> Antigen, Antibodies, ELISA, Western Blot > Primary Antibody > Polyclonal Antibodies > PCTAIRE2 (PCTK2) Antibody (N-term)Brand |
Leading Biology | Catalog Number |
APR12773G |
Product Type |
Polyclonal Antibodies | Field of Research |
|
Product Overview |
We constantly strive to ensure we provide our customers with the best antibodies. As a result of this work we offer this antibody in purified format.
We are in the process of updating our datasheets. If you have any questions regarding this update, please feel free to contact our technical support team.
This product is a high quality PCTAIRE2 (PCTK2) antibody (N-term).
|
||
Molecular Weight |
59582 Da
|
||
Host |
Rabbit
|
||
Species Reactivity |
Human
|
||
Immunogen |
47-77 aa
|
||
Target |
This PCTAIRE2 (PCTK2) antibody is generated from rabbits immunized with a KLH conjugated synthetic peptide between 47-77 amino acids from the N-terminal region of human PCTAIRE2 (PCTK2).
|
||
Isotype |
Rabbit Ig
|
||
Symbol |
PCTAIRE2, PCTK2
|
||
GeneID |
|||
UniProt ID |
|||
Function |
May play a role in terminally differentiated neurons. Has a Ser/Thr-phosphorylating activity for histone H1 (By similarity).
|
||
Summary |
The protein encoded by this gene belongs to the cdc2/cdkx subfamily of the ser/thr family of protein kinases. It has similarity to rat protein which is thought to play a role in terminally differentiated neurons.
|
||
Form |
Purified polyclonal antibody supplied in PBS with 0.09% (W/V) sodium azide. This antibody is purified through a protein A column, followed by peptide affinity purification. |
||
Storage & Stability |
Store at +4°C short term. For long-term storage, aliquot and store at -20°C or below. Stable for 12 months at -20°C. Avoid repeated freeze-thaw cycles.
|
||
Applications |
WB, IHC-P, E
|
||
Dilution |
WB~~1:1000
IHC-P~~1:50~100
|
||
Synonyms |
Cyclin-dependent kinase 17, Cell division protein kinase 17, PCTAIRE-motif protein kinase 2, Serine/threonine-protein kinase PCTAIRE-2, CDK17, PCTAIRE2, PCTK2
|
||
Images |
The anti-PCTK2 Pab (Cat. APR12773G) is used in Western blot to detect PCTK2 in HeLa cell lysate.
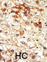
Formalin-fixed and paraffin-embedded human cancer tissue reacted with the primary antibody, which was peroxidase-conjugated to the secondary antibody, followed by DAB staining. This data demonstrates the use of this antibody for immunohistochemistry; clinical relevance has not been evaluated. BC = breast carcinoma; HC = hepatocarcinoma. |
||
Specification |
|||
Quantity |
|
||
| Select | Brand | Catalog No. | Product Name | Pack Size | Type | Field of Research | Specification | Quantity | Price(USD) | |
| 1 | Leading Biology | APR03440G | ITGA11 Antibody (N-term) | 100 μl | Polyclonal Antibodies |
|
$495.00 | Add Ask | ||
| 2 | Leading Biology | APR04537G | CMIP Antibody (C-term) | 100 μl | Polyclonal Antibodies |
|
$495.00 | Add Ask | ||
| 3 | Leading Biology | APR12422G | Human H4 Histamine Receptor (extracellular) Antibody | 50 μl | Polyclonal Antibodies |
|
$695.00 | Add Ask | ||
| 4 | Leading Biology | APR03844G | UBE2W Antibody (C-term) | 100 μl | Polyclonal Antibodies |
|
$495.00 | Add Ask | ||
| 5 | Leading Biology | APR04349G | HECTD2 Antibody (N-term) | 100 μl | Polyclonal Antibodies |
|
$495.00 | Add Ask | ||
| 6 | Leading Biology | APR03502G | IGHG1 Antibody (Center) | 100 μl | Polyclonal Antibodies |
|
$495.00 | Add Ask |
Leading Biology Inc.
2600 Hilltop DR, Building G, B Suite C138
Richmond, CA, 94806
Tel: 1-661-524(LBI)-0262
Email: info@leadingbiology.com
Complete this form and click send to ask us a question, request a quote or simply say hello.

You have 0 item in your cart

You have 0 item in your inquiry list