> Antigen, Antibodies, ELISA, Western Blot > Primary Antibody > Polyclonal Antibodies > ENT1 Antibody (C-term)Brand |
Leading Biology | Catalog Number |
APR14290G |
Product Type |
Polyclonal Antibodies | Field of Research |
|
Product Overview |
We constantly strive to ensure we provide our customers with the best antibodies. As a result of this work we offer this antibody in purified format.
We are in the process of updating our datasheets. If you have any questions regarding this update, please feel free to contact our technical support team.
This product is a high quality ENT1 antibody (C-term).
|
||
Molecular Weight |
50219 Da
|
||
Cellular Localization |
Antigen Cellular Localization:
Basolateral cell membrane; Multi-pass membrane protein. Apical cell membrane; Multi-pass membrane protein. Cell membrane; Multi-pass membrane protein Note=Predominantly localized in the basolateral membrane in polarized MDCK cells
|
||
Host |
Rabbit
|
||
Species Reactivity |
Human
|
||
Immunogen |
402-431 aa
|
||
Target |
This ENT1 antibody is generated from rabbits immunized with a KLH conjugated synthetic peptide between 402-431 amino acids from the C-terminal region of human ENT1.
|
||
Isotype |
Rabbit Ig
|
||
Symbol |
ENT1
|
||
GeneID |
|||
UniProt ID |
|||
Function |
Mediates both influx and efflux of nucleosides across the membrane (equilibrative transporter). It is sensitive (ES) to low concentrations of the inhibitor nitrobenzylmercaptopurine riboside (NBMPR) and is sodium-independent. It has a higher affinity for adenosine. Inhibited by dipyridamole and dilazep (anticancer chemotherapeutics drugs).
|
||
Summary |
ENT1 is a member of the equilibrative nucleoside transporter family. It is a transmembrane glycoprotein that localizes to the plasma and mitochondrial membranes and mediates the cellular uptake of nucleosides from the surrounding medium. The protein is categorized as an equilibrative (as opposed to concentrative) transporter that is sensitive to inhibition by nitrobenzylthioinosine (NBMPR). Nucleoside transporters are required for nucleotide synthesis in cells that lack de novo nucleoside synthesis pathways, and are also necessary for the uptake of cytotoxic nucleosides used for cancer and viral chemotherapies.
|
||
Form |
Purified polyclonal antibody supplied in PBS with 0.09% (W/V) sodium azide. This antibody is purified through a protein A column, followed by peptide affinity purification. |
||
Storage & Stability |
Store at +4°C short term. For long-term storage, aliquot and store at -20°C or below. Stable for 12 months at -20°C. Avoid repeated freeze-thaw cycles.
|
||
Applications |
WB, IHC-P, E
|
||
Dilution |
IHC-P~~1:25
WB~~1:1000
|
||
Synonyms |
Equilibrative nucleoside transporter 1, Equilibrative nitrobenzylmercaptopurine riboside-sensitive nucleoside transporter, Equilibrative NBMPR-sensitive nucleoside transporter, Nucleoside transporter, es-type, Solute carrier family 29 member 1, SLC29A1, ENT1
|
||
Images |
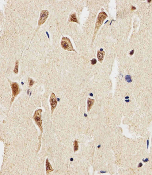
Immunohistochemical analysis of paraffin-embedded H. brain section using ENT1(Slc29a1) (C-term)( AP1086B). AP1086B was diluted at 1:25 dilution. A peroxidase-conjugated goat anti-rabbit IgG at 1:400 dilution was used as the secondary antibody, followed by DAB staining.
Immunohistochemical analysis of paraffin-embedded H. colon section using ENT1(Slc29a1) (C-term)( AP1086B). AP1086B was diluted at 1:25 dilution. A peroxidase-conjugated goat anti-rabbit IgG at 1:400 dilution was used as the secondary antibody, followed by DAB staining.
Immunohistochemical analysis of paraffin-embedded R. brain section using ENT1(Slc29a1) (C-term)( AP1086B). AP1086B was diluted at 1:25 dilution. A peroxidase-conjugated goat anti-rabbit IgG at 1:400 dilution was used as the secondary antibody, followed by DAB staining. |
||
Specification |
|||
Quantity |
|
||
| Select | Brand | Catalog No. | Product Name | Pack Size | Type | Field of Research | Specification | Quantity | Price(USD) | |
| 1 | Leading Biology | APR03440G | ITGA11 Antibody (N-term) | 100 μl | Polyclonal Antibodies |
|
$495.00 | Add Ask | ||
| 2 | Leading Biology | APR04537G | CMIP Antibody (C-term) | 100 μl | Polyclonal Antibodies |
|
$495.00 | Add Ask | ||
| 3 | Leading Biology | APR12422G | Human H4 Histamine Receptor (extracellular) Antibody | 50 μl | Polyclonal Antibodies |
|
$695.00 | Add Ask | ||
| 4 | Leading Biology | APR03844G | UBE2W Antibody (C-term) | 100 μl | Polyclonal Antibodies |
|
$495.00 | Add Ask | ||
| 5 | Leading Biology | APR04349G | HECTD2 Antibody (N-term) | 100 μl | Polyclonal Antibodies |
|
$495.00 | Add Ask | ||
| 6 | Leading Biology | APR03502G | IGHG1 Antibody (Center) | 100 μl | Polyclonal Antibodies |
|
$495.00 | Add Ask |
Leading Biology Inc.
2600 Hilltop DR, Building G, B Suite C138
Richmond, CA, 94806
Tel: 1-661-524(LBI)-0262
Email: info@leadingbiology.com
Complete this form and click send to ask us a question, request a quote or simply say hello.

You have 0 item in your cart

You have 0 item in your inquiry list