> Antigen, Antibodies, ELISA, Western Blot > Primary Antibody > Polyclonal Antibodies > ZIC1/2/3 AntibodyBrand |
Leading Biology | Catalog Number |
APR14034G |
Product Type |
Polyclonal Antibodies | Field of Research |
|
Product Overview |
We constantly strive to ensure we provide our customers with the best antibodies. As a result of this work we offer this antibody in purified format.
We are in the process of updating our datasheets. If you have any questions regarding this update, please feel free to contact our technical support team.
This product is a high quality ZIC1/2/3 antibody.
|
||
Molecular Weight |
48 KDa
|
||
Cellular Localization |
Antigen Cellular Localization:
Nucleus. Cytoplasm. Note=Localizes in the cytoplasm in presence of MDFIC overexpression.
|
||
Host |
Rabbit
|
||
Species Reactivity |
Human, Mouse
|
||
Immunogen |
341-370 aa
|
||
Symbol |
ZIC, ZNF201
|
||
GeneID |
|||
UniProt ID |
|||
Function |
Acts as a transcriptional activator. Involved in neurogenesis. Plays important roles in the early stage of organogenesis of the CNS, as well as during dorsal spinal cord development and maturation of the cerebellum. Involved in the spatial distribution of mossy fiber (MF) neurons within the pontine gray nucleus (PGN). Plays a role in the regulation of MF axon pathway choice. Promotes MF migration towards ipsilaterally- located cerebellar territories. May have a role in shear flow mechanotransduction in osteocytes. Retains nuclear GLI1 and GLI3 in the cytoplasm. Binds to the minimal GLI-consensus sequence 5'- TGGGTGGTC-3' (By similarity).
|
||
Summary |
Acts as a transcriptional activator. Involved in neurogenesis. Plays important roles in the early stage of organogenesis of the CNS, as well as during dorsal spinal cord development and maturation of the cerebellum. Involved in the spatial distribution of mossy fiber (MF) neurons within the pontine gray nucleus (PGN). Plays a role in the regulation of MF axon pathway choice. Promotes MF migration towards ipsilaterally- located cerebellar territories. May have a role in shear flow mechanotransduction in osteocytes. Retains nuclear GLI1 and GLI3 in the cytoplasm. Binds to the minimal GLI-consensus sequence 5'- TGGGTGGTC-3' (By similarity).
|
||
Form |
Rabbit IgG in phosphate buffered saline (without Mg2+ and Ca2+), pH 7.4, 150mM NaCl, 0.02% sodium azide and 50% glycerol. |
||
Storage & Stability |
Store at +4°C short term. For long-term storage, aliquot and store at -20°C or below. Stable for 12 months at -20°C. Avoid repeated freeze-thaw cycles.
|
||
Applications |
WB, IHC
|
||
Dilution |
WB~~ 1:1000
IHC~~1:50-100
|
||
Synonyms |
Zinc finger protein ZIC 1, Zinc finger protein 201, Zinc finger protein of the cerebellum 1, ZIC1, ZIC, ZNF201
|
||
Images |
Western blot analysis of lysate from SW480 cell line,using ZIC1/2/3 Antibody(APR14034G). APR14034G was diluted at 1:1000. A goat anti-rabbit IgG H&L(HRP) at 1:5000 dilution was used as the secondary antibody.Lysate at 35ug.
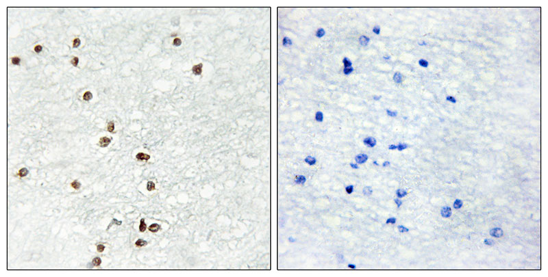
Immunohistochemistry analysis of paraffin-embedded human brain tissue using ZIC1/2/3 antibody. |
||
Specification |
|||
Quantity |
|
||
| Select | Brand | Catalog No. | Product Name | Pack Size | Type | Field of Research | Specification | Quantity | Price(USD) | |
| 1 | Leading Biology | APR03440G | ITGA11 Antibody (N-term) | 100 μl | Polyclonal Antibodies |
|
$495.00 | Add Ask | ||
| 2 | Leading Biology | APR04537G | CMIP Antibody (C-term) | 100 μl | Polyclonal Antibodies |
|
$495.00 | Add Ask | ||
| 3 | Leading Biology | APR12422G | Human H4 Histamine Receptor (extracellular) Antibody | 50 μl | Polyclonal Antibodies |
|
$695.00 | Add Ask | ||
| 4 | Leading Biology | APR03844G | UBE2W Antibody (C-term) | 100 μl | Polyclonal Antibodies |
|
$495.00 | Add Ask | ||
| 5 | Leading Biology | APR04349G | HECTD2 Antibody (N-term) | 100 μl | Polyclonal Antibodies |
|
$495.00 | Add Ask | ||
| 6 | Leading Biology | APR03502G | IGHG1 Antibody (Center) | 100 μl | Polyclonal Antibodies |
|
$495.00 | Add Ask |
Leading Biology Inc.
2600 Hilltop DR, Building G, B Suite C138
Richmond, CA, 94806
Tel: 1-661-524(LBI)-0262
Email: info@leadingbiology.com
Complete this form and click send to ask us a question, request a quote or simply say hello.

You have 0 item in your cart

You have 0 item in your inquiry list