> Antigen, Antibodies, ELISA, Western Blot > Primary Antibody > Polyclonal Antibodies > RGS9 Antibody (N-term)Brand |
Leading Biology | Catalog Number |
AMM07602G |
Product Type |
Polyclonal Antibodies | Field of Research |
|
Product Overview |
We constantly strive to ensure we provide our customers with the best antibodies. As a result of this work we offer this antibody in purified format.
We are in the process of updating our datasheets. If you have any questions regarding this update, please feel free to contact our technical support team.
This product is a high quality RGS9 antibody (N-term).
|
||
Molecular Weight |
76966 Da
|
||
Cellular Localization |
Antigen Cellular Localization:
Isoform 3: Membrane; Peripheral membrane protein. Note=Isoform 3 is targeted to the membrane via its interaction with RGS9BP.
|
||
Host |
Rabbit
|
||
Species Reactivity |
Human
|
||
Immunogen |
149-178 aa
|
||
Target |
This RGS9 antibody is generated from rabbits immunized with a KLH conjugated synthetic peptide between 149-178 amino acids from the N-terminal region of human RGS9.
|
||
Isotype |
Rabbit Ig
|
||
GeneID |
|||
UniProt ID |
|||
Function |
Inhibits signal transduction by increasing the GTPase activity of G protein alpha subunits thereby driving them into their inactive GDP-bound form. Binds to G(t)-alpha. Involved in phototransduction; key element in the recovery phase of visual transduction (By similarity).
|
||
Summary |
This gene encodes a member of the RGS family of GTPaseactivating proteins that function in various signaling pathways byaccelerating the deactivation of G proteins. This protein isanchored to photoreceptor membranes in retinal cells anddeactivates G proteins in the rod and cone phototransductioncascades. Mutations in this gene result in bradyopsia. Multipletranscript variants encoding different isoforms have been found forthis gene.
|
||
Form |
Purified polyclonal antibody supplied in PBS with 0.09% (W/V) sodium azide. This antibody is purified through a protein A column, followed by peptide affinity purification. |
||
Storage & Stability |
Store at +4°C short term. For long-term storage, aliquot and store at -20°C or below. Stable for 12 months at -20°C. Avoid repeated freeze-thaw cycles.
|
||
Applications |
WB, IHC-P, E
|
||
Dilution |
WB~~1:1000
IHC-P~~1:10~50
|
||
Synonyms |
Regulator of G-protein signaling 9, RGS9, RGS9
|
||
Images |
RGS9 Antibody (N-term) (Cat. AMM07602G) western blot analysis in NCI-H460 cell line lysates (35ug/lane).This demonstrates the RGS9 antibody detected the RGS9 protein (arrow).
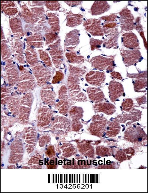
RGS9 Antibody (N-term) (AMM07602G)immunohistochemistry analysis in formalin fixed and paraffin embedded human skeletal muscle followed by peroxidase conjugation of the secondary antibody and DAB staining.This data demonstrates the use of RGS9 Antibody (N-term) for immunohistochemistry. Clinical relevance has not been evaluated. |
||
Specification |
|||
Quantity |
|
||
| Select | Brand | Catalog No. | Product Name | Pack Size | Type | Field of Research | Specification | Quantity | Price(USD) | |
| 1 | Leading Biology | APR03440G | ITGA11 Antibody (N-term) | 100 μl | Polyclonal Antibodies |
|
$495.00 | Add Ask | ||
| 2 | Leading Biology | APR04537G | CMIP Antibody (C-term) | 100 μl | Polyclonal Antibodies |
|
$495.00 | Add Ask | ||
| 3 | Leading Biology | APR12422G | Human H4 Histamine Receptor (extracellular) Antibody | 50 μl | Polyclonal Antibodies |
|
$695.00 | Add Ask | ||
| 4 | Leading Biology | APR03844G | UBE2W Antibody (C-term) | 100 μl | Polyclonal Antibodies |
|
$495.00 | Add Ask | ||
| 5 | Leading Biology | APR04349G | HECTD2 Antibody (N-term) | 100 μl | Polyclonal Antibodies |
|
$495.00 | Add Ask | ||
| 6 | Leading Biology | APR03502G | IGHG1 Antibody (Center) | 100 μl | Polyclonal Antibodies |
|
$495.00 | Add Ask |
Leading Biology Inc.
2600 Hilltop DR, Building G, B Suite C138
Richmond, CA, 94806
Tel: 1-661-524(LBI)-0262
Email: info@leadingbiology.com
Complete this form and click send to ask us a question, request a quote or simply say hello.

You have 0 item in your cart

You have 0 item in your inquiry list