> Antigen, Antibodies, ELISA, Western Blot > Primary Antibody > Polyclonal Antibodies > SIRT7 Antibody (C-term)Brand |
Leading Biology | Catalog Number |
APR07041G |
Product Type |
Polyclonal Antibodies | Field of Research |
|
Product Overview |
We constantly strive to ensure we provide our customers with the best antibodies. As a result of this work we offer this antibody in purified format.
We are in the process of updating our datasheets. If you have any questions regarding this update, please feel free to contact our technical support team.
This product is a high quality SIRT7 antibody (C-term).
|
||
Molecular Weight |
44898 Da
|
||
Cellular Localization |
Antigen Cellular Localization:
Cytoplasm. Nucleus, nucleolus. Note=Located close to the nuclear membrane when in the cytoplasm. Associated with chromatin. Associated with rDNA promoter and transcribed region. Associated with nucleolar organizer regions during mitosis
|
||
Host |
Rabbit
|
||
Species Reactivity |
Human
|
||
Immunogen |
331-360 aa
|
||
Target |
This SIRT7 antibody is generated from rabbits immunized with a KLH conjugated synthetic peptide between 331-360 amino acids from the C-terminal region of human SIRT7.
|
||
Isotype |
Rabbit Ig
|
||
Symbol |
SIR2L7
|
||
GeneID |
|||
UniProt ID |
|||
Function |
NAD-dependent protein deacetylase that specifically mediates deacetylation of histone H3 at 'Lys-18' (H3K18Ac). In contrast to other histone deacetylases, displays selectivity for a single histone mark, H3K18Ac, directly linked to control of gene expression. H3K18Ac is mainly present around the transcription start site of genes and has been linked to activation of nuclear hormone receptors. SIRT7 thereby acts as a transcription repressor. Moreover, H3K18 hypoacetylation has been reported as a marker of malignancy in various cancers and seems to maintain the transformed phenotype of cancer cells. These data suggest that SIRT7 may play a key role in oncogenic transformation by suppresses expression of tumor suppressor genes by locus-specific deacetylation of H3K18Ac at promoter regions. Also required to restore the transcription of ribosomal RNA (rRNA) at the exit from mitosis: promotes the association of RNA polymerase I with the rDNA promoter region and coding region. Stimulates transcription activity of the RNA polymerase I complex. May also deacetylate p53/TP53 and promotes cell survival, however such data need additional confirmation.
|
||
Summary |
SIRT7 is a member of the sirtuin family of proteins, homologs to the yeast Sir2 protein. Members of the sirtuin family are characterized by a sirtuin core domain and grouped into four classes. The functions of human sirtuins have not yet been determined; however, yeast sirtuin proteins are known to regulate epigenetic gene silencing and suppress recombination of rDNA. Studies suggest that the human sirtuins may function as intracellular regulatory proteins with mono-ADP-ribosyltransferase activity.
|
||
Form |
Purified polyclonal antibody supplied in PBS with 0.09% (W/V) sodium azide. This antibody is purified through a protein A column, followed by peptide affinity purification. |
||
Storage & Stability |
Store at +4°C short term. For long-term storage, aliquot and store at -20°C or below. Stable for 12 months at -20°C. Avoid repeated freeze-thaw cycles.
