> Antigen, Antibodies, ELISA, Western Blot > Primary Antibody > Polyclonal Antibodies > DFNB31 Antibody (Center)Brand |
Leading Biology | Catalog Number |
APR11733G |
Product Type |
Polyclonal Antibodies | Field of Research |
|
Product Overview |
We constantly strive to ensure we provide our customers with the best antibodies. As a result of this work we offer this antibody in purified format.
We are in the process of updating our datasheets. If you have any questions regarding this update, please feel free to contact our technical support team.
This product is a high quality DFNB31 antibody (Center).
|
||
Molecular Weight |
96586 Da
|
||
Cellular Localization |
Antigen Cellular Localization:
Cytoplasm. Cell projection, stereocilium. Cell projection, growth cone. Note=Detected at the level of stereocilia in inner outer hair cells of the cochlea and vestibule. Colocalizes with the growing ends of actin filaments (By similarity). Colocalizes with MPP1 in the retina, at the outer limiting membrane (OLM), outer plexifirm layer (OPL), basal bodies and at the connecting cilium (CC). {ECO:0000250, ECO:0000269|PubMed:17584769}
|
||
Host |
Rabbit
|
||
Species Reactivity |
Human
|
||
Immunogen |
378-406 aa
|
||
Target |
This DFNB31 antibody is generated from rabbits immunized with a KLH conjugated synthetic peptide between 378-406 amino acids from the Central region of human DFNB31.
|
||
Isotype |
Rabbit Ig
|
||
Symbol |
KIAA1526, WHRN
|
||
GeneID |
|||
UniProt ID |
|||
Function |
Necessary for elongation and maintenance of inner and outer hair cell stereocilia in the organ of Corti in the inner ear.
|
||
Summary |
This gene is thought to function in the organization andstabilization of sterocilia elongation and actin cystoskeletalassembly, based on studies of the related mouse gene. Mutations inthis gene have been associated with autosomal recessivenon-syndromic deafness and Usher Syndrome. Alternative splicing ofthis gene results in multiple transcript variants encodingdifferent isoforms.
|
||
Form |
Purified polyclonal antibody supplied in PBS with 0.09% (W/V) sodium azide. This antibody is purified through a protein A column, followed by peptide affinity purification. |
||
Storage & Stability |
Store at +4°C short term. For long-term storage, aliquot and store at -20°C or below. Stable for 12 months at -20°C. Avoid repeated freeze-thaw cycles.
|
||
Applications |
WB, IHC-P, E
|
||
Dilution |
WB~~1:1000
IHC-P~~1:10~50
|
||
Synonyms |
Whirlin, Autosomal recessive deafness type 31 protein, DFNB31, KIAA1526, WHRN
|
||
Images |
Western blot analysis of lysate from human kidney tissue lysate, using DFNB31 Antibody (Center)(Cat. APR11733G). APR11733G was diluted at 1:1000 at each lane. A goat anti-rabbit IgG H&L(HRP) at 1:5000 dilution was used as the secondary antibody. Lysate at 35ug per lane.
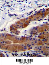
DFNB31 Antibody (Center) (Cat. APR11733G)immunohistochemistry analysis in formalin fixed and paraffin embedded stomach tissue followed by peroxidase conjugation of the secondary antibody and DAB staining.This data demonstrates the use of DFNB31 Antibody (Center) for immunohistochemistry. Clinical relevance has not been evaluated. |
||
Specification |
|||
Quantity |
|
||
| Select | Brand | Catalog No. | Product Name | Pack Size | Type | Field of Research | Specification | Quantity | Price(USD) | |
| 1 | Leading Biology | APR03440G | ITGA11 Antibody (N-term) | 100 μl | Polyclonal Antibodies |
|
$495.00 | Add Ask | ||
| 2 | Leading Biology | APR04537G | CMIP Antibody (C-term) | 100 μl | Polyclonal Antibodies |
|
$495.00 | Add Ask | ||
| 3 | Leading Biology | APR12422G | Human H4 Histamine Receptor (extracellular) Antibody | 50 μl | Polyclonal Antibodies |
|
$695.00 | Add Ask | ||
| 4 | Leading Biology | APR03844G | UBE2W Antibody (C-term) | 100 μl | Polyclonal Antibodies |
|
$495.00 | Add Ask | ||
| 5 | Leading Biology | APR04349G | HECTD2 Antibody (N-term) | 100 μl | Polyclonal Antibodies |
|
$495.00 | Add Ask | ||
| 6 | Leading Biology | APR03502G | IGHG1 Antibody (Center) | 100 μl | Polyclonal Antibodies |
|
$495.00 | Add Ask |
Leading Biology Inc.
2600 Hilltop DR, Building G, B Suite C138
Richmond, CA, 94806
Tel: 1-661-524(LBI)-0262
Email: info@leadingbiology.com
Complete this form and click send to ask us a question, request a quote or simply say hello.

You have 0 item in your cart

You have 0 item in your inquiry list