> Antigen, Antibodies, ELISA, Western Blot > Primary Antibody > Polyclonal Antibodies > CD71 Antibody (C-term)Brand |
Leading Biology | Catalog Number |
APG02505G |
Product Type |
Polyclonal Antibodies | Field of Research |
|
Product Overview |
We constantly strive to ensure we provide our customers with the best antibodies. As a result of this work we offer this antibody in purified format.
We are in the process of updating our datasheets. If you have any questions regarding this update, please feel free to contact our technical support team.
This product is a high quality CD71 antibody (C-term).
|
||
Molecular Weight |
84871 Da
|
||
Cellular Localization |
Antigen Cellular Localization:
Cell membrane; Single-pass type II membrane protein. Melanosome. Note=Identified by mass spectrometry in melanosome fractions from stage I to stage IV
|
||
Host |
Rabbit
|
||
Species Reactivity |
Human
|
||
Immunogen |
649-677 aa
|
||
Target |
This CD71 antibody is generated from rabbits immunized with a KLH conjugated synthetic peptide between 649-677 amino acids from the C-terminal region of human CD71.
|
||
Isotype |
Rabbit Ig
|
||
GeneID |
|||
UniProt ID |
|||
Function |
Cellular uptake of iron occurs via receptor-mediated endocytosis of ligand-occupied transferrin receptor into specialized endosomes. Endosomal acidification leads to iron release. The apotransferrin-receptor complex is then recycled to the cell surface with a return to neutral pH and the concomitant loss of affinity of apotransferrin for its receptor. Transferrin receptor is necessary for development of erythrocytes and the nervous system (By similarity). A second ligand, the heditary hemochromatosis protein HFE, competes for binding with transferrin for an overlapping C-terminal binding site.
|
||
Summary |
Cellular uptake of iron occurs via receptor mediated endocytosis of ligand occupied transferrin receptor into specialized endosomes. Endosomal acidification leads to iron release. The apotransferrin receptor complex is then recycled to the cell surface with a return to neutral pH and the concomitant loss of affinity of apotransferrin for its receptor. Transferrin receptor is necessary for development of erythrocytes and the nervous system (By similarity). Useful in studies of dividing haematopoietic and tumour cell populations, and metabolic activity. A second ligand, the heditary hemochromatosis protein HFE, competes for binding with transferrin for an overlapping C terminal binding site. The antigen is present on most dividing cells, including normally cycling in vivo hematopoietic progenitor cells, mitogenically stimulated cells in vitro, some primary tumor cells and most proliferating cells in vitro.The transferrin receptor has been structurally characterized as a sulfide bound dimer of identical glycoprotein subunits of 95 kDa. The transferrin receptor is not present on resting blood lymphocytes. On PBL, the receptor appears after activation. The expression of transferrin receptor is coordinately regulated with cell growth. Present on T and B cell lines. The soluble (or serum) transferrin receptor (sTfR) is a circulating truncated form of the membrane receptor protein; it is an 85 kDa glycoprotein forming in serum a 320 kDa complex with diferric transferrin.The most important clinical use of the sTfR determination is in the differential diagnosis between iron deficiency anaemia and the anaemia of chronic disease.This antibody is an indicator of proliferation activity. It also has prognostic significance when typing tumors, such as leukemias and lymphomas.
|
||
Form |
Purified polyclonal antibody supplied in PBS with 0.09% (W/V) sodium azide. This antibody is purified through a protein A column, followed by peptide affinity purification. |
||
Storage & Stability |
Store at +4°C short term. For long-term storage, aliquot and store at -20°C or below. Stable for 12 months at -20°C. Avoid repeated freeze-thaw cycles.
|
||
Applications |
IHC-P, WB, FC, E
|
||
Dilution |
IHC-P~~1:10~50
WB~~1:1000
FC~~1:10~50
|
||
Synonyms |
Transferrin receptor protein 1, TR, TfR, TfR1, Trfr, T9, p90, CD71, Transferrin receptor protein 1, serum form, sTfR, TFRC
|
||
Images |
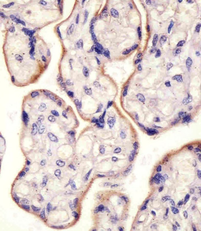
APG02505G staining CD71 in human placenta tissue sections by Immunohistochemistry (IHC-P - paraformaldehyde-fixed, paraffin-embedded sections). Tissue was fixed with formaldehyde and blocked with 3% BSA for 0. 5 hour at room temperature; antigen retrieval was by heat mediation with a citrate buffer (pH6). Samples were incubated with primary antibody (1/25) for 1 hours at 37°C. A undiluted biotinylated goat polyvalent antibody was used as the secondary antibody.
All lanes : Anti-CD71 Antibody (C-term) at 1:2000 dilution Lane 1: A549 whole cell lysate Lane 2: CCRF-CEM whole cell lysate Lysates/proteins at 20 μg per lane. Secondary Goat Anti-Rabbit IgG, (H+L), Peroxidase conjugated at 1/10000 dilution. Predicted band size : 85 kDa Blocking/Dilution buffer: 5% NFDM/TBST.
Western blot analysis of CD71 Antibody (C-term) (Cat. APG02505G) in Hela cell line lysates (35ug/lane). CD71 (arrow) was detected using the purified Pab. |
||
Specification |
|||
Quantity |
|
||
| Select | Brand | Catalog No. | Product Name | Pack Size | Type | Field of Research | Specification | Quantity | Price(USD) | |
| 1 | Leading Biology | APR03440G | ITGA11 Antibody (N-term) | 100 μl | Polyclonal Antibodies |
|
$495.00 | Add Ask | ||
| 2 | Leading Biology | APR04537G | CMIP Antibody (C-term) | 100 μl | Polyclonal Antibodies |
|
$495.00 | Add Ask | ||
| 3 | Leading Biology | APR12422G | Human H4 Histamine Receptor (extracellular) Antibody | 50 μl | Polyclonal Antibodies |
|
$695.00 | Add Ask | ||
| 4 | Leading Biology | APR03844G | UBE2W Antibody (C-term) | 100 μl | Polyclonal Antibodies |
|
$495.00 | Add Ask | ||
| 5 | Leading Biology | APR04349G | HECTD2 Antibody (N-term) | 100 μl | Polyclonal Antibodies |
|
$495.00 | Add Ask | ||
| 6 | Leading Biology | APR03502G | IGHG1 Antibody (Center) | 100 μl | Polyclonal Antibodies |
|
$495.00 | Add Ask |
Leading Biology Inc.
2600 Hilltop DR, Building G, B Suite C138
Richmond, CA, 94806
Tel: 1-661-524(LBI)-0262
Email: info@leadingbiology.com
Complete this form and click send to ask us a question, request a quote or simply say hello.

You have 0 item in your cart

You have 0 item in your inquiry list