> Antigen, Antibodies, ELISA, Western Blot > Primary Antibody > Polyclonal Antibodies > Prostate Apoptosis Response protein-4 AntibodyBrand |
Leading Biology | Catalog Number |
AMR09562G |
Product Type |
Polyclonal Antibodies | Field of Research |
|
Product Overview |
We constantly strive to ensure we provide our customers with the best antibodies. As a result of this work we offer this antibody in purified format.
We are in the process of updating our datasheets. If you have any questions regarding this update, please feel free to contact our technical support team.
This product is a high quality Prostate Apoptosis Response protein-4 antibody.
|
||
Molecular Weight |
37 KDa
|
||
Cellular Localization |
Antigen Cellular Localization:
Cytoplasm. Nucleus. Note=Mainly cytoplasmic in absence of apoptosis signal and in normal cells. Nuclear in most cancer cell lines. Nuclear entry seems to be essential but not sufficient for apoptosis (By similarity). Nuclear localization includes nucleoplasm and PML nuclear bodies.
|
||
Host |
Rabbit
|
||
Species Reactivity |
Human, Mouse, Rat
|
||
Immunogen |
310-338 aa
|
||
Symbol |
PAR4
|
||
GeneID |
|||
UniProt ID |
|||
Function |
Pro-apoptopic protein capable of selectively inducing apoptosis in cancer cells, sensitizing the cells to diverse apoptotic stimuli and causing regression of tumors in animal models. Induces apoptosis in certain cancer cells by activation of the Fas prodeath pathway and coparallel inhibition of NF-kappa-B transcriptional activity. Inhibits the transcriptional activation and augments the transcriptional repression mediated by WT1. Down- regulates the anti-apoptotic protein BCL2 via its interaction with WT1. Seems also to be a transcriptional repressor by itself. May be directly involved in regulating the amyloid precursor protein (APP) cleavage activity of BACE1.
|
||
Summary |
Pro-apoptopic protein capable of selectively inducing apoptosis in cancer cells, sensitizing the cells to diverse apoptotic stimuli and causing regression of tumors in animal models. Induces apoptosis in certain cancer cells by activation of the Fas prodeath pathway and coparallel inhibition of NF-kappa-B transcriptional activity. Inhibits the transcriptional activation and augments the transcriptional repression mediated by WT1. Down- regulates the anti-apoptotic protein BCL2 via its interaction with WT1. Seems also to be a transcriptional repressor by itself. May be directly involved in regulating the amyloid precursor protein (APP) cleavage activity of BACE1.
|
||
Form |
Rabbit IgG in phosphate buffered saline (without Mg2+ and Ca2+), pH 7.4, 150mM NaCl, 0.02% sodium azide and 50% glycerol. |
||
Storage & Stability |
Store at +4°C short term. For long-term storage, aliquot and store at -20°C or below. Stable for 12 months at -20°C. Avoid repeated freeze-thaw cycles.
|
||
Applications |
WB, IHC
|
||
Dilution |
WB~~ 1:1000
IHC~~1:50-1:100
|
||
Synonyms |
PRKC apoptosis WT1 regulator protein, Prostate apoptosis response 4 protein, Par-4, PAWR, PAR4
|
||
Images |
Western blot analysis of lysate from SW620 cell line,using Prostate Apoptosis Response protein-4 Antibody(C0309). C0309 was diluted at 1:1000. A goat anti-rabbit IgG H&L(HRP) at 1:5000 dilution was used as the secondary antibody.Lysate at 35ug.
Western blot analysis of extracts from 293 cells The lane on the left is treated with synthesized peptide.
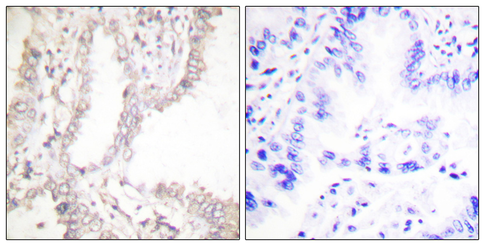
Immunohistochemical analysis of paraffin-embedded human lung carcinoma tissue using Prostate Apoptosis Response Protein-4 antibody . |
||
Specification |
|||
Quantity |
|
||
| Select | Brand | Catalog No. | Product Name | Pack Size | Type | Field of Research | Specification | Quantity | Price(USD) | |
| 1 | Leading Biology | APR03440G | ITGA11 Antibody (N-term) | 100 μl | Polyclonal Antibodies |
|
$495.00 | Add Ask | ||
| 2 | Leading Biology | APR04537G | CMIP Antibody (C-term) | 100 μl | Polyclonal Antibodies |
|
$495.00 | Add Ask | ||
| 3 | Leading Biology | APR12422G | Human H4 Histamine Receptor (extracellular) Antibody | 50 μl | Polyclonal Antibodies |
|
$695.00 | Add Ask | ||
| 4 | Leading Biology | APR03844G | UBE2W Antibody (C-term) | 100 μl | Polyclonal Antibodies |
|
$495.00 | Add Ask | ||
| 5 | Leading Biology | APR04349G | HECTD2 Antibody (N-term) | 100 μl | Polyclonal Antibodies |
|
$495.00 | Add Ask | ||
| 6 | Leading Biology | APR03502G | IGHG1 Antibody (Center) | 100 μl | Polyclonal Antibodies |
|
$495.00 | Add Ask |
Leading Biology Inc.
2600 Hilltop DR, Building G, B Suite C138
Richmond, CA, 94806
Tel: 1-661-524(LBI)-0262
Email: info@leadingbiology.com
Complete this form and click send to ask us a question, request a quote or simply say hello.

You have 0 item in your cart

You have 0 item in your inquiry list