> Antigen, Antibodies, ELISA, Western Blot > Primary Antibody > Polyclonal Antibodies > Fructose 6 Phosphate Kinase Antibody (N-term)Brand |
Leading Biology | Catalog Number |
AMM04616G |
Product Type |
Polyclonal Antibodies | Field of Research |
|
Product Overview |
We constantly strive to ensure we provide our customers with the best antibodies. As a result of this work we offer this antibody in purified format.
We are in the process of updating our datasheets. If you have any questions regarding this update, please feel free to contact our technical support team.
This product is a high quality Fructose 6 Phosphate Kinase antibody (N-term).
|
||
Molecular Weight |
85183 Da
|
||
Cellular Localization |
Antigen Cellular Localization:
Cytoplasm {ECO:0000255|HAMAP-Rule:MF_03184}.
|
||
Host |
Rabbit
|
||
Species Reactivity |
Human
|
||
Immunogen |
122-151 aa
|
||
Target |
This Fructose 6 Phosphate Kinase antibody is generated from rabbits immunized with a KLH conjugated synthetic peptide between 122-151 amino acids from the N-terminal region of human Fructose 6 Phosphate Kinase.
|
||
Isotype |
Rabbit Ig
|
||
Symbol |
PFKX
|
||
GeneID |
|||
UniProt ID |
|||
Function |
Catalyzes the phosphorylation of D-fructose 6-phosphate to fructose 1,6-bisphosphate by ATP, the first committing step of glycolysis.
|
||
Summary |
Phosphofructokinase catalyzes the irreversible conversion of fructose 6 phosphate to fructose 1,6 bisphosphate. Mammalian PFK is a complex isozyme consisting of 3 subunits: muscle (M), liver (L), and platelet (P). Only M type PFK isozyme is expressed in mature muscle, while erythrocytes contain both L and M subunits. Defects in PFKM are the cause of glycogen storage disease type 7 (GSD7), also known as Tarui disease.
|
||
Form |
Purified polyclonal antibody supplied in PBS with 0.09% (W/V) sodium azide. This antibody is prepared by Saturated Ammonium Sulfate (SAS) precipitation followed by dialysis against PBS. |
||
Storage & Stability |
Store at +4°C short term. For long-term storage, aliquot and store at -20°C or below. Stable for 12 months at -20°C. Avoid repeated freeze-thaw cycles.
|
||
Applications |
WB, IHC-P, E
|
||
Dilution |
WB~~1:1000
IHC-P~~1:50~100
|
||
Synonyms |
ATP-dependent 6-phosphofructokinase, muscle type {ECO:0000255|HAMAP-Rule:MF_03184}, ATP-PFK {ECO:0000255|HAMAP-Rule:MF_03184}, PFK-M, 27111 {ECO:0000255|HAMAP-Rule:MF_03184}, 6-phosphofructokinase type A, Phosphofructo-1-kinase isozyme A, PFK-A, Phosphohexokinase {ECO:0000255|HAMAP-Rule:MF_03184}, PFKM, PFKX
|
||
Images |
Western blot analysis of lysate from human skeletal muscle tissue lysate, using PFKM Antibody (S137)(Cat. AMM04616G). AMM04616G was diluted at 1:1000 at each lane. A goat anti-rabbit IgG H&L(HRP) at 1:5000 dilution was used as the secondary antibody. Lysate at 35ug per lane.
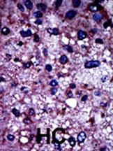
Formalin-fixed and paraffin-embedded human cancer tissue reacted with the primary antibody, which was peroxidase-conjugated to the secondary antibody, followed by DAB staining. This data demonstrates the use of this antibody for immunohistochemistry; clinical relevance has not been evaluated. BC = breast carcinoma; HC = hepatocarcinoma. |
||
Specification |
|||
Quantity |
|
||
| Select | Brand | Catalog No. | Product Name | Pack Size | Type | Field of Research | Specification | Quantity | Price(USD) | |
| 1 | Leading Biology | APR03440G | ITGA11 Antibody (N-term) | 100 μl | Polyclonal Antibodies |
|
$495.00 | Add Ask | ||
| 2 | Leading Biology | APR04537G | CMIP Antibody (C-term) | 100 μl | Polyclonal Antibodies |
|
$495.00 | Add Ask | ||
| 3 | Leading Biology | APR12422G | Human H4 Histamine Receptor (extracellular) Antibody | 50 μl | Polyclonal Antibodies |
|
$695.00 | Add Ask | ||
| 4 | Leading Biology | APR03844G | UBE2W Antibody (C-term) | 100 μl | Polyclonal Antibodies |
|
$495.00 | Add Ask | ||
| 5 | Leading Biology | APR04349G | HECTD2 Antibody (N-term) | 100 μl | Polyclonal Antibodies |
|
$495.00 | Add Ask | ||
| 6 | Leading Biology | APR03502G | IGHG1 Antibody (Center) | 100 μl | Polyclonal Antibodies |
|
$495.00 | Add Ask |
Leading Biology Inc.
2600 Hilltop DR, Building G, B Suite C138
Richmond, CA, 94806
Tel: 1-661-524(LBI)-0262
Email: info@leadingbiology.com
Complete this form and click send to ask us a question, request a quote or simply say hello.

You have 0 item in your cart

You have 0 item in your inquiry list