> Antigen, Antibodies, ELISA, Western Blot > Primary Antibody > Polyclonal Antibodies > UCK Antibody (C-term)Brand |
Leading Biology | Catalog Number |
APR10642G |
Product Type |
Polyclonal Antibodies | Field of Research |
|
Product Overview |
We constantly strive to ensure we provide our customers with the best antibodies. As a result of this work we offer this antibody in purified format.
We are in the process of updating our datasheets. If you have any questions regarding this update, please feel free to contact our technical support team.
This product is a high quality UCK antibody (C-term).
|
||
Molecular Weight |
22222 Da
|
||
Cellular Localization |
Antigen Cellular Localization:
Nucleus. Cytoplasm. Note=Predominantly nuclear
|
||
Host |
Rabbit
|
||
Species Reactivity |
Human, Mouse
|
||
Immunogen |
132-162 aa
|
||
Target |
This UCK antibody is generated from rabbits immunized with a KLH conjugated synthetic peptide between 132-162 amino acids from the C-terminal region of human UCK.
|
||
Isotype |
Rabbit Ig
|
||
GeneID |
|||
UniProt ID |
|||
Function |
Catalyzes the phosphorylation of pyrimidine nucleoside monophosphates at the expense of ATP. Plays an important role in de novo pyrimidine nucleotide biosynthesis. Has preference for UMP and CMP as phosphate acceptors. Also displays broad nucleoside diphosphate kinase activity.
|
||
Summary |
UCK1 (Uridine-cytidine kinase 1) phosphorylates uridine and cytidine to uridine monophosphate and cytidine monophosphate. This enzyme does not phosphorylate deoxyribonucleosides or purine ribonucleosides. Of note, UCK1 is able to use either ATP or GTP as a phosphate donor. UCK1 also possesses the ability to phosphorylate a number of cytidine and uridine nucleoside analogs such as 6-azauridine, 5-fluorouridine, 4-thiouridine, 5-bromouridine, N(4)-acetylcytidine, N(4)-benzoylcytidine, 5-fluorocytidine, 2-thiocytidine, 5-methylcytidine, and N(4)-anisoylcytidine.
|
||
Form |
Purified polyclonal antibody supplied in PBS with 0.09% (W/V) sodium azide. This antibody is purified through a protein A column, followed by peptide affinity purification. |
||
Storage & Stability |
Store at +4°C short term. For long-term storage, aliquot and store at -20°C or below. Stable for 12 months at -20°C. Avoid repeated freeze-thaw cycles.
|
||
Applications |
WB, IHC-P, E
|
||
Dilution |
WB~~1:1000
IHC-P~~1:50~100
|
||
Synonyms |
UMP-CMP kinase {ECO:0000255|HAMAP-Rule:MF_03172}, 27414 {ECO:0000255|HAMAP-Rule:MF_03172}, Deoxycytidylate kinase {ECO:0000255|HAMAP-Rule:MF_03172}, CK {ECO:0000255|HAMAP-Rule:MF_03172}, dCMP kinase {ECO:0000255|HAMAP-Rule:MF_03172}, Nucleoside-diphosphate kinase {ECO:0000255|HAMAP-Rule:MF_03172}, 2746 {ECO:0000255|HAMAP-Rule:MF_03172}, Uridine monophosphate/cytidine monophosphate kinase {ECO:0000255|HAMAP-Rule:MF_03172}, UMP/CMP kinase {ECO:0000255|HAMAP-Rule:MF_03172}, UMP/CMPK {ECO:0000255|HAMAP-Rule:MF_03172}, CMPK1 {ECO:0000255|HAMAP-Rule:MF_03172}
|
||
Images |
Anti-UCK Antibody (L148) at 1:1000 dilution + HepG2 whole cell lysate Lysates/proteins at 20 μg per lane. Secondary Goat Anti-Rabbit IgG, (H+L), Peroxidase conjugated at 1/10000 dilution. Predicted band size : 22 kDa Blocking/Dilution buffer: 5% NFDM/TBST.
The anti-UCK Pab (Cat. APR10642G) is used in Western blot to detect UCK in HepG2 cell lysate (Lane 1) and mouse cerebellum tissue lysate (Lane 2).
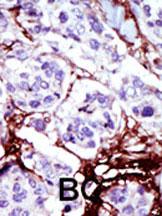
Formalin-fixed and paraffin-embedded human cancer tissue reacted with the primary antibody, which was peroxidase-conjugated to the secondary antibody, followed by AEC staining. This data demonstrates the use of this antibody for immunohistochemistry; clinical relevance has not been evaluated. BC = breast carcinoma; HC = hepatocarcinoma. |
||
Specification |
|||
Quantity |
|
||
| Select | Brand | Catalog No. | Product Name | Pack Size | Type | Field of Research | Specification | Quantity | Price(USD) | |
| 1 | Leading Biology | APR03440G | ITGA11 Antibody (N-term) | 100 μl | Polyclonal Antibodies |
|
$495.00 | Add Ask | ||
| 2 | Leading Biology | APR04537G | CMIP Antibody (C-term) | 100 μl | Polyclonal Antibodies |
|
$495.00 | Add Ask | ||
| 3 | Leading Biology | APR12422G | Human H4 Histamine Receptor (extracellular) Antibody | 50 μl | Polyclonal Antibodies |
|
$695.00 | Add Ask | ||
| 4 | Leading Biology | APR03844G | UBE2W Antibody (C-term) | 100 μl | Polyclonal Antibodies |
|
$495.00 | Add Ask | ||
| 5 | Leading Biology | APR04349G | HECTD2 Antibody (N-term) | 100 μl | Polyclonal Antibodies |
|
$495.00 | Add Ask | ||
| 6 | Leading Biology | APR03502G | IGHG1 Antibody (Center) | 100 μl | Polyclonal Antibodies |
|
$495.00 | Add Ask |
Leading Biology Inc.
2600 Hilltop DR, Building G, B Suite C138
Richmond, CA, 94806
Tel: 1-661-524(LBI)-0262
Email: info@leadingbiology.com
Complete this form and click send to ask us a question, request a quote or simply say hello.

You have 0 item in your cart

You have 0 item in your inquiry list