> Antigen, Antibodies, ELISA, Western Blot > Primary Antibody > Polyclonal Antibodies > SUMO1 Antibody (N-term)Brand |
Leading Biology | Catalog Number |
APR06999G |
Product Type |
Polyclonal Antibodies | Field of Research |
|
Product Overview |
We constantly strive to ensure we provide our customers with the best antibodies. As a result of this work we offer this antibody in purified format.
We are in the process of updating our datasheets. If you have any questions regarding this update, please feel free to contact our technical support team.
This product is a high quality SUMO1 antibody (N-term).
|
||
Molecular Weight |
11557 Da
|
||
Cellular Localization |
Antigen Cellular Localization:
Nucleus membrane. Nucleus speckle. Cytoplasm. Nucleus, PML body. Note=Recruited by BCL11A into the nuclear body.
|
||
Host |
Rabbit
|
||
Species Reactivity |
Human
|
||
Immunogen |
1-30 aa
|
||
Target |
This SUMO1 antibody is generated from rabbits immunized with a KLH conjugated synthetic peptide between 1-30 amino acids from the N-terminal region of human SUMO1.
|
||
Isotype |
Rabbit Ig
|
||
Symbol |
SMT3C, SMT3H3, UBL1
|
||
GeneID |
|||
UniProt ID |
|||
Function |
Ubiquitin-like protein that can be covalently attached to proteins as a monomer or a lysine-linked polymer. Covalent attachment via an isopeptide bond to its substrates requires prior activation by the E1 complex SAE1-SAE2 and linkage to the E2 enzyme UBE2I, and can be promoted by E3 ligases such as PIAS1-4, RANBP2 or CBX4. This post-translational modification on lysine residues of proteins plays a crucial role in a number of cellular processes such as nuclear transport, DNA replication and repair, mitosis and signal transduction. Involved for instance in targeting RANGAP1 to the nuclear pore complex protein RANBP2. Polymeric SUMO1 chains are also susceptible to polyubiquitination which functions as a signal for proteasomal degradation of modified proteins. May also regulate a network of genes involved in palate development.
|
||
Summary |
Covalent modification of target lysines by SUMO (small ubiquitin-like modifier) modulates processes such as protein localization, transcription, nuclear transport, mitosis, DNA replication and repair, signal transduction, and viral reproduction. SUMO does not seem to be involved in protein degradation and may in fact function as an antagonist of ubiquitin in the degradation process. The SUMO family consists of SUMO1 and closely related homologs SUMO2, SUMO3, and SUMO4. Sumoylation has been shown to regulate a wide range of proteins, including MDM2, PIAS, PML, RanGAP1, RanBP2, p53, p73, HIPK2, TEL, c-Jun, Fas, Daxx, TNFRI, Topo-I, Topo-II, PARK2, WRN, Sp100, IkB-alpha, Androgen receptor (AR), GLUT1/4, CaMK, DNMT3B, TDG, HIF1A, CHD3, EXOSC9, RAD51, and viral targets such as CMV-IE1/2, EBV-BZLF1, and HPV/BPV-E1.
|
||
Form |
Purified polyclonal antibody supplied in PBS with 0.09% (W/V) sodium azide. This antibody is prepared by Saturated Ammonium Sulfate (SAS) precipitation followed by dialysis against PBS. |
||
Storage & Stability |
Store at +4°C short term. For long-term storage, aliquot and store at -20°C or below. Stable for 12 months at -20°C. Avoid repeated freeze-thaw cycles.
|
||
Applications |
WB, IHC-P, FC, IF, E
|
||
Dilution |
WB~~1:1000
IHC-P~~1:50~100
FC~~1:10~50
IF~~1:10~50
|
||
Synonyms |
Small ubiquitin-related modifier 1, SUMO-1, GAP-modifying protein 1, GMP1, SMT3 homolog 3, Sentrin, Ubiquitin-homology domain protein PIC1, Ubiquitin-like protein SMT3C, Smt3C, Ubiquitin-like protein UBL1, SUMO1, SMT3C, SMT3H3, UBL1
|
||
Images |
The anti-SUMO1 polyclonal antibody (Cat. APR06999G) is used in Western blot to detect SUMO1 in HL-60 cell lysate.
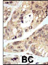
Formalin-fixed and paraffin-embedded human cancer tissue reacted with the primary antibody, which was peroxidase-conjugated to the secondary antibody, followed by DAB staining. This data demonstrates the use of this antibody for immunohistochemistry; clinical relevance has not been evaluated. BC = breast carcinoma; HC = hepatocarcinoma.
SUMO1 Antibody (N-term) (Cat. APR06999G) flow cytometric analysis of Hela cells (right histogram) compared to a negative control cell (left histogram).FITC-conjugated goat-anti-rabbit secondary antibodies were used for the analysis. |
||
Specification |
|||
Quantity |
|
||
| Select | Brand | Catalog No. | Product Name | Pack Size | Type | Field of Research | Specification | Quantity | Price(USD) | |
| 1 | Leading Biology | APR03440G | ITGA11 Antibody (N-term) | 100 μl | Polyclonal Antibodies |
|
$495.00 | Add Ask | ||
| 2 | Leading Biology | APR04537G | CMIP Antibody (C-term) | 100 μl | Polyclonal Antibodies |
|
$495.00 | Add Ask | ||
| 3 | Leading Biology | APR12422G | Human H4 Histamine Receptor (extracellular) Antibody | 50 μl | Polyclonal Antibodies |
|
$695.00 | Add Ask | ||
| 4 | Leading Biology | APR03844G | UBE2W Antibody (C-term) | 100 μl | Polyclonal Antibodies |
|
$495.00 | Add Ask | ||
| 5 | Leading Biology | APR04349G | HECTD2 Antibody (N-term) | 100 μl | Polyclonal Antibodies |
|
$495.00 | Add Ask | ||
| 6 | Leading Biology | APR03502G | IGHG1 Antibody (Center) | 100 μl | Polyclonal Antibodies |
|
$495.00 | Add Ask |
Leading Biology Inc.
2600 Hilltop DR, Building G, B Suite C138
Richmond, CA, 94806
Tel: 1-661-524(LBI)-0262
Email: info@leadingbiology.com
Complete this form and click send to ask us a question, request a quote or simply say hello.

You have 0 item in your cart

You have 0 item in your inquiry list