> Antigen, Antibodies, ELISA, Western Blot > Primary Antibody > Polyclonal Antibodies > RAI17 Antibody (C-term)Brand |
Leading Biology | Catalog Number |
APR14301G |
Product Type |
Polyclonal Antibodies | Field of Research |
|
Product Overview |
We constantly strive to ensure we provide our customers with the best antibodies. As a result of this work we offer this antibody in purified format.
We are in the process of updating our datasheets. If you have any questions regarding this update, please feel free to contact our technical support team.
This product is a high quality RAI17 antibody (C-term).
|
||
Molecular Weight |
115483 Da
|
||
Cellular Localization |
Antigen Cellular Localization:
Nucleus speckle. Cytoplasm
|
||
Host |
Rabbit
|
||
Species Reactivity |
Human
|
||
Immunogen |
1038-1067 aa
|
||
Target |
This RAI17 antibody is generated from rabbits immunized with a KLH conjugated synthetic peptide between 1038-1067 amino acids from the C-terminal region of human RAI17.
|
||
Isotype |
Rabbit Ig
|
||
Symbol |
KIAA1224, RAI17, ZIMP10
|
||
GeneID |
|||
UniProt ID |
|||
Function |
Increases ligand-dependent transcriptional activity of AR and promotes AR sumoylation. The stimulation of AR activity is dependent upon sumoylation.
|
||
Summary |
Retinoic acid plays a critical role in development, cellular growth, and differentiation and induces the expression of a variety of genes. RAI17 expression is induced by retinoic acid and is predominantly expressed in heart, brain and ovaries. Within brain, highest expression is in amygdala. The deduced 1,067-amino acid protein contains an MSX-interacting zinc finger (MIZ) domain, a nuclear localization signal sequence, and 2 proline-rich regions. A strong intrinsic transactivation domain is identified in the C-terminal proline-rich region. RAI17 expression is detected in various cancer cell lines. RAI17 colocalizes with endogenous androgen receptor (AR) in the nuclei of prostate epithelial cells from human tissue samples. In human prostate cancer cells, RAI17 increases the transcriptional activity of AR. Studies using sumoylation-deficient AR mutants suggest that the increase of AR activity by RAI17 is dependent upon receptor sumoylation.
|
||
Form |
Purified polyclonal antibody supplied in PBS with 0.09% (W/V) sodium azide. This antibody is prepared by Saturated Ammonium Sulfate (SAS) precipitation followed by dialysis against PBS. |
||
Storage & Stability |
Store at +4°C short term. For long-term storage, aliquot and store at -20°C or below. Stable for 12 months at -20°C. Avoid repeated freeze-thaw cycles.
|
||
Applications |
WB, IHC-P, E
|
||
Dilution |
WB~~1:2000
IHC-P~~1:50~100
|
||
Synonyms |
Zinc finger MIZ domain-containing protein 1, PIAS-like protein Zimp10, Retinoic acid-induced protein 17, ZMIZ1, KIAA1224, RAI17, ZIMP10
|
||
Images |
All lanes : Anti-Rai17 Antibody (P604) at 1:2000 dilution Lane 1: K562 whole cell lysates Lane 2: 293T/17 whole cell lysates Lysates/proteins at 20 μg per lane. Secondary Goat Anti-Rabbit IgG, (H+L), Peroxidase conjugated at 1/10000 dilution Predicted band size : 115 kDa Blocking/Dilution buffer: 5% NFDM/TBST.
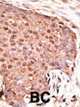
Formalin-fixed and paraffin-embedded human cancer tissue reacted with the primary antibody, which was peroxidase-conjugated to the secondary antibody, followed by AEC staining. This data demonstrates the use of this antibody for immunohistochemistry; clinical relevance has not been evaluated. BC = breast carcinoma; HC = hepatocarcinoma. |
||
Specification |
|||
Quantity |
|
||
| Select | Brand | Catalog No. | Product Name | Pack Size | Type | Field of Research | Specification | Quantity | Price(USD) | |
| 1 | Leading Biology | APR03440G | ITGA11 Antibody (N-term) | 100 μl | Polyclonal Antibodies |
|
$495.00 | Add Ask | ||
| 2 | Leading Biology | APR04537G | CMIP Antibody (C-term) | 100 μl | Polyclonal Antibodies |
|
$495.00 | Add Ask | ||
| 3 | Leading Biology | APR12422G | Human H4 Histamine Receptor (extracellular) Antibody | 50 μl | Polyclonal Antibodies |
|
$695.00 | Add Ask | ||
| 4 | Leading Biology | APR03844G | UBE2W Antibody (C-term) | 100 μl | Polyclonal Antibodies |
|
$495.00 | Add Ask | ||
| 5 | Leading Biology | APR04349G | HECTD2 Antibody (N-term) | 100 μl | Polyclonal Antibodies |
|
$495.00 | Add Ask | ||
| 6 | Leading Biology | APR03502G | IGHG1 Antibody (Center) | 100 μl | Polyclonal Antibodies |
|
$495.00 | Add Ask |
Leading Biology Inc.
2600 Hilltop DR, Building G, B Suite C138
Richmond, CA, 94806
Tel: 1-661-524(LBI)-0262
Email: info@leadingbiology.com
Complete this form and click send to ask us a question, request a quote or simply say hello.

You have 0 item in your cart

You have 0 item in your inquiry list