> Antigen, Antibodies, ELISA, Western Blot > Primary Antibody > Polyclonal Antibodies > FDPS Antibody (Center)Brand |
Leading Biology | Catalog Number |
APR06992G |
Product Type |
Polyclonal Antibodies | Field of Research |
|
Product Overview |
We constantly strive to ensure we provide our customers with the best antibodies. As a result of this work we offer this antibody in purified format.
We are in the process of updating our datasheets. If you have any questions regarding this update, please feel free to contact our technical support team.
This product is a high quality FDPS antibody (Center).
|
||
Molecular Weight |
48275 Da
|
||
Cellular Localization |
Antigen Cellular Localization:
Cytoplasm.
|
||
Host |
Rabbit
|
||
Species Reactivity |
Human
|
||
Immunogen |
389-419 aa
|
||
Target |
This FDPS antibody is generated from rabbits immunized with a KLH conjugated synthetic peptide between 389-419 amino acids from the center region of human FDPS.
|
||
Isotype |
Rabbit Ig
|
||
Symbol |
FPS, KIAA1293
|
||
GeneID |
|||
UniProt ID |
|||
Function |
Key enzyme in isoprenoid biosynthesis which catalyzes the formation of farnesyl diphosphate (FPP), a precursor for several classes of essential metabolites including sterols, dolichols, carotenoids, and ubiquinones. FPP also serves as substrate for protein farnesylation and geranylgeranylation. Catalyzes the sequential condensation of isopentenyl pyrophosphate with the allylic pyrophosphates, dimethylallyl pyrophosphate, and then with the resultant geranylpyrophosphate to the ultimate product farnesyl pyrophosphate.
|
||
Summary |
The isoprene biosynthetic pathway supply the cell with cholesterol, ubiquinone, and various nonsterol metabolites. The farnesylpyrophosphate synthetase enzyme catalyzes the formation of geranyl and farnesylpyrophosphate from isopentenylpyrophosphate and dimethylallyl pyrophosphate. Analysis of FDPS activity and protein in rat liver, accompanied by immunofluorescence and immunoelectron microscopy studies, demonstrated that FDPS is predominantly localized in peroxisomes.1 Liver tissue from patients with the peroxisomal deficiency diseases Zellweger syndrome and neonatal adrenoleukodystrophy exhibit diminished activities of FDPS and subsequent isoprenoid synthesis.
|
||
Form |
Purified polyclonal antibody supplied in PBS with 0.09% (W/V) sodium azide. This antibody is prepared by Saturated Ammonium Sulfate (SAS) precipitation followed by dialysis against PBS. |
||
Storage & Stability |
Store at +4°C short term. For long-term storage, aliquot and store at -20°C or below. Stable for 12 months at -20°C. Avoid repeated freeze-thaw cycles.
|
||
Applications |
IHC-P, WB, E
|
||
Dilution |
IHC-P~~1:10~50
WB~~1:1000
|
||
Synonyms |
Farnesyl pyrophosphate synthase, FPP synthase, FPS, (2E, 6E)-farnesyl diphosphate synthase, Dimethylallyltranstransferase, Farnesyl diphosphate synthase, Geranyltranstransferase, FDPS, FPS, KIAA1293
|
||
Images |
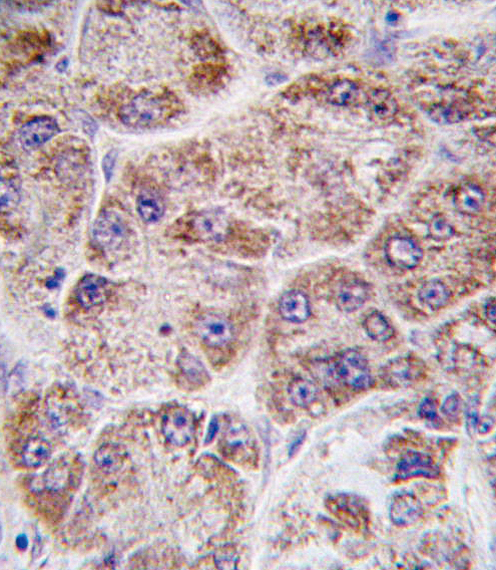
Formalin-fixed and paraffin-embedded human hepatocarcinoma tissue reacted with FDPS antibody (Center )(Cat. APR06992G), which was peroxidase-conjugated to the secondary antibody, followed by DAB staining. This data demonstrates the use of this antibody for immunohistochemistry; clinical relevance has not been evaluated.
The anti-FDPS Pab (Cat. APR06992G) is used in Western blot to detect FDPS in human cytokeratin liver cell lysate. Data is kindly provided by Dr. Masaru Harada from Stanford University (Palo Alto, CA). |
||
Specification |
|||
Quantity |
|
||
| Select | Brand | Catalog No. | Product Name | Pack Size | Type | Field of Research | Specification | Quantity | Price(USD) | |
| 1 | Leading Biology | APR03440G | ITGA11 Antibody (N-term) | 100 μl | Polyclonal Antibodies |
|
$495.00 | Add Ask | ||
| 2 | Leading Biology | APR04537G | CMIP Antibody (C-term) | 100 μl | Polyclonal Antibodies |
|
$495.00 | Add Ask | ||
| 3 | Leading Biology | APR12422G | Human H4 Histamine Receptor (extracellular) Antibody | 50 μl | Polyclonal Antibodies |
|
$695.00 | Add Ask | ||
| 4 | Leading Biology | APR03844G | UBE2W Antibody (C-term) | 100 μl | Polyclonal Antibodies |
|
$495.00 | Add Ask | ||
| 5 | Leading Biology | APR04349G | HECTD2 Antibody (N-term) | 100 μl | Polyclonal Antibodies |
|
$495.00 | Add Ask | ||
| 6 | Leading Biology | APR03502G | IGHG1 Antibody (Center) | 100 μl | Polyclonal Antibodies |
|
$495.00 | Add Ask |
Leading Biology Inc.
2600 Hilltop DR, Building G, B Suite C138
Richmond, CA, 94806
Tel: 1-661-524(LBI)-0262
Email: info@leadingbiology.com
Complete this form and click send to ask us a question, request a quote or simply say hello.

You have 0 item in your cart

You have 0 item in your inquiry list