> Antigen, Antibodies, ELISA, Western Blot > Primary Antibody > Polyclonal Antibodies > PPT1 Antibody (C-term)Brand |
Leading Biology | Catalog Number |
AMR09493G |
Product Type |
Polyclonal Antibodies | Field of Research |
|
Product Overview |
We constantly strive to ensure we provide our customers with the best antibodies. As a result of this work we offer this antibody in purified format.
We are in the process of updating our datasheets. If you have any questions regarding this update, please feel free to contact our technical support team.
This product is a high quality PPT1 antibody (C-term).
|
||
Molecular Weight |
34193 Da
|
||
Cellular Localization |
Antigen Cellular Localization:
Lysosome.
|
||
Host |
Rabbit
|
||
Species Reactivity |
Human
|
||
Immunogen |
269-300 aa
|
||
Target |
This PPT1 antibody is generated from rabbits immunized with a KLH conjugated synthetic peptide between 269-300 amino acids from the C-terminal region of human PPT1.
|
||
Isotype |
Rabbit Ig
|
||
Symbol |
PPT
|
||
GeneID |
|||
UniProt ID |
|||
Function |
Removes thioester-linked fatty acyl groups such as palmitate from modified cysteine residues in proteins or peptides during lysosomal degradation. Prefers acyl chain lengths of 14 to 18 carbons.
|
||
Summary |
Palmitoyl-protein thioesterase-1 (PPT1) is a lysosomal hydrolase that removes long-chain fatty acyl groups from modified cysteine residues in proteins. Mutations in PPT1 have been found to cause the infantile form of neuronal ceroid lipofuscinosis (INCL), and an animal model has been developed.1 The deduced PPT2 protein contains 302 amino acids, including a 27-amino acid leader peptide, a sequence motif characteristic of many thioesterases and lipases, and 5 potential N-linked glycosylation sites.2 PPT2 shares 18% amino acid identity with PPT1. Northern blot analysis detected a predominant 2.0-kb PPT2 transcript in the human tissues examined, with the highest expression in skeletal muscle; variable amounts of 2.8- and 7.0-kb transcripts were also observed. Recombinant PPT2, like PPT1, possesses thioesterase activity and localizes to the lysosome. Since PPT2 could not substitute for PPT1 in correcting the metabolic defect in INCL cells and was unable to remove palmitate groups from palmitoylated proteins that are routinely used as substrates for PPT1it has been postulated that PPT2 possesses a different substrate specificity than PPT1.
|
||
Form |
Purified polyclonal antibody supplied in PBS with 0.09% (W/V) sodium azide. This antibody is prepared by Saturated Ammonium Sulfate (SAS) precipitation followed by dialysis against PBS. |
||
Storage & Stability |
Store at +4°C short term. For long-term storage, aliquot and store at -20°C or below. Stable for 12 months at -20°C. Avoid repeated freeze-thaw cycles.
|
||
Applications |
WB, IHC-P, E
|
||
Dilution |
WB~~1:1000
IHC-P~~1:50~100
|
||
Synonyms |
Palmitoyl-protein thioesterase 1, PPT-1, Palmitoyl-protein hydrolase 1, PPT1, PPT
|
||
Images |
Western blot analysis of PPT1 Antibody (C-term) (Cat. AMR09493G) in 293 cell line lysates (35ug/lane). PPT1 (arrow) was detected using the purified Pab.
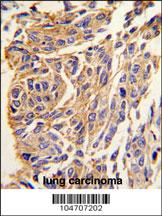
Formalin-fixed and paraffin-embedded human lung carcinoma tissue reacted with PPT1 antibody (C-term) (Cat. AMR09493G), which was peroxidase-conjugated to the secondary antibody, followed by DAB staining. This data demonstrates the use of this antibody for immunohistochemistry; clinical relevance has not been evaluated.
Western blot analysis of PPT1 (arrow) using rabbit polyclonal PPT1 Antibody (A284) (Cat. AMR09493G). 293 cell lysates (2 ug/lane) either nontransfected (Lane 1) or transiently transfected (Lane 2) with the PPT1 gene. |
||
Specification |
|||
Quantity |
|
||
| Select | Brand | Catalog No. | Product Name | Pack Size | Type | Field of Research | Specification | Quantity | Price(USD) | |
| 1 | Leading Biology | APR03440G | ITGA11 Antibody (N-term) | 100 μl | Polyclonal Antibodies |
|
$495.00 | Add Ask | ||
| 2 | Leading Biology | APR04537G | CMIP Antibody (C-term) | 100 μl | Polyclonal Antibodies |
|
$495.00 | Add Ask | ||
| 3 | Leading Biology | APR12422G | Human H4 Histamine Receptor (extracellular) Antibody | 50 μl | Polyclonal Antibodies |
|
$695.00 | Add Ask | ||
| 4 | Leading Biology | APR03844G | UBE2W Antibody (C-term) | 100 μl | Polyclonal Antibodies |
|
$495.00 | Add Ask | ||
| 5 | Leading Biology | APR04349G | HECTD2 Antibody (N-term) | 100 μl | Polyclonal Antibodies |
|
$495.00 | Add Ask | ||
| 6 | Leading Biology | APR03502G | IGHG1 Antibody (Center) | 100 μl | Polyclonal Antibodies |
|
$495.00 | Add Ask |
Leading Biology Inc.
2600 Hilltop DR, Building G, B Suite C138
Richmond, CA, 94806
Tel: 1-661-524(LBI)-0262
Email: info@leadingbiology.com
Complete this form and click send to ask us a question, request a quote or simply say hello.

You have 0 item in your cart

You have 0 item in your inquiry list