> Antigen, Antibodies, ELISA, Western Blot > Primary Antibody > Polyclonal Antibodies > GIT1 Antibody (Y510)Brand |
Leading Biology | Catalog Number |
APR14340G |
Product Type |
Polyclonal Antibodies | Field of Research |
|
Product Overview |
We constantly strive to ensure we provide our customers with the best antibodies. As a result of this work we offer this antibody in purified format.
We are in the process of updating our datasheets. If you have any questions regarding this update, please feel free to contact our technical support team.
This product is a high quality GIT1 antibody (Y510).
|
||
Molecular Weight |
84341 Da
|
||
Cellular Localization |
Antigen Cellular Localization:
Cytoplasm. Note=Cycles between at least 3 distinct intracellular compartments, including focal adhesions, cytoplasmic complexes and membrane protrusions. During cell migration, when cells detach, moves from the adhesions into the cytoplasmic complexes towards the leading edge, while, when cells adhere, it is found in vinculin-containing adhesions. Recruitment to adhesions may be mediated by active tyrosine-phosphorylated paxillin
|
||
Host |
Rabbit
|
||
Species Reactivity |
Human
|
||
Immunogen |
487-517 aa
|
||
Target |
This GIT1 antibody is generated from rabbits immunized with a KLH conjugated synthetic peptide between 487-517 amino acids from human GIT1.
|
||
Isotype |
Rabbit Ig
|
||
GeneID |
|||
UniProt ID |
|||
Function |
GTPase-activating protein for the ADP ribosylation factor family. May serve as a scaffold to bring together molecules to form signaling modules controlling vesicle trafficking, adhesion and cytoskeletal organization. Increases the speed of cell migration, as well as the size and rate of formation of protrusions, possibly by targeting PAK1 to adhesions and the leading edge of lamellipodia. Sequesters inactive non-tyrosine- phosphorylated paxillin in cytoplasmic complexes. Involved in the regulation of cytokinesis; the function may involve SDCCAG3 and PTPN13 (By similarity).
|
||
Summary |
GIT1 is a GTPase-activating protein for the ADP ribosylation factor family. It may serve as a scaffold to bring together molecules to form signaling modules controlling vesicle trafficking, adhesion and cytoskeletal organization. It increases the speed of cell migration, as well as the size and rate of formation of protrusions, possibly by targeting PAK1 to adhesions and the leading edge of lamellipodia.
|
||
Form |
Purified polyclonal antibody supplied in PBS with 0.09% (W/V) sodium azide. This antibody is purified through a protein A column, followed by peptide affinity purification. |
||
Storage & Stability |
Store at +4°C short term. For long-term storage, aliquot and store at -20°C or below. Stable for 12 months at -20°C. Avoid repeated freeze-thaw cycles.
|
||
Applications |
WB, IHC-P, E
|
||
Dilution |
WB~~1:1000
IHC-P~~1:10~50
|
||
Synonyms |
ARF GTPase-activating protein GIT1, ARF GAP GIT1, Cool-associated and tyrosine-phosphorylated protein 1, CAT-1, CAT1, G protein-coupled receptor kinase-interactor 1, GRK-interacting protein 1, GIT1
|
||
Images |
Western blot analysis of anti-GIT1 Antibody (Y510) (Cat. APR14340G) in mouse cerebellum tissue lysates (35ug/lane). GIT1 (arrow) was detected using the purified Pab.
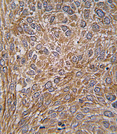
Formalin-fixed and paraffin-embedded human lung carcinoma tissue reacted with GIT1 Antibody (Y510) (Cat. APR14340G), which was peroxidase-conjugated to the secondary antibody, followed by DAB staining. This data demonstrates the use of this antibody for immunohistochemistry; clinical relevance has not been evaluated. |
||
Specification |
|||
Quantity |
|
||
| Select | Brand | Catalog No. | Product Name | Pack Size | Type | Field of Research | Specification | Quantity | Price(USD) | |
| 1 | Leading Biology | APR03440G | ITGA11 Antibody (N-term) | 100 μl | Polyclonal Antibodies |
|
$495.00 | Add Ask | ||
| 2 | Leading Biology | APR04537G | CMIP Antibody (C-term) | 100 μl | Polyclonal Antibodies |
|
$495.00 | Add Ask | ||
| 3 | Leading Biology | APR12422G | Human H4 Histamine Receptor (extracellular) Antibody | 50 μl | Polyclonal Antibodies |
|
$695.00 | Add Ask | ||
| 4 | Leading Biology | APR03844G | UBE2W Antibody (C-term) | 100 μl | Polyclonal Antibodies |
|
$495.00 | Add Ask | ||
| 5 | Leading Biology | APR04349G | HECTD2 Antibody (N-term) | 100 μl | Polyclonal Antibodies |
|
$495.00 | Add Ask | ||
| 6 | Leading Biology | APR03502G | IGHG1 Antibody (Center) | 100 μl | Polyclonal Antibodies |
|
$495.00 | Add Ask |
Leading Biology Inc.
2600 Hilltop DR, Building G, B Suite C138
Richmond, CA, 94806
Tel: 1-661-524(LBI)-0262
Email: info@leadingbiology.com
Complete this form and click send to ask us a question, request a quote or simply say hello.

You have 0 item in your cart

You have 0 item in your inquiry list