> Antigen, Antibodies, ELISA, Western Blot > Primary Antibody > Polyclonal Antibodies > Hippocalcin Antibody (N-term)Brand |
Leading Biology | Catalog Number |
APG03031G |
Product Type |
Polyclonal Antibodies | Field of Research |
|
Product Overview |
We constantly strive to ensure we provide our customers with the best antibodies. As a result of this work we offer this antibody in purified format.
We are in the process of updating our datasheets. If you have any questions regarding this update, please feel free to contact our technical support team.
This product is a high quality Hippocalcin antibody (N-term).
|
||
Molecular Weight |
22427 Da
|
||
Host |
Rabbit
|
||
Species Reactivity |
Human, Mouse
|
||
Immunogen |
2-32 aa
|
||
Target |
This Hippocalcin antibody is generated from rabbits immunized with a KLH conjugated synthetic peptide between 2-32 amino acids from the N-terminal region of human Hippocalcin.
|
||
Isotype |
Rabbit Ig
|
||
Symbol |
BDR2
|
||
GeneID |
|||
UniProt ID |
|||
Function |
May be involved in the calcium-dependent regulation of rhodopsin phosphorylation. Binds two calcium ions.
|
||
Summary |
Hippocalcin is a member of neuron-specific calcium-binding proteins family found in the retina and brain. This protein is associated with the plasma membrane. It has similarities to proteins located in the photoreceptor cells that regulate photosignal transduction in a calcium-sensitive manner. This protein displays recoverin activity and a calcium-dependent inhibition of rhodopsin kinase. It is identical to the rat and mouse hippocalcin proteins and thought to play an important role in neurons of the central nervous system in a number of species.
|
||
Form |
Purified monoclonal antibody supplied in PBS with 0.09% (W/V) sodium azide. This antibody is purified through a protein G column, followed by dialysis against PBS. |
||
Storage & Stability |
Store at +4°C short term. For long-term storage, aliquot and store at -20°C or below. Stable for 12 months at -20°C. Avoid repeated freeze-thaw cycles.
|
||
Applications |
WB, IHC-P, E
|
||
Dilution |
WB~~1:1000
IHC-P~~1:50~100
|
||
Synonyms |
Neuron-specific calcium-binding protein hippocalcin, Calcium-binding protein BDR-2, HPCA, BDR2
|
||
Images |
Western blot analysis of lysate from human brain tissue lysate, using Hippocalcin Antibody (R17)( AP1564A). AP1564A was diluted at 1:1000. A goat anti-rabbit IgG H&L(HRP) at 1:5000 dilution was used as the secondary antibody. Lysate at 35ug.
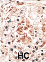
Formalin-fixed and paraffin-embedded human cancer tissue reacted with the primary antibody, which was peroxidase-conjugated to the secondary antibody, followed by DAB staining. This data demonstrates the use of this antibody for immunohistochemistry; clinical relevance has not been evaluated. BC = breast carcinoma; HC = hepatocarcinoma.
Formalin-fixed and paraffin-embedded human brain tissue reacted with Hippocalcin antibody (N-term), which was peroxidase-conjugated to the secondary antibody, followed by DAB staining. This data demonstrates the use of this antibody for immunohistochemistry; clinical relevance has not been evaluated. |
||
Specification |
|||
Quantity |
|
||
| Select | Brand | Catalog No. | Product Name | Pack Size | Type | Field of Research | Specification | Quantity | Price(USD) | |
| 1 | Leading Biology | APR03440G | ITGA11 Antibody (N-term) | 100 μl | Polyclonal Antibodies |
|
$495.00 | Add Ask | ||
| 2 | Leading Biology | APR04537G | CMIP Antibody (C-term) | 100 μl | Polyclonal Antibodies |
|
$495.00 | Add Ask | ||
| 3 | Leading Biology | APR12422G | Human H4 Histamine Receptor (extracellular) Antibody | 50 μl | Polyclonal Antibodies |
|
$695.00 | Add Ask | ||
| 4 | Leading Biology | APR03844G | UBE2W Antibody (C-term) | 100 μl | Polyclonal Antibodies |
|
$495.00 | Add Ask | ||
| 5 | Leading Biology | APR04349G | HECTD2 Antibody (N-term) | 100 μl | Polyclonal Antibodies |
|
$495.00 | Add Ask | ||
| 6 | Leading Biology | APR03502G | IGHG1 Antibody (Center) | 100 μl | Polyclonal Antibodies |
|
$495.00 | Add Ask |
Leading Biology Inc.
2600 Hilltop DR, Building G, B Suite C138
Richmond, CA, 94806
Tel: 1-661-524(LBI)-0262
Email: info@leadingbiology.com
Complete this form and click send to ask us a question, request a quote or simply say hello.

You have 0 item in your cart

You have 0 item in your inquiry list