|
||
Applications |
IHC-P, WB, E
|
||
Dilution |
IHC-P~~1:25
WB~~1:1000
|
||
Synonyms |
NAD-dependent protein deacetylase sirtuin-7, 351-, Regulatory protein SIR2 homolog 7, SIR2-like protein 7, SIRT7, SIR2L7
|
||
Images |
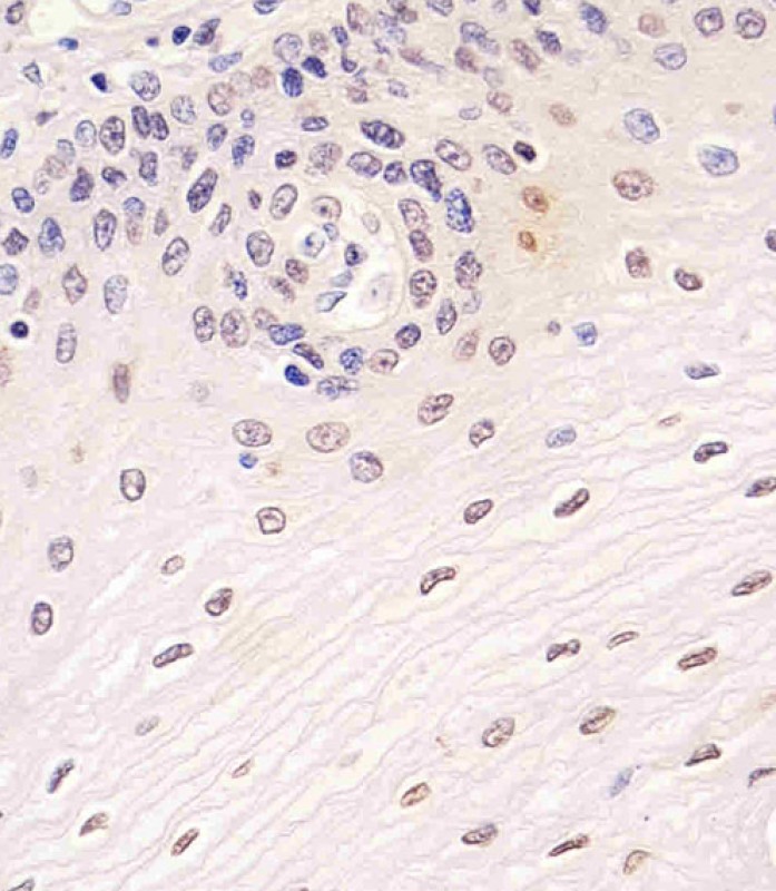
AP6246A staining SIRT7 in human esophagus tissue sections by Immunohistochemistry (IHC-P - paraformaldehyde-fixed, paraffin-embedded sections). Tissue was fixed with formaldehyde and blocked with 3% BSA for 0. 5 hour at room temperature; antigen retrieval was by heat mediation with a citrate buffer (pH6). Samples were incubated with primary antibody (1/25) for 1 hours at 37°C. A undiluted biotinylated goat polyvalent antibody was used as the secondary antibody.
Anti-SIRT7 Antibody (C-term) at 1:2000 dilution + H-4-II-E whole cell lysate Lysates/proteins at 20 μg per lane. Secondary Goat Anti-Rabbit IgG, (H+L), Peroxidase conjugated at 1/10000 dilution. Predicted band size : 45 kDa Blocking/Dilution buffer: 5% NFDM/TBST.
Anti-SIRT7 Antibody (C-term) at 1:2000 dilution + H-4-II-E whole cell lysate Lysates/proteins at 20 μg per lane. Secondary Goat Anti-Rabbit IgG, (H+L), Peroxidase conjugated at 1/10000 dilution. Predicted band size : 45 kDa Blocking/Dilution buffer: 5% NFDM/TBST. |
||
Specification |
|||
Quantity |
|
||
| Select | Brand | Catalog No. | Product Name | Pack Size | Type | Field of Research | Specification | Quantity | Price(USD) | |
| 1 | Leading Biology | APR03440G | ITGA11 Antibody (N-term) | 100 μl | Polyclonal Antibodies |
|
$495.00 | Add Ask | ||
| 2 | Leading Biology | APR04537G | CMIP Antibody (C-term) | 100 μl | Polyclonal Antibodies |
|
$495.00 | Add Ask | ||
| 3 | Leading Biology | APR12422G | Human H4 Histamine Receptor (extracellular) Antibody | 50 μl | Polyclonal Antibodies |
|
$695.00 | Add Ask | ||
| 4 | Leading Biology | APR03844G | UBE2W Antibody (C-term) | 100 μl | Polyclonal Antibodies |
|
$495.00 | Add Ask | ||
| 5 | Leading Biology | APR04349G | HECTD2 Antibody (N-term) | 100 μl | Polyclonal Antibodies |
|
$495.00 | Add Ask | ||
| 6 | Leading Biology | APR03502G | IGHG1 Antibody (Center) | 100 μl | Polyclonal Antibodies |
|
$495.00 | Add Ask |
Leading Biology Inc.
2600 Hilltop DR, Building G, B Suite C138
Richmond, CA, 94806
Tel: 1-661-524(LBI)-0262
Email: info@leadingbiology.com
Complete this form and click send to ask us a question, request a quote or simply say hello.

You have 0 item in your cart

You have 0 item in your inquiry list