> Antigen, Antibodies, ELISA, Western Blot > Primary Antibody > Polyclonal Antibodies > PDZK1 Antibody (Center)Brand |
Leading Biology | Catalog Number |
APR09029G |
Product Type |
Polyclonal Antibodies | Field of Research |
|
Product Overview |
We constantly strive to ensure we provide our customers with the best antibodies. As a result of this work we offer this antibody in purified format.
We are in the process of updating our datasheets. If you have any questions regarding this update, please feel free to contact our technical support team.
This product is a high quality PDZK1 antibody (Center).
|
||
Molecular Weight |
57129 Da
|
||
Cellular Localization |
Antigen Cellular Localization:
Cytoplasm. Membrane; Peripheral membrane protein. Cell membrane. Note=Associated with peripheral membranes Localizes to the apical compartment of proximal tubular cells and to sinusoidal liver membranes (By similarity).
|
||
Host |
Rabbit
|
||
Species Reactivity |
Human
|
||
Immunogen |
196-224 aa
|
||
Target |
This PDZK1 antibody is generated from rabbits immunized with a KLH conjugated synthetic peptide between 196-224 amino acids from the Central region of human PDZK1.
|
||
Isotype |
Rabbit Ig
|
||
Symbol |
CAP70, NHERF3, PDZD1
|
||
GeneID |
|||
UniProt ID |
|||
Function |
A scaffold protein that connects plasma membrane proteins and regulatory components, regulating their surface expression in epithelial cells apical domains. May be involved in the coordination of a diverse range of regulatory processes for ion transport and second messenger cascades. In complex with SLC9A3R1, may cluster proteins that are functionally dependent in a mutual fashion and modulate the trafficking and the activity of the associated membrane proteins. May play a role in the cellular mechanisms associated with multidrug resistance through its interaction with ABCC2 and PDZK1IP1. May potentiate the CFTR chloride channel activity. Required for normal cell-surface expression of SCARB1. Plays a role in maintaining normal plasma cholesterol levels via its effects on SCARB1. Plays a role in the normal localization and function of the chloride-anion exchanger SLC26A6 to the plasma membrane in the brush border of the proximal tubule of the kidney. May be involved in the regulation of proximal tubular Na(+)-dependent inorganic phosphate cotransport therefore playing an important role in tubule function (By similarity).
|
||
Summary |
A scaffold protein that connects plasma membrane proteins and regulatory components, regulating their surface expression in epithelial cells apical domains. May be involved in the coordination of a diverse range of regulatory processes for ion transport and second messenger cascades. In complex with SLC9A3R1, may cluster proteins that are functionally dependent in a mutual fashion and modulate the trafficking and the activity of the associated membrane proteins. May play a role in the cellular mechanisms associated with multidrug resistance through its interaction with ABCC2 and PDZK1IP1. May potentiate the CFTR chloride channel activity. May function to connect SCARB1 with the cellular machineries for intracellular cholesterol transport and/or metabolism. May be involved in the regulation of proximal tubular Na(+)-dependent inorganic phosphate cotransport therefore playing an important role in tubule function (By similarity).
|
||
Form |
Purified polyclonal antibody supplied in PBS with 0.09% (W/V) sodium azide. This antibody is purified through a protein A column, followed by peptide affinity purification. |
||
Storage & Stability |
Store at +4°C short term. For long-term storage, aliquot and store at -20°C or below. Stable for 12 months at -20°C. Avoid repeated freeze-thaw cycles.
|
||
Applications |
WB, IHC-P, E
|
||
Dilution |
WB~~1:1000
IHC-P~~1:10~50
|
||
Synonyms |
Na(+)/H(+) exchange regulatory cofactor NHE-RF3, NHERF-3, CFTR-associated protein of 70 kDa, Na(+)/H(+) exchanger regulatory factor 3, Na/Pi cotransporter C-terminal-associated protein 1, NaPi-Cap1, PDZ domain-containing protein 1, Sodium-hydrogen exchanger regulatory factor 3, PDZK1, CAP70, NHERF3, PDZD1
|
||
Images |
Anti-PDZK1 Antibody (Center) at 1:1000 dilution + MCF-7 whole cell lysate Lysates/proteins at 20 μg per lane. Secondary Goat Anti-Rabbit IgG, (H+L), Peroxidase conjugated at 1/10000 dilution. Predicted band size : 57 kDa Blocking/Dilution buffer: 5% NFDM/TBST.
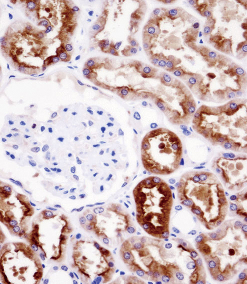
PDZK1 Antibody (Center) (APR09029G)immunohistochemistry analysis in formalin fixed and paraffin embedded human kidney tissue followed by peroxidase conjugation of the secondary antibody and DAB staining.This data demonstrates the use of PDZK1 Antibody (Center) for immunohistochemistry. Clinical relevance has not been evaluated. |
||
Specification |
|||
Quantity |
|
||
| Select | Brand | Catalog No. | Product Name | Pack Size | Type | Field of Research | Specification | Quantity | Price(USD) | |
| 1 | Leading Biology | APR03440G | ITGA11 Antibody (N-term) | 100 μl | Polyclonal Antibodies |
|
$495.00 | Add Ask | ||
| 2 | Leading Biology | APR04537G | CMIP Antibody (C-term) | 100 μl | Polyclonal Antibodies |
|
$495.00 | Add Ask | ||
| 3 | Leading Biology | APR12422G | Human H4 Histamine Receptor (extracellular) Antibody | 50 μl | Polyclonal Antibodies |
|
$695.00 | Add Ask | ||
| 4 | Leading Biology | APR03844G | UBE2W Antibody (C-term) | 100 μl | Polyclonal Antibodies |
|
$495.00 | Add Ask | ||
| 5 | Leading Biology | APR04349G | HECTD2 Antibody (N-term) | 100 μl | Polyclonal Antibodies |
|
$495.00 | Add Ask | ||
| 6 | Leading Biology | APR03502G | IGHG1 Antibody (Center) | 100 μl | Polyclonal Antibodies |
|
$495.00 | Add Ask |
Leading Biology Inc.
2600 Hilltop DR, Building G, B Suite C138
Richmond, CA, 94806
Tel: 1-661-524(LBI)-0262
Email: info@leadingbiology.com
Complete this form and click send to ask us a question, request a quote or simply say hello.

You have 0 item in your cart

You have 0 item in your inquiry list