> Antigen, Antibodies, ELISA, Western Blot > Primary Antibody > Polyclonal Antibodies > DGKB Antibody (C-term)Brand |
Leading Biology | Catalog Number |
APR07100G |
Product Type |
Polyclonal Antibodies | Field of Research |
|
Product Overview |
We constantly strive to ensure we provide our customers with the best antibodies. As a result of this work we offer this antibody in purified format.
We are in the process of updating our datasheets. If you have any questions regarding this update, please feel free to contact our technical support team.
This product is a high quality DGKB antibody (C-term).
|
||
Molecular Weight |
90595 Da
|
||
Cellular Localization |
Antigen Cellular Localization:
Cytoplasm.
|
||
Host |
Rabbit
|
||
Species Reactivity |
Human, Mouse
|
||
Immunogen |
773-804 aa
|
||
Target |
This DGKB antibody is generated from rabbits immunized with a KLH conjugated synthetic peptide between 773-804 amino acids from the C-terminal region of human DGKB.
|
||
Isotype |
Rabbit Ig
|
||
Symbol |
DAGK2, KIAA0718
|
||
GeneID |
|||
UniProt ID |
|||
Function |
Exhibits high phosphorylation activity for long-chain diacylglycerols.
|
||
Summary |
Diacylglycerol (DAG) is an allosteric activator of protein kinase C. DAG also participates in regulating RAS and RHO family proteins by activating the guanine nucleotide exchange factors VAV and RASGRP1. DAG is also involved in the synthesis of phospholipids and triacylglycerols. Tight regulation of DAG levels is achieved via DAG kinases (DGKs), which remove DAG by phosphorylate it to phosphatidic acid. Several mammalian isozymes of DAGK have been identified
|
||
Form |
Purified polyclonal antibody supplied in PBS with 0.09% (W/V) sodium azide. This antibody is prepared by Saturated Ammonium Sulfate (SAS) precipitation followed by dialysis against PBS. |
||
Storage & Stability |
Store at +4°C short term. For long-term storage, aliquot and store at -20°C or below. Stable for 12 months at -20°C. Avoid repeated freeze-thaw cycles.
|
||
Applications |
WB, IHC-P, E
|
||
Dilution |
WB~~1:1000
IHC-P~~1:50~100
|
||
Synonyms |
Diacylglycerol kinase beta, DAG kinase beta, 90 kDa diacylglycerol kinase, Diglyceride kinase beta, DGK-beta, DGKB, DAGK2, KIAA0718
|
||
Images |
Western blot analysis of anti-hDGKB-T787 Pab (Cat. APR07100G) in mouse liver tissue lysate. hDGKB-T787(arrow) was detected using the purified Pab.
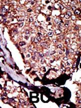
Formalin-fixed and paraffin-embedded human cancer tissue reacted with the primary antibody, which was peroxidase-conjugated to the secondary antibody, followed by DAB staining. This data demonstrates the use of this antibody for immunohistochemistry; clinical relevance has not been evaluated. BC = breast carcinoma; HC = hepatocarcinoma.
DGKB Antibody (T787) (Cat. APR07100G) western blot analysis in HepG2 cell line lysates (35ug/lane).This demonstrates the DGKB antibody detected the DGKB protein (arrow). |
||
Specification |
|||
Quantity |
|
||
| Select | Brand | Catalog No. | Product Name | Pack Size | Type | Field of Research | Specification | Quantity | Price(USD) | |
| 1 | Leading Biology | APR03440G | ITGA11 Antibody (N-term) | 100 μl | Polyclonal Antibodies |
|
$495.00 | Add Ask | ||
| 2 | Leading Biology | APR04537G | CMIP Antibody (C-term) | 100 μl | Polyclonal Antibodies |
|
$495.00 | Add Ask | ||
| 3 | Leading Biology | APR12422G | Human H4 Histamine Receptor (extracellular) Antibody | 50 μl | Polyclonal Antibodies |
|
$695.00 | Add Ask | ||
| 4 | Leading Biology | APR03844G | UBE2W Antibody (C-term) | 100 μl | Polyclonal Antibodies |
|
$495.00 | Add Ask | ||
| 5 | Leading Biology | APR04349G | HECTD2 Antibody (N-term) | 100 μl | Polyclonal Antibodies |
|
$495.00 | Add Ask | ||
| 6 | Leading Biology | APR03502G | IGHG1 Antibody (Center) | 100 μl | Polyclonal Antibodies |
|
$495.00 | Add Ask |
Leading Biology Inc.
2600 Hilltop DR, Building G, B Suite C138
Richmond, CA, 94806
Tel: 1-661-524(LBI)-0262
Email: info@leadingbiology.com
Complete this form and click send to ask us a question, request a quote or simply say hello.

You have 0 item in your cart

You have 0 item in your inquiry list