> Antigen, Antibodies, ELISA, Western Blot > Primary Antibody > Polyclonal Antibodies > Bid Antibody (BH3 Domain Specific)Brand |
Leading Biology | Catalog Number |
APR07079G |
Product Type |
Polyclonal Antibodies | Field of Research |
|
Product Overview |
We constantly strive to ensure we provide our customers with the best antibodies. As a result of this work we offer this antibody in purified format.
We are in the process of updating our datasheets. If you have any questions regarding this update, please feel free to contact our technical support team.
This product is a high quality Bid antibody (BH3 Domain Specific).
|
||
Molecular Weight |
21995 Da
|
||
Cellular Localization |
Antigen Cellular Localization:
Cytoplasm. Mitochondrion membrane. Note=When uncleaved, it is predominantly cytoplasmic. BH3-interacting domain death agonist p13: Mitochondrion membrane. Note=Associated with the mitochondrial membrane. Isoform 3: Cytoplasm.
|
||
Host |
Rabbit
|
||
Species Reactivity |
Human, Mouse
|
||
Immunogen |
68-103 aa
|
||
Target |
This Bid antibody is generated from rabbits immunized with a KLH conjugated synthetic peptide between 68-103 amino acids from human Bid.
|
||
Isotype |
Rabbit Ig
|
||
GeneID |
|||
UniProt ID |
|||
Function |
The major proteolytic product p15 BID allows the release of cytochrome c (By similarity). Isoform 1, isoform 2 and isoform 4 induce ICE-like proteases and apoptosis. Isoform 3 does not induce apoptosis. Counters the protective effect of Bcl-2.
|
||
Summary |
Bid is a death agonist that heterodimerizes with either agonist BAX or antagonist BCL2. Bid is a member of the BCL-2 family of cell death regulators. It is a mediator of mitochondrial damage induced by caspase-8 (CASP8); CASP8 cleaves this encoded protein, and the COOH-terminal part translocates to mitochondria where it triggers cytochrome c release.
|
||
Form |
Purified polyclonal antibody supplied in PBS with 0.09% (W/V) sodium azide. This antibody is prepared by Saturated Ammonium Sulfate (SAS) precipitation followed by dialysis against PBS. |
||
Storage & Stability |
Store at +4°C short term. For long-term storage, aliquot and store at -20°C or below. Stable for 12 months at -20°C. Avoid repeated freeze-thaw cycles.
|
||
Applications |
WB, IHC-P, E
|
||
Dilution |
WB~~1:1000
IHC-P~~1:50~100
|
||
Synonyms |
BH3-interacting domain death agonist, p22 BID, BID, BH3-interacting domain death agonist p15, p15 BID, BH3-interacting domain death agonist p13, p13 BID, BH3-interacting domain death agonist p11, p11 BID, BID
|
||
Images |
The anti-Bid BH3 domain Pab (Cat. APR07079G) is used in Western blot to detect Bid BH3 in HL-60 cell lysate.
Western blot analysis of anti-hBid-BH3 Pab (Cat. APR07079G) in mouse lung tissue lysates (35ug/lane). hBid-BH3(arrow) was detected using the purified Pab.
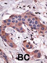
Formalin-fixed and paraffin-embedded human cancer tissue reacted with the primary antibody, which was peroxidase-conjugated to the secondary antibody, followed by DAB staining. This data demonstrates the use of this antibody for immunohistochemistry; clinical relevance has not been evaluated. BC = breast carcinoma; HC = hepatocarcinoma. |
||
Specification |
|||
Quantity |
|
||
| Select | Brand | Catalog No. | Product Name | Pack Size | Type | Field of Research | Specification | Quantity | Price(USD) | |
| 1 | Leading Biology | APR03440G | ITGA11 Antibody (N-term) | 100 μl | Polyclonal Antibodies |
|
$495.00 | Add Ask | ||
| 2 | Leading Biology | APR04537G | CMIP Antibody (C-term) | 100 μl | Polyclonal Antibodies |
|
$495.00 | Add Ask | ||
| 3 | Leading Biology | APR12422G | Human H4 Histamine Receptor (extracellular) Antibody | 50 μl | Polyclonal Antibodies |
|
$695.00 | Add Ask | ||
| 4 | Leading Biology | APR03844G | UBE2W Antibody (C-term) | 100 μl | Polyclonal Antibodies |
|
$495.00 | Add Ask | ||
| 5 | Leading Biology | APR04349G | HECTD2 Antibody (N-term) | 100 μl | Polyclonal Antibodies |
|
$495.00 | Add Ask | ||
| 6 | Leading Biology | APR03502G | IGHG1 Antibody (Center) | 100 μl | Polyclonal Antibodies |
|
$495.00 | Add Ask |
Leading Biology Inc.
2600 Hilltop DR, Building G, B Suite C138
Richmond, CA, 94806
Tel: 1-661-524(LBI)-0262
Email: info@leadingbiology.com
Complete this form and click send to ask us a question, request a quote or simply say hello.

You have 0 item in your cart

You have 0 item in your inquiry list