> Antigen, Antibodies, ELISA, Western Blot > Primary Antibody > Polyclonal Antibodies > AK2 Antibody (C-term)Brand |
Leading Biology | Catalog Number |
APG01640G |
Product Type |
Polyclonal Antibodies | Field of Research |
|
Product Overview |
We constantly strive to ensure we provide our customers with the best antibodies. As a result of this work we offer this antibody in purified format.
We are in the process of updating our datasheets. If you have any questions regarding this update, please feel free to contact our technical support team.
This product is a high quality AK2 antibody (C-term).
|
||
Molecular Weight |
26478 Da
|
||
Cellular Localization |
Antigen Cellular Localization:
Mitochondrion intermembrane space.
|
||
Host |
Rabbit
|
||
Species Reactivity |
Human
|
||
Immunogen |
187-217 aa
|
||
Target |
This AK2 antibody is generated from rabbits immunized with a KLH conjugated synthetic peptide between 187-217 amino acids from the C-terminal region of human AK2.
|
||
Isotype |
Rabbit Ig
|
||
Symbol |
ADK2
|
||
GeneID |
|||
UniProt ID |
|||
Function |
Catalyzes the reversible transfer of the terminal phosphate group between ATP and AMP. Plays an important role in cellular energy homeostasis and in adenine nucleotide metabolism. Adenylate kinase activity is critical for regulation of the phosphate utilization and the AMP de novo biosynthesis pathways. Plays a key role in hematopoiesis.
|
||
Summary |
Adenylate kinases are involved in regulating the adenine nucleotide composition within a cell by catalyzing the reversible transfer of phosphate groups among adenine nucleotides. Five isozymes of adenylate kinase have been identified in vertebrates. Expression of these isozymes is tissue-specific and developmentally regulated. Isozyme 2 is localized in the mitochondrial intermembrane space and may play a role in apoptosis.
|
||
Form |
Purified polyclonal antibody supplied in PBS with 0.09% (W/V) sodium azide. This antibody is purified through a protein A column, followed by peptide affinity purification. |
||
Storage & Stability |
Store at +4°C short term. For long-term storage, aliquot and store at -20°C or below. Stable for 12 months at -20°C. Avoid repeated freeze-thaw cycles.
|
||
Applications |
WB, IHC-P, E
|
||
Dilution |
WB~~1:2000
IHC-P~~1:50~100
|
||
Synonyms |
Adenylate kinase 2, mitochondrial {ECO:0000255|HAMAP-Rule:MF_03168}, AK 2 {ECO:0000255|HAMAP-Rule:MF_03168}, 2743 {ECO:0000255|HAMAP-Rule:MF_03168}, ATP-AMP transphosphorylase 2 {ECO:0000255|HAMAP-Rule:MF_03168}, ATP:AMP phosphotransferase {ECO:0000255|HAMAP-Rule:MF_03168}, Adenylate monophosphate kinase {ECO:0000255|HAMAP-Rule:MF_03168}, Adenylate kinase 2, mitochondrial, N-terminally processed {ECO:0000255|HAMAP-Rule:MF_03168}, AK2 {ECO:0000255|HAMAP-Rule:MF_03168}, ADK2
|
||
Images |
All lanes : Anti-AK2 Antibody (C-term) at 1:2000 dilution Lane 1: human heart lysate Lane 2: human kidney lysate Lane 3: HepG2 whole cell lysate Lysates/proteins at 20 μg per lane. Secondary Goat Anti-Rabbit IgG, (H+L), Peroxidase conjugated at 1/10000 dilution. Predicted band size : 26 kDa Blocking/Dilution buffer: 5% NFDM/TBST.
Anti-AK2 Antibody (C-term) at 1:2000 dilution + human heart lysate Lysates/proteins at 20 μg per lane. Secondary Goat Anti-Rabbit IgG, (H+L), Peroxidase conjugated at 1/10000 dilution. Predicted band size : 26 kDa Blocking/Dilution buffer: 5% NFDM/TBST.
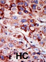
Formalin-fixed and paraffin-embedded human cancer tissue reacted with the primary antibody, which was peroxidase-conjugated to the secondary antibody, followed by AEC staining. This data demonstrates the use of this antibody for immunohistochemistry; clinical relevance has not been evaluated. BC = breast carcinoma; HC = hepatocarcinoma. |
||
Specification |
|||
Quantity |
|
||
| Select | Brand | Catalog No. | Product Name | Pack Size | Type | Field of Research | Specification | Quantity | Price(USD) | |
| 1 | Leading Biology | APR03440G | ITGA11 Antibody (N-term) | 100 μl | Polyclonal Antibodies |
|
$495.00 | Add Ask | ||
| 2 | Leading Biology | APR04537G | CMIP Antibody (C-term) | 100 μl | Polyclonal Antibodies |
|
$495.00 | Add Ask | ||
| 3 | Leading Biology | APR12422G | Human H4 Histamine Receptor (extracellular) Antibody | 50 μl | Polyclonal Antibodies |
|
$695.00 | Add Ask | ||
| 4 | Leading Biology | APR03844G | UBE2W Antibody (C-term) | 100 μl | Polyclonal Antibodies |
|
$495.00 | Add Ask | ||
| 5 | Leading Biology | APR04349G | HECTD2 Antibody (N-term) | 100 μl | Polyclonal Antibodies |
|
$495.00 | Add Ask | ||
| 6 | Leading Biology | APR03502G | IGHG1 Antibody (Center) | 100 μl | Polyclonal Antibodies |
|
$495.00 | Add Ask |
Leading Biology Inc.
2600 Hilltop DR, Building G, B Suite C138
Richmond, CA, 94806
Tel: 1-661-524(LBI)-0262
Email: info@leadingbiology.com
Complete this form and click send to ask us a question, request a quote or simply say hello.

You have 0 item in your cart

You have 0 item in your inquiry list