence. Binds specifically to methylated DNA.
|
||
Summary |
Transcriptional regulator that plays a central role in Notch signaling, a signaling pathway involved in cell-cell communication that regulates a broad spectrum of cell-fate. determinations. Acts as a transcriptional repressor when it is not associated with Notch proteins. When associated with some Notch protein, it acts as a transcriptional activator that activates transcription of Notch target genes. Probably represses or activates transcription via the recruitment of chromatin remodeling complexes containing histone deacetylase or histone acetylase proteins, respectively. Specifically binds to the immunoglobulin kappa-type J segment recombination signal sequence.
|
||
Form |
Purified polyclonal antibody supplied in PBS with 0.09% (W/V) sodium azide. This antibody is purified through a protein A column, followed by peptide affinity purification. |
||
Storage & Stability |
Store at +4°C short term. For long-term storage, aliquot and store at -20°C or below. Stable for 12 months at -20°C. Avoid repeated freeze-thaw cycles.
|
||
Applications |
WB, IHC-P, IF, E
|
||
Dilution |
WB~~1:1000
IHC-P~~1:10~50
IF~~1:10~50
|
||
Synonyms |
Recombining binding protein suppressor of hairless, CBF-1, J kappa-recombination signal-binding protein, RBP-J kappa, RBP-J, RBP-JK, Renal carcinoma antigen NY-REN-30, RBPJ, IGKJRB, IGKJRB1, RBPJK, RBPSUH
|
||
Images |
Anti-RBPJ Antibody (N-term)at 1:2000 dilution + human pancreas lysates Lysates/proteins at 20 μg per lane. Secondary Goat Anti-Rabbit IgG, (H+L), Peroxidase conjugated at 1/10000 dilution Predicted band size : 56 kDa Blocking/Dilution buffer: 5% NFDM/TBST.
RBPJ Antibody (N-term) (Cat. APR13078G) western blot analysis in Ramos cell line lysates (35ug/lane).This demonstrates the RBPJ antibody detected the RBPJ protein (arrow).
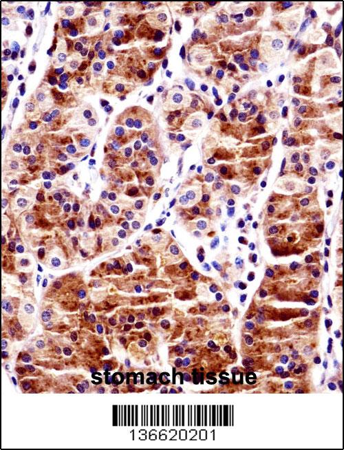
RBPJ Antibody (N-term) (APR13078G)immunohistochemistry analysis in formalin fixed and paraffin embedded human stomach tissue followed by peroxidase conjugation of the secondary antibody and DAB staining.This data demonstrates the use of RBPJ Antibody (N-term) for immunohistochemistry. Clinical relevance has not been evaluated. |
||
Specification |
|||
Quantity |
|
||
| Select | Brand | Catalog No. | Product Name | Pack Size | Type | Field of Research | Specification | Quantity | Price(USD) | |
| 1 | Leading Biology | APR03440G | ITGA11 Antibody (N-term) | 100 μl | Polyclonal Antibodies |
|
$495.00 | Add Ask | ||
| 2 | Leading Biology | APR04537G | CMIP Antibody (C-term) | 100 μl | Polyclonal Antibodies |
|
$495.00 | Add Ask | ||
| 3 | Leading Biology | APR12422G | Human H4 Histamine Receptor (extracellular) Antibody | 50 μl | Polyclonal Antibodies |
|
$695.00 | Add Ask | ||
| 4 | Leading Biology | APR03844G | UBE2W Antibody (C-term) | 100 μl | Polyclonal Antibodies |
|
$495.00 | Add Ask | ||
| 5 | Leading Biology | APR04349G | HECTD2 Antibody (N-term) | 100 μl | Polyclonal Antibodies |
|
$495.00 | Add Ask | ||
| 6 | Leading Biology | APR03502G | IGHG1 Antibody (Center) | 100 μl | Polyclonal Antibodies |
|
$495.00 | Add Ask |
Leading Biology Inc.
2600 Hilltop DR, Building G, B Suite C138
Richmond, CA, 94806
Tel: 1-661-524(LBI)-0262
Email: info@leadingbiology.com
Complete this form and click send to ask us a question, request a quote or simply say hello.

You have 0 item in your cart

You have 0 item in your inquiry list