> Antigen, Antibodies, ELISA, Western Blot > Primary Antibody > Polyclonal Antibodies > SFTPC Antibody (C-term)Brand |
Leading Biology | Catalog Number |
AMR09889G |
Product Type |
Polyclonal Antibodies | Field of Research |
|
Product Overview |
We constantly strive to ensure we provide our customers with the best antibodies. As a result of this work we offer this antibody in purified format.
We are in the process of updating our datasheets. If you have any questions regarding this update, please feel free to contact our technical support team.
This product is a high quality SFTPC antibody (C-term).
|
||
Molecular Weight |
21053 Da
|
||
Cellular Localization |
Antigen Cellular Localization:
Secreted, extracellular space, surface film.
|
||
Host |
Rabbit
|
||
Species Reactivity |
Human
|
||
Immunogen |
144-173 aa
|
||
Target |
This SFTPC antibody is generated from rabbits immunized with a KLH conjugated synthetic peptide between 144-173 amino acids from the C-terminal region of human SFTPC.
|
||
Isotype |
Rabbit Ig
|
||
Symbol |
SFTP2
|
||
GeneID |
|||
UniProt ID |
|||
Function |
Pulmonary surfactant associated proteins promote alveolar stability by lowering the surface tension at the air- liquid interface in the peripheral air spaces.
|
||
Summary |
This gene encodes the pulmonary-associated surfactantprotein C (SPC), an extremely hydrophobic surfactant proteinessential for lung function and homeostasis after birth. Pulmonarysurfactant is a surface-active lipoprotein complex composed of 90%lipids and 10% proteins which include plasma proteins andapolipoproteins SPA, SPB, SPC and SPD. The surfactant is secretedby the alveolar cells of the lung and maintains the stability ofpulmonary tissue by reducing the surface tension of fluids thatcoat the lung. Multiple mutations in this gene have beenidentified, which cause pulmonary surfactant metabolism dysfunctiontype 2, also called pulmonary alveolar proteinosis due tosurfactant protein C deficiency, and are associated withinterstitial lung disease in older infants, children, and adults.Alternatively spliced transcript variants encoding differentprotein isoforms have been identified.
|
||
Form |
Purified polyclonal antibody supplied in PBS with 0.09% (W/V) sodium azide. This antibody is purified through a protein A column, followed by peptide affinity purification. |
||
Storage & Stability |
Store at +4°C short term. For long-term storage, aliquot and store at -20°C or below. Stable for 12 months at -20°C. Avoid repeated freeze-thaw cycles.
|
||
Applications |
IHC-P, WB, IF, E
|
||
Dilution |
IHC-P~~1:25
WB~~1:1000
IF~~1:10~50
|
||
Synonyms |
