> Antigen, Antibodies, ELISA, Western Blot > Primary Antibody > Polyclonal Antibodies > DUSP13-L184 Antibody (C-term)Brand |
Leading Biology | Catalog Number |
APR14320G |
Product Type |
Polyclonal Antibodies | Field of Research |
|
Product Overview |
We constantly strive to ensure we provide our customers with the best antibodies. As a result of this work we offer this antibody in purified format.
We are in the process of updating our datasheets. If you have any questions regarding this update, please feel free to contact our technical support team.
This product is a high quality DUSP13-L184 antibody (C-term).
|
||
Molecular Weight |
22149 Da
|
||
Host |
Rabbit
|
||
Species Reactivity |
Human
|
||
Immunogen |
169-198 aa
|
||
Target |
This DUSP13-L184 antibody is generated from rabbits immunized with a KLH conjugated synthetic peptide between 169-198 amino acids from the C-terminal region of human DUSP13-L184.
|
||
Isotype |
Rabbit Ig
|
||
Symbol |
DUSP13B, TMDP
|
||
GeneID |
|||
UniProt ID |
|||
Function |
Dual specificity phosphatase that dephosphorylates MAPK8/JNK and MAPK14/p38, but not MAPK1/ERK2, in vitro. Exhibits intrinsic phosphatase activity towards both phospho-seryl/threonyl and -tyrosyl residues, with similar specific activities in vitro.
|
||
Summary |
Dual-specificity phosphatases, a subfamily of protein-tyrosine phosphatases, play important roles in signal transduction, cell cycle progression, and tumor suppression. The cDNA encoding a novel phosphatase, PIR1, phosphatase that interacts with RNA/RNP complex 1. Sequence analysis revealed that the predicted 329-amino acid protein has homology to several dual-specificity phosphatases and contains 2 stretches of arginine-rich sequence similar to those found in some RNA-binding proteins. In vitro, recombinant protein displays protein-tyrosine phosphatase activity and binds directly to RNA.
|
||
Form |
Purified polyclonal antibody supplied in PBS with 0.09% (W/V) sodium azide. This antibody is prepared by Saturated Ammonium Sulfate (SAS) precipitation followed by dialysis against PBS. |
||
Storage & Stability |
Store at +4°C short term. For long-term storage, aliquot and store at -20°C or below. Stable for 12 months at -20°C. Avoid repeated freeze-thaw cycles.
|
||
Applications |
WB, IHC-P, E
|
||
Dilution |
WB~~1:1000
IHC-P~~1:50~100
|
||
Synonyms |
Dual specificity protein phosphatase 13 isoform B, DUSP13B, Dual specificity phosphatase SKRP4, Testis- and skeletal-muscle-specific DSP, DUSP13, DUSP13B, TMDP
|
||
Images |
The anti-DUSP13 Pab (Cat. APR14320G) is used in Western blot to detect DUSP13 in human CEM lysate.
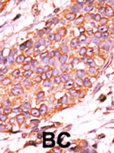
Formalin-fixed and paraffin-embedded human cancer tissue reacted with the primary antibody, which was peroxidase-conjugated to the secondary antibody, followed by AEC staining. This data demonstrates the use of this antibody for immunohistochemistry; clinical relevance has not been evaluated. BC = breast carcinoma; HC = hepatocarcinoma. |
||
Specification |
|||
Quantity |
|
||
| Select | Brand | Catalog No. | Product Name | Pack Size | Type | Field of Research | Specification | Quantity | Price(USD) | |
| 1 | Leading Biology | APR03440G | ITGA11 Antibody (N-term) | 100 μl | Polyclonal Antibodies |
|
$495.00 | Add Ask | ||
| 2 | Leading Biology | APR04537G | CMIP Antibody (C-term) | 100 μl | Polyclonal Antibodies |
|
$495.00 | Add Ask | ||
| 3 | Leading Biology | APR12422G | Human H4 Histamine Receptor (extracellular) Antibody | 50 μl | Polyclonal Antibodies |
|
$695.00 | Add Ask | ||
| 4 | Leading Biology | APR03844G | UBE2W Antibody (C-term) | 100 μl | Polyclonal Antibodies |
|
$495.00 | Add Ask | ||
| 5 | Leading Biology | APR04349G | HECTD2 Antibody (N-term) | 100 μl | Polyclonal Antibodies |
|
$495.00 | Add Ask | ||
| 6 | Leading Biology | APR03502G | IGHG1 Antibody (Center) | 100 μl | Polyclonal Antibodies |
|
$495.00 | Add Ask |
Leading Biology Inc.
2600 Hilltop DR, Building G, B Suite C138
Richmond, CA, 94806
Tel: 1-661-524(LBI)-0262
Email: info@leadingbiology.com
Complete this form and click send to ask us a question, request a quote or simply say hello.

You have 0 item in your cart

You have 0 item in your inquiry list