> Antigen, Antibodies, ELISA, Western Blot > Primary Antibody > Polyclonal Antibodies > CSP AntibodyBrand |
Leading Biology | Catalog Number |
AMM05812G |
Product Type |
Polyclonal Antibodies | Field of Research |
|
Product Overview |
We constantly strive to ensure we provide our customers with the best antibodies. As a result of this work we offer this antibody in purified format.
We are in the process of updating our datasheets. If you have any questions regarding this update, please feel free to contact our technical support team.
This product is a high quality CSP antibody.
|
||
Molecular Weight |
22; [uniprot]22,19; [abcam]22; KDa
|
||
Cellular Localization |
Antigen Cellular Localization:
Membrane; Lipid-anchor. Melanosome. Cell membrane. Note=Identified by mass spectrometry in melanosome fractions from stage I to stage IV
|
||
Host |
Rabbit
|
||
Species Reactivity |
Human, Mouse, Rat, Rabbit, Sheep, Guinea Pig
|
||
Immunogen |
1-100/198 aa
|
||
Symbol |
CSP
|
||
GeneID |
|||
UniProt ID |
|||
Function |
May have an important role in presynaptic function. May be involved in calcium-dependent neurotransmitter release at nerve endings (By similarity).
|
||
Summary |
May have an important role in presynaptic function. May be involved in calcium-dependent neurotransmitter release at nerve endings (By similarity).
|
||
Form |
0.01M TBS(pH7.4) with 1% BSA, 0.03% Proclin300 and 50% Glyce |
||
Storage & Stability |
Store at +4°C short term. For long-term storage, aliquot and store at -20°C or below. Stable for 12 months at -20°C. Avoid repeated freeze-thaw cycles.
|
||
Applications |
WB, IHC
|
||
Dilution |
WB~~ 1:500
IHC~~1:100-1:500
|
||
Synonyms |
DnaJ homolog subfamily C member 5, Cysteine string protein, CSP, DNAJC5, CSP
|
||
Images |
Western blot analysis of lysate from human brain tissue lysate,using CSP Antibody(AMM05812G). AMM05812G was diluted at 1:500. A goat anti-rabbit IgG H&L(HRP) at 1:5000 dilution was used as the secondary antibody.Lysate at 35ug.
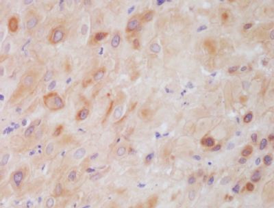
Tissue/cell: human placenta tissue; 4% Paraformaldehyde-fixed and paraffin-embedded; Antigen retrieval: citrate buffer ( 0.01M, pH 6.0 ), Boiling bathing for 15min; Block endogenous peroxidase by 3% Hydrogen peroxide for 30min; Blocking buffer at 37℃ for 20 min; Incubation: Anti-CSP Polyclonal Antibody, Unconjugated 1:200, overnight at 4°C, followed by conjugation to the secondary antibody and DAB staining |
||
Specification |
|||
Quantity |
|
||
| Select | Brand | Catalog No. | Product Name | Pack Size | Type | Field of Research | Specification | Quantity | Price(USD) | |
| 1 | Leading Biology | APR03440G | ITGA11 Antibody (N-term) | 100 μl | Polyclonal Antibodies |
|
$495.00 | Add Ask | ||
| 2 | Leading Biology | APR04537G | CMIP Antibody (C-term) | 100 μl | Polyclonal Antibodies |
|
$495.00 | Add Ask | ||
| 3 | Leading Biology | APR12422G | Human H4 Histamine Receptor (extracellular) Antibody | 50 μl | Polyclonal Antibodies |
|
$695.00 | Add Ask | ||
| 4 | Leading Biology | APR03844G | UBE2W Antibody (C-term) | 100 μl | Polyclonal Antibodies |
|
$495.00 | Add Ask | ||
| 5 | Leading Biology | APR04349G | HECTD2 Antibody (N-term) | 100 μl | Polyclonal Antibodies |
|
$495.00 | Add Ask | ||
| 6 | Leading Biology | APR03502G | IGHG1 Antibody (Center) | 100 μl | Polyclonal Antibodies |
|
$495.00 | Add Ask |
Leading Biology Inc.
2600 Hilltop DR, Building G, B Suite C138
Richmond, CA, 94806
Tel: 1-661-524(LBI)-0262
Email: info@leadingbiology.com
Complete this form and click send to ask us a question, request a quote or simply say hello.

You have 0 item in your cart

You have 0 item in your inquiry list