> Antigen, Antibodies, ELISA, Western Blot > Primary Antibody > Polyclonal Antibodies > PI 4 Kinase type 2 beta antibody (C-term)Brand |
Leading Biology | Catalog Number |
AMM07177G |
Product Type |
Polyclonal Antibodies | Field of Research |
|
Product Overview |
We constantly strive to ensure we provide our customers with the best antibodies. As a result of this work we offer this antibody in purified format.
We are in the process of updating our datasheets. If you have any questions regarding this update, please feel free to contact our technical support team.
This product is a high quality PI 4 Kinase type 2 beta antibody (C-term).
|
||
Molecular Weight |
54744 Da
|
||
Cellular Localization |
Antigen Cellular Localization:
Cytoplasm. Membrane. Note=Mostly cytoplasmic but also found associated with the plasma membrane, the Golgi and endosomes. Compared to PI4K2A, a larger fraction of PI4K2B is cytosolic due to a smaller extent of palmitoylation. Translocates to membranes where it is recruited by PDGF stimulation by a Rac- GTP-dependent mechanism
|
||
Host |
Rabbit
|
||
Species Reactivity |
Human, Mouse
|
||
Immunogen |
305-336 aa
|
||
Target |
This PI 4 Kinase type 2 beta antibody is generated from rabbits immunized with a KLH conjugated synthetic peptide between 305-336 amino acids from the C-terminal region of human PI 4 Kinase type 2 beta.
|
||
Isotype |
Rabbit Ig
|
||
GeneID |
|||
UniProt ID |
|||
Function |
Together with PI4K2A and the type III PI4Ks (PIK4CA and PIK4CB) it contributes to the overall PI4-kinase activity of the cell. This contribution may be especially significant in plasma membrane, endosomal and Golgi compartments. The phosphorylation of phosphatidylinositol (PI) to PI4P is the first committed step in the generation of phosphatidylinositol 4,5-bisphosphate (PIP2), a precursor of the second messenger inositol 1,4,5-trisphosphate (InsP3). Contributes to the production of InsP3 in stimulated cells and is likely to be involved in the regulation of vesicular trafficking.
|
||
Summary |
Protein kinases are enzymes that transfer a phosphate group from a phosphate donor, generally the g phosphate of ATP, onto an acceptor amino acid in a substrate protein. By this basic mechanism, protein kinases mediate most of the signal transduction in eukaryotic cells, regulating cellular metabolism, transcription, cell cycle progression, cytoskeletal rearrangement and cell movement, apoptosis, and differentiation. With more than 500 gene products, the protein kinase family is one of the largest families of proteins in eukaryotes. The family has been classified in 8 major groups based on sequence comparison of their tyrosine (PTK) or serine/threonine (STK) kinase catalytic domains.
|
||
Form |
Purified polyclonal antibody supplied in PBS with 0.09% (W/V) sodium azide. This antibody is prepared by Saturated Ammonium Sulfate (SAS) precipitation followed by dialysis against PBS. |
||
Storage & Stability |
Store at +4°C short term. For long-term storage, aliquot and store at -20°C or below. Stable for 12 months at -20°C. Avoid repeated freeze-thaw cycles.
|
||
Applications |
WB, IHC-P, E
|
||
Dilution |
WB~~1:1000
IHC-P~~1:50~100
|
||
Synonyms |
Phosphatidylinositol 4-kinase type 2-beta, Phosphatidylinositol 4-kinase type II-beta, PI4KII-BETA, PI4K2B
|
||
Images |
Western blot analysis of anti-PI4K II beta Pab (Cat. AMM07177G) in mouse brain (Lane A) and Saos-2 (Lane B) cell lysate. PI4K II beta (arrow) was detected using purified Pab. Secondary HRP-anti-rabbit was used for signal visualization with chemiluminescence.
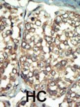
Formalin-fixed and paraffin-embedded human cancer tissue reacted with the primary antibody, which was peroxidase-conjugated to the secondary antibody, followed by AEC staining. This data demonstrates the use of this antibody for immunohistochemistry; clinical relevance has not been evaluated. BC = breast carcinoma; HC = hepatocarcinoma. |
||
Specification |
|||
Quantity |
|
||
| Select | Brand | Catalog No. | Product Name | Pack Size | Type | Field of Research | Specification | Quantity | Price(USD) | |
| 1 | Leading Biology | APR03440G | ITGA11 Antibody (N-term) | 100 μl | Polyclonal Antibodies |
|
$495.00 | Add Ask | ||
| 2 | Leading Biology | APR04537G | CMIP Antibody (C-term) | 100 μl | Polyclonal Antibodies |
|
$495.00 | Add Ask | ||
| 3 | Leading Biology | APR12422G | Human H4 Histamine Receptor (extracellular) Antibody | 50 μl | Polyclonal Antibodies |
|
$695.00 | Add Ask | ||
| 4 | Leading Biology | APR03844G | UBE2W Antibody (C-term) | 100 μl | Polyclonal Antibodies |
|
$495.00 | Add Ask | ||
| 5 | Leading Biology | APR04349G | HECTD2 Antibody (N-term) | 100 μl | Polyclonal Antibodies |
|
$495.00 | Add Ask | ||
| 6 | Leading Biology | APR03502G | IGHG1 Antibody (Center) | 100 μl | Polyclonal Antibodies |
|
$495.00 | Add Ask |
Leading Biology Inc.
2600 Hilltop DR, Building G, B Suite C138
Richmond, CA, 94806
Tel: 1-661-524(LBI)-0262
Email: info@leadingbiology.com
Complete this form and click send to ask us a question, request a quote or simply say hello.

You have 0 item in your cart

You have 0 item in your inquiry list