> Antigen, Antibodies, ELISA, Western Blot > Primary Antibody > Polyclonal Antibodies > TYRO3 Antibody (C-term)Brand |
Leading Biology | Catalog Number |
APR13894G |
Product Type |
Polyclonal Antibodies | Field of Research |
|
Product Overview |
We constantly strive to ensure we provide our customers with the best antibodies. As a result of this work we offer this antibody in purified format.
We are in the process of updating our datasheets. If you have any questions regarding this update, please feel free to contact our technical support team.
This product is a high quality TYRO3 antibody (C-term).
|
||
Molecular Weight |
96905 Da
|
||
Cellular Localization |
Antigen Cellular Localization:
Cell membrane; Single-pass type I membrane protein
|
||
Host |
Rabbit
|
||
Species Reactivity |
Human, Mouse
|
||
Immunogen |
842-873 aa
|
||
Target |
This TYRO3 antibody is generated from rabbits immunized with a KLH conjugated synthetic peptide between 842-873 amino acids from the C-terminal region of human TYRO3.
|
||
Isotype |
Rabbit Ig
|
||
Symbol |
BYK, DTK, RSE, SKY, TIF
|
||
GeneID |
|||
UniProt ID |
|||
Function |
Receptor tyrosine kinase that transduces signals from the extracellular matrix into the cytoplasm by binding to several ligands including TULP1 or GAS6. Regulates many physiological processes including cell survival, migration and differentiation. Ligand binding at the cell surface induces dimerization and autophosphorylation of TYRO3 on its intracellular domain that provides docking sites for downstream signaling molecules. Following activation by ligand, interacts with PIK3R1 and thereby enhances PI3-kinase activity. Activates the AKT survival pathway, including nuclear translocation of NF-kappa-B and up-regulation of transcription of NF-kappa-B-regulated genes. TYRO3 signaling plays a role in various processes such as neuron protection from excitotoxic injury, platelet aggregation and cytoskeleton reorganization. Plays also an important role in inhibition of Toll-like receptors (TLRs)-mediated innate immune response by activating STAT1, which selectively induces production of suppressors of cytokine signaling SOCS1 and SOCS3.
|
||
Summary |
Protein kinases are enzymes that transfer a phosphate group from a phosphate donor, generally the g phosphate of ATP, onto an acceptor amino acid in a substrate protein. By this basic mechanism, protein kinases mediate most of the signal transduction in eukaryotic cells, regulating cellular metabolism, transcription, cell cycle progression, cytoskeletal rearrangement and cell movement, apoptosis, and differentiation. With more than 500 gene products, the protein kinase family is one of the largest families of proteins in eukaryotes. The family has been classified in 8 major groups based on sequence comparison of their tyrosine (PTK) or serine/threonine (STK) kinase catalytic domains.
|
||
Form |
Purified polyclonal antibody supplied in PBS with 0.09% (W/V) sodium azide. This antibody is prepared by Saturated Ammonium Sulfate (SAS) precipitation followed by dialysis against PBS. |
||
Storage & Stability |
Store at +4°C short term. For long-term storage, aliquot and store at -20°C or below. Stable for 12 months at -20°C. Avoid repeated freeze-thaw cycles.
|
||
Applications |
WB, IHC-P, E
|
||
Dilution |
WB~~1:1000
IHC-P~~1:50~100
|
||
Synonyms |
Tyrosine-protein kinase receptor TYRO3, Tyrosine-protein kinase BYK, Tyrosine-protein kinase DTK, Tyrosine-protein kinase RSE, Tyrosine-protein kinase SKY, Tyrosine-protein kinase TIF, TYRO3, BYK, DTK, RSE, SKY, TIF
|
||
Images |
Western blot analysis of anti-SKY Pab (Cat. APR13894G) in mouse brain lysate. SKY (arrow) was detected using purified Pab. Secondary HRP-anti-rabbit was used for signal visualization with chemiluminescence.
Western blot analysis of SKY (arrow) using rabbit polyclonal SKY Antibody (C-term) (Cat. APR13894G).293 cell lysates (2 ug/lane) either nontransfected (Lane 1) or transiently transfected with the SKY gene (Lane 2) (Origene Technologies).
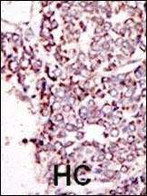
Formalin-fixed and paraffin-embedded human cancer tissue reacted with the primary antibody, which was peroxidase-conjugated to the secondary antibody, followed by DAB staining. This data demonstrates the use of this antibody for immunohistochemistry; clinical relevance has not been evaluated. BC = breast carcinoma; HC = hepatocarcinoma. |
||
Specification |
|||
Quantity |
|
||
| Select | Brand | Catalog No. | Product Name | Pack Size | Type | Field of Research | Specification | Quantity | Price(USD) | |
| 1 | Leading Biology | APR03440G | ITGA11 Antibody (N-term) | 100 μl | Polyclonal Antibodies |
|
$495.00 | Add Ask | ||
| 2 | Leading Biology | APR04537G | CMIP Antibody (C-term) | 100 μl | Polyclonal Antibodies |
|
$495.00 | Add Ask | ||
| 3 | Leading Biology | APR12422G | Human H4 Histamine Receptor (extracellular) Antibody | 50 μl | Polyclonal Antibodies |
|
$695.00 | Add Ask | ||
| 4 | Leading Biology | APR03844G | UBE2W Antibody (C-term) | 100 μl | Polyclonal Antibodies |
|
$495.00 | Add Ask | ||
| 5 | Leading Biology | APR04349G | HECTD2 Antibody (N-term) | 100 μl | Polyclonal Antibodies |
|
$495.00 | Add Ask | ||
| 6 | Leading Biology | APR03502G | IGHG1 Antibody (Center) | 100 μl | Polyclonal Antibodies |
|
$495.00 | Add Ask |
Leading Biology Inc.
2600 Hilltop DR, Building G, B Suite C138
Richmond, CA, 94806
Tel: 1-661-524(LBI)-0262
Email: info@leadingbiology.com
Complete this form and click send to ask us a question, request a quote or simply say hello.

You have 0 item in your cart

You have 0 item in your inquiry list