Pulmonary surfactant-associated protein C, SP-C, Pulmonary surfactant-associated proteolipid SPL(Val), SP5, SFTPC, SFTP2
|
||
Images |
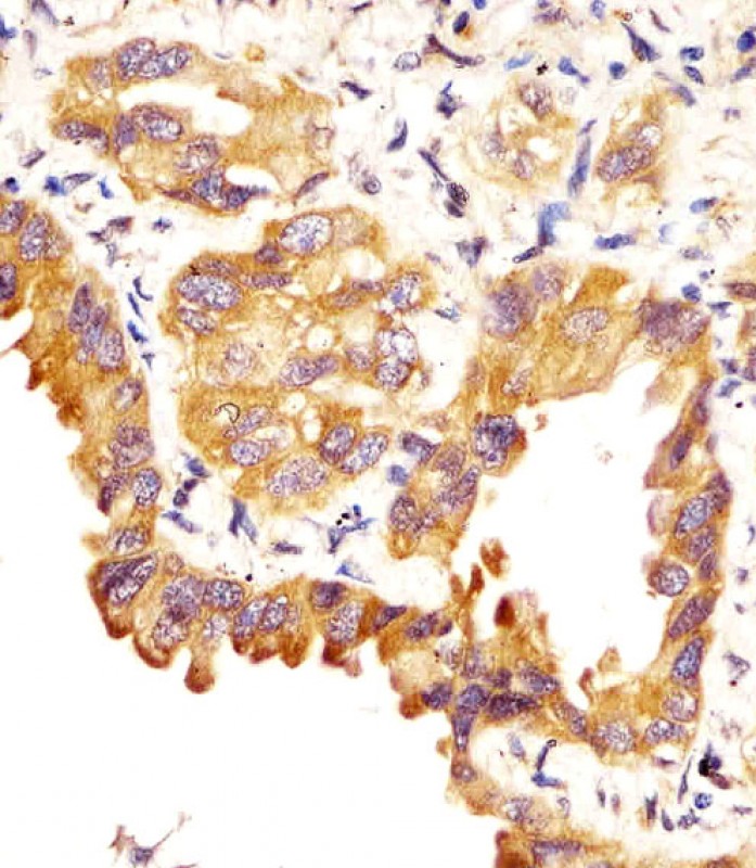
AMR09889G staining SFTPC in human lung adenocarcinoma sections by Immunohistochemistry (IHC-P - paraformaldehyde-fixed, paraffin-embedded sections). Tissue was fixed with formaldehyde and blocked with 3% BSA for 0. 5 hour at room temperature; antigen retrieval was by heat mediation with a citrate buffer (pH6). Samples were incubated with primary antibody (1/25) for 1 hours at 37°C. A undiluted biotinylated goat polyvalent antibody was used as the secondary antibody.
AMR09889G staining SFTPC in human lung adenocarcinoma sections by Immunohistochemistry (IHC-P - paraformaldehyde-fixed, paraffin-embedded sections). Tissue was fixed with formaldehyde and blocked with 3% BSA for 0. 5 hour at room temperature; antigen retrieval was by heat mediation with a citrate buffer (pH6). Samples were incubated with primary antibody (1/25) for 1 hours at 37°C. A undiluted biotinylated goat polyvalent antibody was used as the secondary antibody.
All lanes : Anti-SFTPC Antibody (C-term) at 1:2000 dilution Lane 1: human lung lysates Lane 2: K562 whole cell lysates Lysates/proteins at 20 μg per lane. Secondary Goat Anti-Rabbit IgG, (H+L), Peroxidase conjugated at 1/10000 dilution. Predicted band size : 21 kDa Blocking/Dilution buffer: 5% NFDM/TBST. |
||
Specification |
|||
Quantity |
|
||
| Select | Brand | Catalog No. | Product Name | Pack Size | Type | Field of Research | Specification | Quantity | Price(USD) | |
| 1 | Leading Biology | APR03440G | ITGA11 Antibody (N-term) | 100 μl | Polyclonal Antibodies |
|
$495.00 | Add Ask | ||
| 2 | Leading Biology | APR04537G | CMIP Antibody (C-term) | 100 μl | Polyclonal Antibodies |
|
$495.00 | Add Ask | ||
| 3 | Leading Biology | APR12422G | Human H4 Histamine Receptor (extracellular) Antibody | 50 μl | Polyclonal Antibodies |
|
$695.00 | Add Ask | ||
| 4 | Leading Biology | APR03844G | UBE2W Antibody (C-term) | 100 μl | Polyclonal Antibodies |
|
$495.00 | Add Ask | ||
| 5 | Leading Biology | APR04349G | HECTD2 Antibody (N-term) | 100 μl | Polyclonal Antibodies |
|
$495.00 | Add Ask | ||
| 6 | Leading Biology | APR03502G | IGHG1 Antibody (Center) | 100 μl | Polyclonal Antibodies |
|
$495.00 | Add Ask |
Leading Biology Inc.
2600 Hilltop DR, Building G, B Suite C138
Richmond, CA, 94806
Tel: 1-661-524(LBI)-0262
Email: info@leadingbiology.com
Complete this form and click send to ask us a question, request a quote or simply say hello.

You have 0 item in your cart

You have 0 item in your inquiry list