> Antigen, Antibodies, ELISA, Western Blot > Primary Antibody > Polyclonal Antibodies > CRYAB Antibody (Center)Brand |
Leading Biology | Catalog Number |
APG02806G |
Product Type |
Polyclonal Antibodies | Field of Research |
|
Product Overview |
We constantly strive to ensure we provide our customers with the best antibodies. As a result of this work we offer this antibody in purified format.
We are in the process of updating our datasheets. If you have any questions regarding this update, please feel free to contact our technical support team.
This product is a high quality CRYAB antibody (Center).
|
||
Molecular Weight |
20159 Da
|
||
Cellular Localization |
Antigen Cellular Localization:
Cytoplasm. Nucleus. Note=Translocates to the nucleus during heat shock and resides in sub-nuclear structures known as SC35 speckles or nuclear splicing speckles
|
||
Host |
Rabbit
|
||
Species Reactivity |
Human, Mouse
|
||
Immunogen |
84-112 aa
|
||
Target |
This CRYAB antibody is generated from rabbits immunized with a KLH conjugated synthetic peptide between 84-112 amino acids from the Central region of human CRYAB.
|
||
Isotype |
Rabbit Ig
|
||
Symbol |
CRYA2
|
||
GeneID |
|||
UniProt ID |
|||
Function |
May contribute to the transparency and refractive index of the lens. Has chaperone-like activity, preventing aggregation of various proteins under a wide range of stress conditions.
|
||
Summary |
Crystallins are separated into two classes:taxon-specific, or enzyme, and ubiquitous. The latter classconstitutes the major proteins of vertebrate eye lens and maintainsthe transparency and refractive index of the lens. Since lenscentral fiber cells lose their nuclei during development, thesecrystallins are made and then retained throughout life, making themextremely stable proteins. Mammalian lens crystallins are dividedinto alpha, beta, and gamma families; beta and gamma crystallinsare also considered as a superfamily. Alpha and beta families arefurther divided into acidic and basic groups. Seven protein regionsexist in crystallins: four homologous motifs, a connecting peptide,and N- and C-terminal extensions. Alpha crystallins are composed oftwo gene products: alpha-A and alpha-B, for acidic and basic,respectively. Alpha crystallins can be induced by heat shock andare members of the small heat shock protein (sHSP also known as theHSP20) family. They act as molecular chaperones although they donot renature proteins and release them in the fashion of a truechaperone; instead they hold them in large soluble aggregates.Post-translational modifications decrease the ability to chaperone.These heterogeneous aggregates consist of 30-40 subunits; thealpha-A and alpha-B subunits have a 3:1 ratio, respectively. Twoadditional functions of alpha crystallins are an autokinaseactivity and participation in the intracellular architecture.Alpha-A and alpha-B gene products are differentially expressed;alpha-A is preferentially restricted to the lens and alpha-B isexpressed widely in many tissues and organs. Elevated expression ofalpha-B crystallin occurs in many neurological diseases; a missensemutation cosegregated in a family with a desmin-related myopathy.
|
||
Form |
Purified polyclonal antibody supplied in PBS with 0.09% (W/V) sodium azide. This antibody is purified through a protein A column, followed by peptide affinity purification. |
||
Storage & Stability |
Store at +4°C short term. For long-term storage, aliquot and store at -20°C or below. Stable for 12 months at -20°C. Avoid repeated freeze-thaw cycles.
|
||
Applications |
WB, IHC-P, E
|
||
Dilution |
WB~~1:1000
IHC-P~~1:10~50
|
||
Synonyms |
Alpha-crystallin B chain, Alpha(B)-crystallin, Heat shock protein beta-5, HspB5, Renal carcinoma antigen NY-REN-27, Rosenthal fiber component, CRYAB, CRYA2
|
||
Images |
Western blot analysis of CRYAB (arrow) using rabbit polyclonal CRYAB Antibody (Center) (Cat. APG02806G). 293 cell lysates (2 ug/lane) either nontransfected (Lane 1) or transiently transfected (Lane 2) with the CRYAB gene.
CRYAB Antibody (Center) (Cat. APG02806G) western blot analysis in mouse lung tissue lysates (35ug/lane).This demonstrates the CRYAB antibody detected the CRYAB protein (arrow).
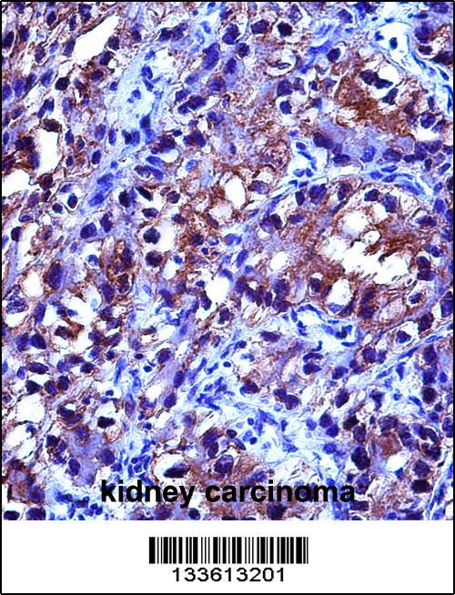
CRYA Antibody (Center) (Cat. APG02806G)immunohistochemistry analysis in formalin fixed and paraffin embedded human kidney carcinoma followed by peroxidase conjugation of the secondary antibody and DAB staining.This data demonstrates the use of CRYA Antibody (Center) for immunohistochemistry. Clinical relevance has not been evaluated. |
||
Specification |
|||
Quantity |
|
||
| Select | Brand | Catalog No. | Product Name | Pack Size | Type | Field of Research | Specification | Quantity | Price(USD) | |
| 1 | Leading Biology | APR03440G | ITGA11 Antibody (N-term) | 100 μl | Polyclonal Antibodies |
|
$495.00 | Add Ask | ||
| 2 | Leading Biology | APR04537G | CMIP Antibody (C-term) | 100 μl | Polyclonal Antibodies |
|
$495.00 | Add Ask | ||
| 3 | Leading Biology | APR12422G | Human H4 Histamine Receptor (extracellular) Antibody | 50 μl | Polyclonal Antibodies |
|
$695.00 | Add Ask | ||
| 4 | Leading Biology | APR03844G | UBE2W Antibody (C-term) | 100 μl | Polyclonal Antibodies |
|
$495.00 | Add Ask | ||
| 5 | Leading Biology | APR04349G | HECTD2 Antibody (N-term) | 100 μl | Polyclonal Antibodies |
|
$495.00 | Add Ask | ||
| 6 | Leading Biology | APR03502G | IGHG1 Antibody (Center) | 100 μl | Polyclonal Antibodies |
|
$495.00 | Add Ask |
Leading Biology Inc.
2600 Hilltop DR, Building G, B Suite C138
Richmond, CA, 94806
Tel: 1-661-524(LBI)-0262
Email: info@leadingbiology.com
Complete this form and click send to ask us a question, request a quote or simply say hello.

You have 0 item in your cart

You have 0 item in your inquiry list