> Antigen, Antibodies, ELISA, Western Blot > Primary Antibody > Polyclonal Antibodies > ALDH5A1 Antibody (N-term)Brand |
Leading Biology | Catalog Number |
APG01779G |
Product Type |
Polyclonal Antibodies | Field of Research |
|
Product Overview |
We constantly strive to ensure we provide our customers with the best antibodies. As a result of this work we offer this antibody in purified format.
We are in the process of updating our datasheets. If you have any questions regarding this update, please feel free to contact our technical support team.
This product is a high quality ALDH5A1 antibody (N-term).
|
||
Molecular Weight |
57215 Da
|
||
Cellular Localization |
Antigen Cellular Localization:
Mitochondrion.
|
||
Host |
Rabbit
|
||
Species Reactivity |
Human
|
||
Immunogen |
128-157 aa
|
||
Target |
This ALDH5A1 antibody is generated from rabbits immunized with a KLH conjugated synthetic peptide between 128-157 amino acids from the N-terminal region of human ALDH5A1.
|
||
Isotype |
Rabbit Ig
|
||
Symbol |
SSADH
|
||
GeneID |
|||
UniProt ID |
|||
Function |
Catalyzes one step in the degradation of the inhibitory neurotransmitter gamma-aminobutyric acid (GABA).
|
||
Summary |
ALDH5A1 belongs to the aldehyde dehydrogenase family of proteins. This protein functions as a mitochondrial NAD(+)-dependent succinic semialdehyde dehydrogenase. A deficiency of this enzyme, known as 4-hydroxybutyricaciduria, is a rare inborn error in the metabolism of the neurotransmitter 4-aminobutyric acid (GABA). In response to the defect, physiologic fluids from patients accumulate GHB, a compound with numerous neuromodulatory properties.
|
||
Form |
Purified polyclonal antibody supplied in PBS with 0.09% (W/V) sodium azide. This antibody is purified through a protein A column, followed by peptide affinity purification. |
||
Storage & Stability |
Store at +4°C short term. For long-term storage, aliquot and store at -20°C or below. Stable for 12 months at -20°C. Avoid repeated freeze-thaw cycles.
|
||
Applications |
WB, IHC-P, FC, E
|
||
Dilution |
WB~~1:1000
IHC-P~~1:10~50
FC~~1:10~50
|
||
Synonyms |
Succinate-semialdehyde dehydrogenase, mitochondrial, Aldehyde dehydrogenase family 5 member A1, NAD(+)-dependent succinic semialdehyde dehydrogenase, ALDH5A1, SSADH
|
||
Images |
Anti-ALDH5A1 Antibody (N-term) at 1:1000 dilution + human liver lysate Lysates/proteins at 20 μg per lane. Secondary Goat Anti-Rabbit IgG, (H+L), Peroxidase conjugated at 1/10000 dilution. Predicted band size : 57 kDa Blocking/Dilution buffer: 5% NFDM/TBST.
Western blot analysis of ALDH5A1 (arrow) using rabbit polyclonal ALDH5A1 Antibody (N-term) (Cat. APG01779G). 293 cell lysates (2 ug/lane) either nontransfected (Lane 1) or transiently transfected with the ALDH5A1 gene (Lane 2) (Origene Technologies).
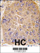
Formalin-fixed and paraffin-embedded human hepatocarcinoma tissue reacted with ALDH5A1 antibody (N-term), which was peroxidase-conjugated to the secondary antibody, followed by DAB staining. This data demonstrates the use of this antibody for immunohistochemistry; clinical relevance has not been evaluated. |
||
Specification |
|||
Quantity |
|
||
| Select | Brand | Catalog No. | Product Name | Pack Size | Type | Field of Research | Specification | Quantity | Price(USD) | |
| 1 | Leading Biology | APR03440G | ITGA11 Antibody (N-term) | 100 μl | Polyclonal Antibodies |
|
$495.00 | Add Ask | ||
| 2 | Leading Biology | APR04537G | CMIP Antibody (C-term) | 100 μl | Polyclonal Antibodies |
|
$495.00 | Add Ask | ||
| 3 | Leading Biology | APR12422G | Human H4 Histamine Receptor (extracellular) Antibody | 50 μl | Polyclonal Antibodies |
|
$695.00 | Add Ask | ||
| 4 | Leading Biology | APR03844G | UBE2W Antibody (C-term) | 100 μl | Polyclonal Antibodies |
|
$495.00 | Add Ask | ||
| 5 | Leading Biology | APR04349G | HECTD2 Antibody (N-term) | 100 μl | Polyclonal Antibodies |
|
$495.00 | Add Ask | ||
| 6 | Leading Biology | APR03502G | IGHG1 Antibody (Center) | 100 μl | Polyclonal Antibodies |
|
$495.00 | Add Ask |
Leading Biology Inc.
2600 Hilltop DR, Building G, B Suite C138
Richmond, CA, 94806
Tel: 1-661-524(LBI)-0262
Email: info@leadingbiology.com
Complete this form and click send to ask us a question, request a quote or simply say hello.

You have 0 item in your cart

You have 0 item in your inquiry list