> Antigen, Antibodies, ELISA, Western Blot > Primary Antibody > Polyclonal Antibodies > PI4K2A (PI4K II) Antibody (N-term)Brand |
Leading Biology | Catalog Number |
AMM07183G |
Product Type |
Polyclonal Antibodies | Field of Research |
|
Product Overview |
We constantly strive to ensure we provide our customers with the best antibodies. As a result of this work we offer this antibody in purified format.
We are in the process of updating our datasheets. If you have any questions regarding this update, please feel free to contact our technical support team.
This product is a high quality PI4K2A (PI4K II) antibody (N-term).
|
||
Molecular Weight |
54022 Da
|
||
Cellular Localization |
Antigen Cellular Localization:
Golgi apparatus, trans-Golgi network membrane; Lipid- anchor. Membrane raft. Cell projection, dendrite {ECO:0000250|UniProtKB:Q2TBE6}. Cell junction, synapse, presynaptic cell membrane {ECO:0000250|UniProtKB:Q2TBE6}. Cell junction, synapse, synaptosome {ECO:0000250|UniProtKB:Q2TBE6} Mitochondrion {ECO:0000250|UniProtKB:Q2TBE6}. Endosome Cytoplasmic vesicle. Membrane; Lipid-anchor. Cell membrane Note=Localized in neuronal cell body. Transported from neuronal cell body to neuron projections in a BLOC-1- and AP-3-complexes- dependent manner. Enriched in neurite tips and neuron projections in a BLOC-1- and AP-3-complexes-dependent manner (By similarity) Found in subdomains of the plasma membrane termed non-caveolar membrane rafts. {ECO:0000250|UniProtKB:Q2TBE6, ECO:0000250|UniProtKB:Q99M64}
|
||
Host |
Rabbit
|
||
Species Reactivity |
Human
|
||
Immunogen |
1-30 aa
|
||
Target |
This PI4K2A (PI4K II) antibody is generated from rabbits immunized with a KLH conjugated synthetic peptide between 1-30 amino acids from the N-terminal region of human PI4K2A (PI4K II).
|
||
Isotype |
Rabbit Ig
|
||
GeneID |
|||
UniProt ID |
|||
Function |
Membrane-bound phosphatidylinositol-4 kinase (PI4- kinase) that catalyzes the phosphorylation of phosphatidylinositol (PI) to phosphatidylinositol 4-phosphate (PI4P), a lipid that plays important roles in endocytosis, Golgi function, protein sorting and membrane trafficking and is required for prolonged survival of neurons. Besides, phosphorylation of phosphatidylinositol (PI) to phosphatidylinositol 4-phosphate (PI4P) is the first committed step in the generation of phosphatidylinositol 4,5-bisphosphate (PIP2), a precursor of the second messenger inositol 1,4,5-trisphosphate (InsP3).
|
||
Summary |
Phosphatidylinositolpolyphosphates (PtdInsPs) are centrally involved in many biologic processes, ranging from cell growth and organization of the actin cytoskeleton to endo- and exocytosis. PI4KII phosphorylates PtdIns at the D-4 position, an essential step in the biosynthesis of PtdInsPs. PI4K II is activated by detergent and inhibited by adenosine. Overexpression of PI4KII in COS-7 cells increases synthesis of PtdIns4P. Some cells overexpressing PI4KII have scattered or no perinuclear Golgi. Knockdown of PI4KII by RNA interference (RNAi) does not disrupt the Golgi, and some cells show expanded Golgi. RNAi reduces the Golgi level of PtdIns4P and blocks the association between AP1 and the trans-Golgi network. PI4KII RNAi had little effect on intra-Golgi trafficking, but it inhibited export to plasma membrane export by 35%. It has been proposed that PI4KII generates PtdIns4P-rich domains within the Golgi that specify docking of the AP1 coat machinery.
|
||
Form |
Purified monoclonal antibody supplied in PBS with 0.09% (W/V) sodium azide. This antibody is purified through a protein G column, followed by dialysis against PBS. |
||
Storage & Stability |
Store at +4°C short term. For long-term storage, aliquot and store at -20°C or below. Stable for 12 months at -20°C. Avoid repeated freeze-thaw cycles.
|
||
Applications |
WB, IHC-P, IF, E
|
||
Dilution |
WB~~1:1000
IHC-P~~1:50~100
IF~~1:10~50
|
||
Synonyms |
Phosphatidylinositol 4-kinase type 2-alpha, Phosphatidylinositol 4-kinase type II-alpha, PI4K2A
|
||
Images |
Anti-PI4K II Antibody (C-term) at 1:8000 dilution + human kidney lysate Lysates/proteins at 20 μg per lane. Secondary Goat Anti-Rabbit IgG, (H+L), Peroxidase conjugated at 1/10000 dilution. Predicted band size : 54 kDa Blocking/Dilution buffer: 5% NFDM/TBST.
Western blot analysis of anti-PI4K II Pab (Cat. AMM07183G) in HL60 cell lysate. PI4K II (arrow) was detected using purified Pab. Secondary HRP-anti-rabbit was used for signal visualization with chemiluminescence.
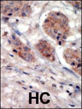
Formalin-fixed and paraffin-embedded human cancer tissue reacted with the primary antibody, which was peroxidase-conjugated to the secondary antibody, followed by DAB staining. This data demonstrates the use of this antibody for immunohistochemistry; clinical relevance has not been evaluated. BC = breast carcinoma; HC = hepatocarcinoma. |
||
Specification |
|||
Quantity |
|
||
| Select | Brand | Catalog No. | Product Name | Pack Size | Type | Field of Research | Specification | Quantity | Price(USD) | |
| 1 | Leading Biology | APR03440G | ITGA11 Antibody (N-term) | 100 μl | Polyclonal Antibodies |
|
$495.00 | Add Ask | ||
| 2 | Leading Biology | APR04537G | CMIP Antibody (C-term) | 100 μl | Polyclonal Antibodies |
|
$495.00 | Add Ask | ||
| 3 | Leading Biology | APR12422G | Human H4 Histamine Receptor (extracellular) Antibody | 50 μl | Polyclonal Antibodies |
|
$695.00 | Add Ask | ||
| 4 | Leading Biology | APR03844G | UBE2W Antibody (C-term) | 100 μl | Polyclonal Antibodies |
|
$495.00 | Add Ask | ||
| 5 | Leading Biology | APR04349G | HECTD2 Antibody (N-term) | 100 μl | Polyclonal Antibodies |
|
$495.00 | Add Ask | ||
| 6 | Leading Biology | APR03502G | IGHG1 Antibody (Center) | 100 μl | Polyclonal Antibodies |
|
$495.00 | Add Ask |
Leading Biology Inc.
2600 Hilltop DR, Building G, B Suite C138
Richmond, CA, 94806
Tel: 1-661-524(LBI)-0262
Email: info@leadingbiology.com
Complete this form and click send to ask us a question, request a quote or simply say hello.

You have 0 item in your cart

You have 0 item in your inquiry list