> Antigen, Antibodies, ELISA, Western Blot > Primary Antibody > Polyclonal Antibodies > SNCA Antibody (C-term)Brand |
Leading Biology | Catalog Number |
APR13429G |
Product Type |
Polyclonal Antibodies | Field of Research |
|
Product Overview |
We constantly strive to ensure we provide our customers with the best antibodies. As a result of this work we offer this antibody in purified format.
We are in the process of updating our datasheets. If you have any questions regarding this update, please feel free to contact our technical support team.
This product is a high quality SNCA antibody (C-term).
|
||
Molecular Weight |
14460 Da
|
||
Cellular Localization |
Antigen Cellular Localization:
Cytoplasm. Membrane. Nucleus. Cell junction, synapse. Note=Membrane-bound in dopaminergic neurons
|
||
Host |
Rabbit
|
||
Species Reactivity |
Human
|
||
Immunogen |
75-104 aa
|
||
Target |
This SNCA antibody is generated from rabbits immunized with a KLH conjugated synthetic peptide between 75-104 amino acids from the C-terminal region of human SNCA.
|
||
Isotype |
Rabbit Ig
|
||
Symbol |
NACP, PARK1
|
||
GeneID |
|||
UniProt ID |
|||
Function |
May be involved in the regulation of dopamine release and transport. Induces fibrillization of microtubule-associated protein tau. Reduces neuronal responsiveness to various apoptotic stimuli, leading to a decreased caspase-3 activation.
|
||
Summary |
Alpha Synuclein is implicated in the regulation of dopamine release and transport. It is a soluble protein, expressed principally in the brain but also expressed in low concentrations in all tissues examined (except liver). In the nervous system, alpha Synuclein is primarily located at presynaptic terminals and is found membrane bound in dopaminergic neurons. It can form filamentous aggregates that are the major non amyloid component of intracellular inclusions in several neurodegenerative diseases (synucleinopathies), including Parkinson's Disease. Alpha Synuclein induces fibrillization of microtubule associated protein tau and reduces neuronal responsiveness to various apoptotic stimuli, leading to a decreased caspase 3 activation. Alpha synuclein is a protein phosphorylated predominantly on serine residues. Additional splicing may be present but the full-length nature of these variants has not been determined. This variant (NACP112) lacks an alternate in-frame segment, compared to variant NACP140, resulting in a shorter protein (isoform NACP112) that has a distinct C-terminus, compared to isoform NACP140. This antibody recognizes both NACP112 and NCAP140.
|
||
Form |
Purified polyclonal antibody supplied in PBS with 0.09% (W/V) sodium azide. This antibody is prepared by Saturated Ammonium Sulfate (SAS) precipitation followed by dialysis against PBS. |
||
Storage & Stability |
Store at +4°C short term. For long-term storage, aliquot and store at -20°C or below. Stable for 12 months at -20°C. Avoid repeated freeze-thaw cycles.
|
||
Applications |
WB, IHC-P, E
|
||
Dilution |
WB~~1:1000
IHC-P~~1:50~100
|
||
Synonyms |
Alpha-synuclein, Non-A beta component of AD amyloid, Non-A4 component of amyloid precursor, NACP, SNCA, NACP, PARK1
|
||
Images |
All lanes : Anti-Park1 Antibody (C-term) at 1:1000 dilution Lane 1: SH-SY5Y whole cell lysate Lane 2: U-87 MG whole cell lysate Lysates/proteins at 20 μg per lane. Secondary Goat Anti-Rabbit IgG, (H+L), Peroxidase conjugated at 1/10000 dilution. Predicted band size : 14 kDa Blocking/Dilution buffer: 5% NFDM/TBST.
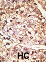
Formalin-fixed and paraffin-embedded human cancer tissue reacted with the primary antibody, which was peroxidase-conjugated to the secondary antibody, followed by AEC staining. This data demonstrates the use of this antibody for immunohistochemistry; clinical relevance has not been evaluated. BC = breast carcinoma; HC = hepatocarcinoma. |
||
Specification |
|||
Quantity |
|
||
| Select | Brand | Catalog No. | Product Name | Pack Size | Type | Field of Research | Specification | Quantity | Price(USD) | |
| 1 | Leading Biology | APR03440G | ITGA11 Antibody (N-term) | 100 μl | Polyclonal Antibodies |
|
$495.00 | Add Ask | ||
| 2 | Leading Biology | APR04537G | CMIP Antibody (C-term) | 100 μl | Polyclonal Antibodies |
|
$495.00 | Add Ask | ||
| 3 | Leading Biology | APR12422G | Human H4 Histamine Receptor (extracellular) Antibody | 50 μl | Polyclonal Antibodies |
|
$695.00 | Add Ask | ||
| 4 | Leading Biology | APR03844G | UBE2W Antibody (C-term) | 100 μl | Polyclonal Antibodies |
|
$495.00 | Add Ask | ||
| 5 | Leading Biology | APR04349G | HECTD2 Antibody (N-term) | 100 μl | Polyclonal Antibodies |
|
$495.00 | Add Ask | ||
| 6 | Leading Biology | APR03502G | IGHG1 Antibody (Center) | 100 μl | Polyclonal Antibodies |
|
$495.00 | Add Ask |
Leading Biology Inc.
2600 Hilltop DR, Building G, B Suite C138
Richmond, CA, 94806
Tel: 1-661-524(LBI)-0262
Email: info@leadingbiology.com
Complete this form and click send to ask us a question, request a quote or simply say hello.

You have 0 item in your cart

You have 0 item in your inquiry list