> Antigen, Antibodies, ELISA, Western Blot > Primary Antibody > Polyclonal Antibodies > SOCS1 Antibody (N-term)Brand |
Leading Biology | Catalog Number |
AMM07926G |
Product Type |
Polyclonal Antibodies | Field of Research |
|
Product Overview |
We constantly strive to ensure we provide our customers with the best antibodies. As a result of this work we offer this antibody in purified format.
We are in the process of updating our datasheets. If you have any questions regarding this update, please feel free to contact our technical support team.
This product is a high quality SOCS1 antibody (N-term).
|
||
Molecular Weight |
23551 Da
|
||
Cellular Localization |
Antigen Cellular Localization:
Nucleus. Cytoplasmic vesicle. Note=Detected in perinuclear cytoplasmic vesicles upon interaction with FGFR3
|
||
Host |
Rabbit
|
||
Species Reactivity |
Mouse, Rat
|
||
Immunogen |
35-66 aa
|
||
Target |
This SOCS1 antibody is generated from rabbits immunized with a KLH conjugated synthetic peptide between 35-66 amino acids from the N-terminal region of human SOCS1.
|
||
Isotype |
Rabbit Ig
|
||
Symbol |
SSI1, TIP3
|
||
GeneID |
|||
UniProt ID |
|||
Function |
SOCS family proteins form part of a classical negative feedback system that regulates cytokine signal transduction. SOCS1 is involved in negative regulation of cytokines that signal through the JAK/STAT3 pathway. Through binding to JAKs, inhibits their kinase activity. In vitro, also suppresses Tec protein- tyrosine activity. Appears to be a major regulator of signaling by interleukin 6 (IL6) and leukemia inhibitory factor (LIF). Regulates interferon-gamma mediated sensory neuron survival (By similarity). Probable substrate recognition component of an ECS (Elongin BC-CUL2/5-SOCS-box protein) E3 ubiquitin ligase complex which mediates the ubiquitination and subsequent proteasomal degradation of target proteins. Seems to recognize JAK2. SOCS1 appears to be a negative regulator in IGF1R signaling pathway.
|
||
Summary |
SOCS1 is a member of the STAT-induced STAT inhibitor (SSI), also known as suppressor of cytokine signaling(SOCS), family. SSI family members are cytokine-inducible negative regulators of cytokine signaling.
|
||
Form |
Purified polyclonal antibody supplied in PBS with 0.09% (W/V) sodium azide. This antibody is prepared by Saturated Ammonium Sulfate (SAS) precipitation followed by dialysis against PBS. |
||
Storage & Stability |
Store at +4°C short term. For long-term storage, aliquot and store at -20°C or below. Stable for 12 months at -20°C. Avoid repeated freeze-thaw cycles.
|
||
Applications |
WB, IHC-P, IF, FC, E
|
||
Dilution |
WB~~1:1000
IHC-P~~1:10~50
IF~~1:10~50
FC~~1:10~50
|
||
Synonyms |
Suppressor of cytokine signaling 1, SOCS-1, JAK-binding protein, JAB, STAT-induced STAT inhibitor 1, SSI-1, Tec-interacting protein 3, TIP-3, SOCS1, SSI1, TIP3
|
||
Images |
All lanes : Anti-SOCS1 Antibody (N-term) at 1:2000 dilution Lane 1: mouse thymus lysates Lane 2: rat spleen lysates Lysates/proteins at 20 μg per lane. Secondary Goat Anti-Rabbit IgG, (H+L), Peroxidase conjugated at 1/10000 dilution Predicted band size : 24 kDa Blocking/Dilution buffer: 5% NFDM/TBST.
Western blot analysis of SOCS1 Antibody (N-term) (Cat. AMM07926G) in mouse kidney tissue lysates (35ug/lane). SOCS1 (arrow) was detected using the purified Pab.
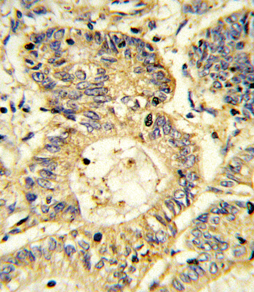
Formalin-fixed and paraffin-embedded human colon carcinoma reacted with SOCS1 Antibody (N-term), which was peroxidase-conjugated to the secondary antibody, followed by DAB staining. This data demonstrates the use of this antibody for immunohistochemistry; clinical relevance has not been evaluated. |
||
Specification |
|||
Quantity |
|
||
| Select | Brand | Catalog No. | Product Name | Pack Size | Type | Field of Research | Specification | Quantity | Price(USD) | |
| 1 | Leading Biology | APR03440G | ITGA11 Antibody (N-term) | 100 μl | Polyclonal Antibodies |
|
$495.00 | Add Ask | ||
| 2 | Leading Biology | APR04537G | CMIP Antibody (C-term) | 100 μl | Polyclonal Antibodies |
|
$495.00 | Add Ask | ||
| 3 | Leading Biology | APR12422G | Human H4 Histamine Receptor (extracellular) Antibody | 50 μl | Polyclonal Antibodies |
|
$695.00 | Add Ask | ||
| 4 | Leading Biology | APR03844G | UBE2W Antibody (C-term) | 100 μl | Polyclonal Antibodies |
|
$495.00 | Add Ask | ||
| 5 | Leading Biology | APR04349G | HECTD2 Antibody (N-term) | 100 μl | Polyclonal Antibodies |
|
$495.00 | Add Ask | ||
| 6 | Leading Biology | APR03502G | IGHG1 Antibody (Center) | 100 μl | Polyclonal Antibodies |
|
$495.00 | Add Ask |
Leading Biology Inc.
2600 Hilltop DR, Building G, B Suite C138
Richmond, CA, 94806
Tel: 1-661-524(LBI)-0262
Email: info@leadingbiology.com
Complete this form and click send to ask us a question, request a quote or simply say hello.

You have 0 item in your cart

You have 0 item in your inquiry list