> Antigen, Antibodies, ELISA, Western Blot > Primary Antibody > Polyclonal Antibodies > COPS2 Antibody (N-term)Brand |
Leading Biology | Catalog Number |
APR11643G |
Product Type |
Polyclonal Antibodies | Field of Research |
|
Product Overview |
We constantly strive to ensure we provide our customers with the best antibodies. As a result of this work we offer this antibody in purified format.
We are in the process of updating our datasheets. If you have any questions regarding this update, please feel free to contact our technical support team.
This product is a high quality COPS2 antibody (N-term).
|
||
Molecular Weight |
51597 Da
|
||
Cellular Localization |
Antigen Cellular Localization:
Cytoplasm. Nucleus.
|
||
Host |
Rabbit
|
||
Species Reactivity |
Human
|
||
Immunogen |
1-30 aa
|
||
Target |
This COPS2 antibody is generated from rabbits immunized with a KLH conjugated synthetic peptide between 1-30 amino acids from the N-terminal region of human COPS2.
|
||
Isotype |
Rabbit Ig
|
||
Symbol |
CSN2, TRIP15
|
||
GeneID |
|||
UniProt ID |
|||
Function |
Essential component of the COP9 signalosome complex (CSN), a complex involved in various cellular and developmental processes. The CSN complex is an essential regulator of the ubiquitin (Ubl) conjugation pathway by mediating the deneddylation of the cullin subunits of SCF-type E3 ligase complexes, leading to decrease the Ubl ligase activity of SCF-type complexes such as SCF, CSA or DDB2. The complex is also involved in phosphorylation of p53/TP53, c-jun/JUN, IkappaBalpha/NFKBIA, ITPK1 and IRF8/ICSBP, possibly via its association with CK2 and PKD kinases. CSN- dependent phosphorylation of TP53 and JUN promotes and protects degradation by the Ubl system, respectively. Involved in early stage of neuronal differentiation via its interaction with NIF3L1.
|
||
Summary |
Essential component of the COP9 signalosome complex (CSN), a complex involved in various cellular and developmental processes. The CSN complex is an essential regulator of the ubiquitin (Ubl) conjugation pathway by mediating the deneddylation of the cullin subunits of SCF-type E3 ligase complexes, leading to decrease the Ubl ligase activity of SCF-type complexes such as SCF, CSA or DDB2. The complex is also involved in phosphorylation of p53/TP53, c-jun/JUN, IkappaBalpha/NFKBIA, ITPK1 and IRF8/ICSBP, possibly via its association with CK2 and PKD kinases. CSN-dependent phosphorylation of TP53 and JUN promotes and protects degradation by the Ubl system, respectively. Involved in early stage of neuronal differentiation via its interaction with NIF3L1.
|
||
Form |
Purified polyclonal antibody supplied in PBS with 0.09% (W/V) sodium azide. This antibody is purified through a protein A column, followed by peptide affinity purification. |
||
Storage & Stability |
Store at +4°C short term. For long-term storage, aliquot and store at -20°C or below. Stable for 12 months at -20°C. Avoid repeated freeze-thaw cycles.
|
||
Applications |
WB, IHC-P, IF, E
|
||
Dilution |
IF~~1:25
IHC-P~~1:10~50
WB~~1:1000
|
||
Synonyms |
COP9 signalosome complex subunit 2, SGN2, Signalosome subunit 2, Alien homolog, JAB1-containing signalosome subunit 2, Thyroid receptor-interacting protein 15, TR-interacting protein 15, TRIP-15, COPS2, CSN2, TRIP15
|
||
Images |
Fluorescent image of Hela cells stained with COPS2 Antibody (N-term)( APR11643G). APR11643G was diluted at 1:25 dilution. An Alexa Fluor 488-conjugated goat anti-rabbit lgG at 1:400 dilution was used as the secondary antibody (green). Cytoplasmic actin was counterstained with Alexa Fluor? 555 conjugated with Phalloidin (red).
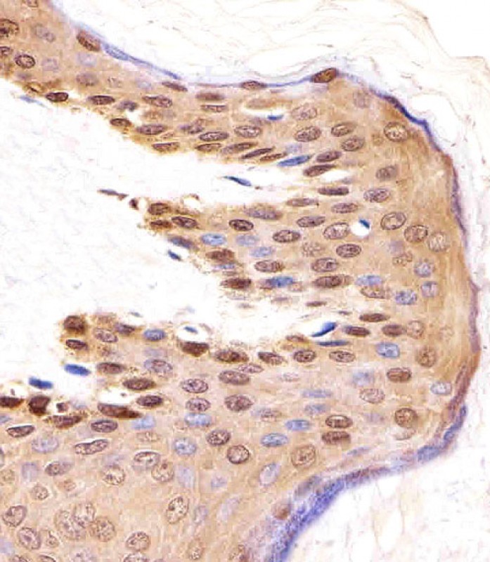
Immunohistochemical analysis of paraffin-embedded H. skin section using COPS2 Antibody (N-term)( APR11643G). APR11643G was diluted at 1:25 dilution. A undiluted biotinylated goat polyvalent antibody was used as the secondary, followed by DAB staining.
Western blot analysis of lysates from Hela, K562, U-251 MG cell line, mouse brain tissue, mouse F9 cell line, rat brain tissue (from left to right), using COPS2 Antibody (N-term)( APR11643G). APR11643G was diluted at 1:1000 at each lane. A goat anti-rabbit IgG H&L(HRP) at 1:10000 dilution was used as the secondary antibody. Lysates at 20ug per lane. |
||
Specification |
|||
Quantity |
|
||
| Select | Brand | Catalog No. | Product Name | Pack Size | Type | Field of Research | Specification | Quantity | Price(USD) | |
| 1 | Leading Biology | APR03440G | ITGA11 Antibody (N-term) | 100 μl | Polyclonal Antibodies |
|
$495.00 | Add Ask | ||
| 2 | Leading Biology | APR04537G | CMIP Antibody (C-term) | 100 μl | Polyclonal Antibodies |
|
$495.00 | Add Ask | ||
| 3 | Leading Biology | APR12422G | Human H4 Histamine Receptor (extracellular) Antibody | 50 μl | Polyclonal Antibodies |
|
$695.00 | Add Ask | ||
| 4 | Leading Biology | APR03844G | UBE2W Antibody (C-term) | 100 μl | Polyclonal Antibodies |
|
$495.00 | Add Ask | ||
| 5 | Leading Biology | APR04349G | HECTD2 Antibody (N-term) | 100 μl | Polyclonal Antibodies |
|
$495.00 | Add Ask | ||
| 6 | Leading Biology | APR03502G | IGHG1 Antibody (Center) | 100 μl | Polyclonal Antibodies |
|
$495.00 | Add Ask |
Leading Biology Inc.
2600 Hilltop DR, Building G, B Suite C138
Richmond, CA, 94806
Tel: 1-661-524(LBI)-0262
Email: info@leadingbiology.com
Complete this form and click send to ask us a question, request a quote or simply say hello.

You have 0 item in your cart

You have 0 item in your inquiry list