> Antigen, Antibodies, ELISA, Western Blot > Primary Antibody > Polyclonal Antibodies > ERP29 Antibody (Center)Brand |
Leading Biology | Catalog Number |
APR14333G |
Product Type |
Polyclonal Antibodies | Field of Research |
|
Product Overview |
We constantly strive to ensure we provide our customers with the best antibodies. As a result of this work we offer this antibody in purified format.
We are in the process of updating our datasheets. If you have any questions regarding this update, please feel free to contact our technical support team.
This product is a high quality ERP29 antibody (Center).
|
||
Molecular Weight |
28993 Da
|
||
Cellular Localization |
Antigen Cellular Localization:
Endoplasmic reticulum lumen. Melanosome. Note=Identified by mass spectrometry in melanosome fractions from stage I to stage IV
|
||
Host |
Rabbit
|
||
Species Reactivity |
Human
|
||
Immunogen |
151-179 aa
|
||
Target |
This ERP29 antibody is generated from rabbits immunized with a KLH conjugated synthetic peptide between 151-179 amino acids from the Central region of human ERP29.
|
||
Isotype |
Rabbit Ig
|
||
Symbol |
C12orf8, ERP28
|
||
GeneID |
|||
UniProt ID |
|||
Function |
Does not seem to be a disulfide isomerase. Plays an important role in the processing of secretory proteins within the endoplasmic reticulum (ER), possibly by participating in the folding of proteins in the ER.
|
||
Summary |
ERP29 shows sequence similarity to the protein disulfide isomerase family. However, it lacks the thioredoxin motif characteristic of this family, suggesting that this protein does not function as a disulfide isomerase. The protein dimerizes and is thought to play a role in the processing of secretory proteins within the ER.
|
||
Form |
Purified polyclonal antibody supplied in PBS with 0.09% (W/V) sodium azide. This antibody is prepared by Saturated Ammonium Sulfate (SAS) precipitation followed by dialysis against PBS. |
||
Storage & Stability |
Store at +4°C short term. For long-term storage, aliquot and store at -20°C or below. Stable for 12 months at -20°C. Avoid repeated freeze-thaw cycles.
|
||
Applications |
WB, IHC-P, FC, E
|
||
Dilution |
WB~~1:1000
IHC-P~~1:50~100
FC~~1:10~50
|
||
Synonyms |
Endoplasmic reticulum resident protein 29, ERp29, Endoplasmic reticulum resident protein 28, ERp28, Endoplasmic reticulum resident protein 31, ERp31, ERP29, C12orf8, ERP28
|
||
Images |
Western blot analysis of ERP29 Antibody (Center) (Cat. APR14333G) in A2058,A375,MCF7,NCI-H460,Y79 cell line lysates (35ug/lane). ERP29 (arrow) was detected using the purified Pab.
Western blot analysis of ERP29 (arrow) using rabbit polyclonal ERP29 Antibody (Center) (Cat. APR14333G). 293 cell lysates (2 ug/lane) either nontransfected (Lane 1) or transiently transfected with the ERP29 gene (Lane 2) .
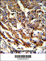
Formalin-fixed and paraffin-embedded human hepatocarcinoma reacted with ERP29 Antibody (Center), which was peroxidase-conjugated to the secondary antibody, followed by DAB staining. This data demonstrates the use of this antibody for immunohistochemistry; clinical relevance has not been evaluated. |
||
Specification |
|||
Quantity |
|
||
| Select | Brand | Catalog No. | Product Name | Pack Size | Type | Field of Research | Specification | Quantity | Price(USD) | |
| 1 | Leading Biology | APR03440G | ITGA11 Antibody (N-term) | 100 μl | Polyclonal Antibodies |
|
$495.00 | Add Ask | ||
| 2 | Leading Biology | APR04537G | CMIP Antibody (C-term) | 100 μl | Polyclonal Antibodies |
|
$495.00 | Add Ask | ||
| 3 | Leading Biology | APR12422G | Human H4 Histamine Receptor (extracellular) Antibody | 50 μl | Polyclonal Antibodies |
|
$695.00 | Add Ask | ||
| 4 | Leading Biology | APR03844G | UBE2W Antibody (C-term) | 100 μl | Polyclonal Antibodies |
|
$495.00 | Add Ask | ||
| 5 | Leading Biology | APR04349G | HECTD2 Antibody (N-term) | 100 μl | Polyclonal Antibodies |
|
$495.00 | Add Ask | ||
| 6 | Leading Biology | APR03502G | IGHG1 Antibody (Center) | 100 μl | Polyclonal Antibodies |
|
$495.00 | Add Ask |
Leading Biology Inc.
2600 Hilltop DR, Building G, B Suite C138
Richmond, CA, 94806
Tel: 1-661-524(LBI)-0262
Email: info@leadingbiology.com
Complete this form and click send to ask us a question, request a quote or simply say hello.

You have 0 item in your cart

You have 0 item in your inquiry list