> Antigen, Antibodies, ELISA, Western Blot > Primary Antibody > Polyclonal Antibodies > CHST10 AntibodyBrand |
Leading Biology | Catalog Number |
APG02593G |
Product Type |
Polyclonal Antibodies | Field of Research |
|
Product Overview |
We constantly strive to ensure we provide our customers with the best antibodies. As a result of this work we offer this antibody in purified format.
We are in the process of updating our datasheets. If you have any questions regarding this update, please feel free to contact our technical support team.
This product is a high quality CHST10 antibody.
|
||
Molecular Weight |
42 KDa
|
||
Cellular Localization |
Antigen Cellular Localization:
Golgi apparatus membrane; Single-pass type II membrane protein
|
||
Host |
Rabbit
|
||
Species Reactivity |
Human, Mouse, Rat
|
||
Immunogen |
211-239 aa
|
||
GeneID |
|||
UniProt ID |
|||
Function |
Catalyzes the transfer of sulfate to position 3 of terminal glucuronic acid of both protein- and lipid-linked oligosaccharides. Participates in biosynthesis of HNK-1 carbohydrate structure, a sulfated glucuronyl-lactosaminyl residue carried by many neural recognition molecules, which is involved in cell interactions during ontogenetic development and in synaptic plasticity in the adult. May be indirectly involved in synapse plasticity of the hippocampus, via its role in HNK-1 biosynthesis.
|
||
Summary |
Catalyzes the transfer of sulfate to position 3 of terminal glucuronic acid of both protein- and lipid-linked oligosaccharides. Participates in biosynthesis of HNK-1 carbohydrate structure, a sulfated glucuronyl-lactosaminyl residue carried by many neural recognition molecules, which is involved in cell interactions during ontogenetic development and in synaptic plasticity in the adult. May be indirectly involved in synapse plasticity of the hippocampus, via its role in HNK-1 biosynthesis.
|
||
Form |
Rabbit IgG in phosphate buffered saline (without Mg2+ and Ca2+), pH 7.4, 150mM NaCl, 0.02% sodium azide and 50% glycerol. |
||
Storage & Stability |
Store at +4°C short term. For long-term storage, aliquot and store at -20°C or below. Stable for 12 months at -20°C. Avoid repeated freeze-thaw cycles.
|
||
Applications |
WB, IHC
|
||
Dilution |
WB~~ 1:1000
IHC~~1:50-1:100
|
||
Synonyms |
Carbohydrate sulfotransferase 10, 282-, HNK-1 sulfotransferase, HNK-1ST, HNK1ST, HuHNK-1ST, CHST10
|
||
Images |
Western blot analysis of lysate from human brain tissue lysate,using CHST10 Antibody(APG02593G). APG02593G was diluted at 1:1000. A goat anti-rabbit IgG H&L(HRP) at 1:5000 dilution was used as the secondary antibody.Lysate at 35ug.
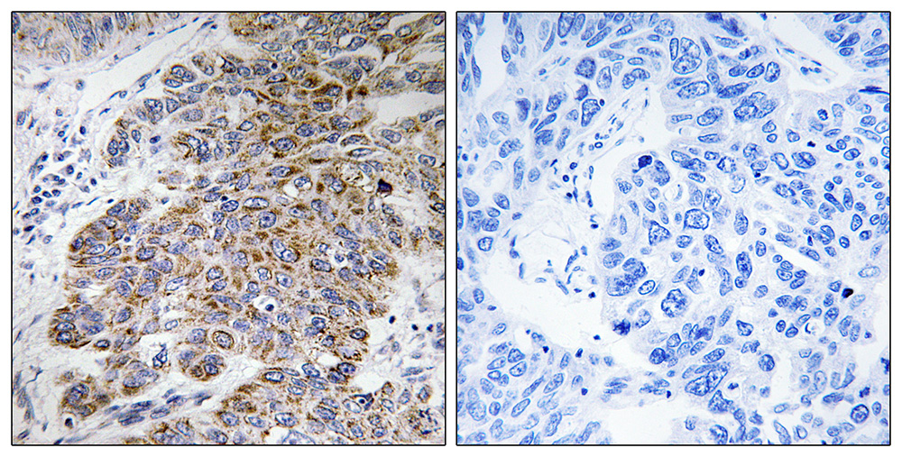
Immunohistochemistry analysis of paraffin-embedded human lung carcinoma tissue, using CHST10 antibody. |
||
Specification |
|||
Quantity |
|
||
| Select | Brand | Catalog No. | Product Name | Pack Size | Type | Field of Research | Specification | Quantity | Price(USD) | |
| 1 | Leading Biology | APR03440G | ITGA11 Antibody (N-term) | 100 μl | Polyclonal Antibodies |
|
$495.00 | Add Ask | ||
| 2 | Leading Biology | APR04537G | CMIP Antibody (C-term) | 100 μl | Polyclonal Antibodies |
|
$495.00 | Add Ask | ||
| 3 | Leading Biology | APR12422G | Human H4 Histamine Receptor (extracellular) Antibody | 50 μl | Polyclonal Antibodies |
|
$695.00 | Add Ask | ||
| 4 | Leading Biology | APR03844G | UBE2W Antibody (C-term) | 100 μl | Polyclonal Antibodies |
|
$495.00 | Add Ask | ||
| 5 | Leading Biology | APR04349G | HECTD2 Antibody (N-term) | 100 μl | Polyclonal Antibodies |
|
$495.00 | Add Ask | ||
| 6 | Leading Biology | APR03502G | IGHG1 Antibody (Center) | 100 μl | Polyclonal Antibodies |
|
$495.00 | Add Ask |
Leading Biology Inc.
2600 Hilltop DR, Building G, B Suite C138
Richmond, CA, 94806
Tel: 1-661-524(LBI)-0262
Email: info@leadingbiology.com
Complete this form and click send to ask us a question, request a quote or simply say hello.

You have 0 item in your cart

You have 0 item in your inquiry list