> Antigen, Antibodies, ELISA, Western Blot > Primary Antibody > Polyclonal Antibodies > GCNT1 Antibody (Center)Brand |
Leading Biology | Catalog Number |
AMM04752G |
Product Type |
Polyclonal Antibodies | Field of Research |
|
Product Overview |
We constantly strive to ensure we provide our customers with the best antibodies. As a result of this work we offer this antibody in purified format.
We are in the process of updating our datasheets. If you have any questions regarding this update, please feel free to contact our technical support team.
This product is a high quality GCNT1 antibody (Center).
|
||
Molecular Weight |
49799 Da
|
||
Cellular Localization |
Antigen Cellular Localization:
Golgi apparatus membrane; Single-pass type II membrane protein. Note=Also detected in the trans-Golgi network
|
||
Host |
Rabbit
|
||
Species Reactivity |
Human, Mouse
|
||
Immunogen |
88-117 aa
|
||
Target |
This GCNT1 antibody is generated from rabbits immunized with a KLH conjugated synthetic peptide between 88-117 amino acids from the Central region of human GCNT1.
|
||
Isotype |
Rabbit Ig
|
||
Symbol |
NACGT2
|
||
GeneID |
|||
UniProt ID |
|||
Function |
Glycosyltransferase that catalyzes the transfer of an N- acetylglucosamine moiety onto mucin-type core 1 O-glycan to form the branched mucin-type core 2 O-glycan. Mucin-type core 2 O- glycans play an important role in leukocyte extravasation as they serve as scaffolds for the display of the selectin ligand sialyl Lewis X by leukocytes.
|
||
Summary |
Glycosylation is one of the most universal but at the same time complex protein modifications. Modification with sugar moeties can be both co- translational and post- translational, occurring in the endoplasmatic reticulum and golgi. Three different forms of glycosylation can be distinguished: N-linked oligosaccharides, O-linked oligosaccharides and glycosyl- phosphatidylinositol (GPI-) anchors. Glycosylation results in thousands of distinct, bioactive glycoproteins resident throughout the cell that strongly determine protein-protein, carbohydrate-protein, membrane, and adhesion properties. Diseases associated with glycosylation defects include Congenital disorders of glycosylation, (CDG), also known as carbohydrate deficient glycoprotein syndromes, and diseases associated with advanced aging.
|
||
Form |
Purified polyclonal antibody supplied in PBS with 0.09% (W/V) sodium azide. This antibody is prepared by Saturated Ammonium Sulfate (SAS) precipitation followed by dialysis against PBS. |
||
Storage & Stability |
Store at +4°C short term. For long-term storage, aliquot and store at -20°C or below. Stable for 12 months at -20°C. Avoid repeated freeze-thaw cycles.
|
||
Applications |
WB, IHC-P, E
|
||
Dilution |
WB~~1:1000
IHC-P~~1:50~100
|
||
Synonyms |
Beta-1, 3-galactosyl-O-glycosyl-glycoprotein beta-1, 6-N-acetylglucosaminyltransferase, Core 2-branching enzyme, Core2-GlcNAc-transferase, C2GNT, Core 2 GNT, GCNT1, NACGT2
|
||
Images |
The anti-GCNT1 Pab (Cat. AMM04752G) is used in Western blot to detect GCNT1 in mouse kidney tissue lysate.
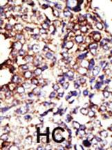
Formalin-fixed and paraffin-embedded human cancer tissue reacted with the primary antibody, which was peroxidase-conjugated to the secondary antibody, followed by DAB staining. This data demonstrates the use of this antibody for immunohistochemistry; clinical relevance has not been evaluated. BC = breast carcinoma; HC = hepatocarcinoma. |
||
Specification |
|||
Quantity |
|
||
| Select | Brand | Catalog No. | Product Name | Pack Size | Type | Field of Research | Specification | Quantity | Price(USD) | |
| 1 | Leading Biology | APR03440G | ITGA11 Antibody (N-term) | 100 μl | Polyclonal Antibodies |
|
$495.00 | Add Ask | ||
| 2 | Leading Biology | APR04537G | CMIP Antibody (C-term) | 100 μl | Polyclonal Antibodies |
|
$495.00 | Add Ask | ||
| 3 | Leading Biology | APR12422G | Human H4 Histamine Receptor (extracellular) Antibody | 50 μl | Polyclonal Antibodies |
|
$695.00 | Add Ask | ||
| 4 | Leading Biology | APR03844G | UBE2W Antibody (C-term) | 100 μl | Polyclonal Antibodies |
|
$495.00 | Add Ask | ||
| 5 | Leading Biology | APR04349G | HECTD2 Antibody (N-term) | 100 μl | Polyclonal Antibodies |
|
$495.00 | Add Ask | ||
| 6 | Leading Biology | APR03502G | IGHG1 Antibody (Center) | 100 μl | Polyclonal Antibodies |
|
$495.00 | Add Ask |
Leading Biology Inc.
2600 Hilltop DR, Building G, B Suite C138
Richmond, CA, 94806
Tel: 1-661-524(LBI)-0262
Email: info@leadingbiology.com
Complete this form and click send to ask us a question, request a quote or simply say hello.

You have 0 item in your cart

You have 0 item in your inquiry list