> Antigen, Antibodies, ELISA, Western Blot > Primary Antibody > Polyclonal Antibodies > BCL10 Antibody (N-term)Brand |
Leading Biology | Catalog Number |
APG02234G |
Product Type |
Polyclonal Antibodies | Field of Research |
|
Product Overview |
We constantly strive to ensure we provide our customers with the best antibodies. As a result of this work we offer this antibody in purified format.
We are in the process of updating our datasheets. If you have any questions regarding this update, please feel free to contact our technical support team.
This product is a high quality BCL10 antibody (N-term).
|
||
Molecular Weight |
26252 Da
|
||
Cellular Localization |
Antigen Cellular Localization:
Cytoplasm, perinuclear region. Membrane raft. Note=Appears to have a perinuclear, compact and filamentous pattern of expression. Also found in the nucleus of several types of tumor cells. Colocalized with DPP4 in membrane rafts
|
||
Host |
Rabbit
|
||
Species Reactivity |
Human, Mouse
|
||
Immunogen |
24-51 aa
|
||
Target |
This BCL10 antibody is generated from rabbits immunized with a KLH conjugated synthetic peptide between 24-51 amino acids from the N-terminal region of human BCL10.
|
||
Isotype |
Rabbit Ig
|
||
Symbol |
CIPER, CLAP
|
||
GeneID |
|||
UniProt ID |
|||
Function |
Involved in adaptive immune response (PubMed:25365219). Promotes apoptosis, pro-caspase-9 maturation and activation of NF- kappa-B via NIK and IKK. May be an adapter protein between upstream TNFR1-TRADD-RIP complex and the downstream NIK-IKK-IKAP complex. Is a substrate for MALT1 (PubMed:18264101).
|
||
Summary |
This gene was identified by its translocation in a case ofmucosa-associated lymphoid tissue (MALT) lymphoma. The proteinencoded by this gene contains a caspase recruitment domain (CARD),and has been shown to induce apoptosis and to activate NF-kappaB.This protein is reported to interact with other CARD domaincontaining proteins including CARD9, 10, 11 and 14, which arethought to function as upstream regulators in NF-kappaB signaling.This protein is found to form a complex with MALT1, a proteinencoded by another gene known to be translocated in MALT lymphoma.MALT1 and this protein are thought to synergize in the activationof NF-kappaB, and the deregulation of either of them may contributeto the same pathogenetic process that leads to the malignancy.
|
||
Form |
Purified polyclonal antibody supplied in PBS with 0.09% (W/V) sodium azide. This antibody is purified through a protein A column, followed by peptide affinity purification. |
||
Storage & Stability |
Store at +4°C short term. For long-term storage, aliquot and store at -20°C or below. Stable for 12 months at -20°C. Avoid repeated freeze-thaw cycles.
|
||
Applications |
WB, IHC-P, IF, FC, E
|
||
Dilution |
WB~~1:1000
IHC-P~~1:50~100
IF~~1:10~50
FC~~1:10~50
|
||
Synonyms |
B-cell lymphoma/leukemia 10, B-cell CLL/lymphoma 10, Bcl-10, CARD-containing molecule enhancing NF-kappa-B, CARD-like apoptotic protein, hCLAP, CED-3/ICH-1 prodomain homologous E10-like regulator, CIPER, Cellular homolog of vCARMEN, cCARMEN, Cellular-E10, c-E10, Mammalian CARD-containing adapter molecule E10, mE10, BCL10, CIPER, CLAP
|
||
Images |
BCL10 Antibody (N-term) (Cat. APG02234G) western blot analysis in mouse kidney tissue lysates (35ug/lane).This demonstrates the BCL10 antibody detected the BCL10 protein (arrow).
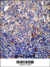
BCL10 antibody (N-term) (Cat. APG02234G) immunohistochemistry analysis in formalin fixed and paraffin embedded human tonsil tissue followed by peroxidase conjugation of the secondary antibody and DAB staining.This data demonstrates the use of the BCL10 antibody (N-term) for immunohistochemistry. Clinical relevance has not been evaluated.
Confocal immunofluorescent analysis of BCL10 Antibody (N-term) ( APG02234G) with Hela cell followed by Alexa Fluor 488-conjugated goat anti-rabbit lgG (green). DAPI was used to stain the cell nuclear (blue). |
||
Specification |
|||
Quantity |
|
||
| Select | Brand | Catalog No. | Product Name | Pack Size | Type | Field of Research | Specification | Quantity | Price(USD) | |
| 1 | Leading Biology | APR03440G | ITGA11 Antibody (N-term) | 100 μl | Polyclonal Antibodies |
|
$495.00 | Add Ask | ||
| 2 | Leading Biology | APR04537G | CMIP Antibody (C-term) | 100 μl | Polyclonal Antibodies |
|
$495.00 | Add Ask | ||
| 3 | Leading Biology | APR12422G | Human H4 Histamine Receptor (extracellular) Antibody | 50 μl | Polyclonal Antibodies |
|
$695.00 | Add Ask | ||
| 4 | Leading Biology | APR03844G | UBE2W Antibody (C-term) | 100 μl | Polyclonal Antibodies |
|
$495.00 | Add Ask | ||
| 5 | Leading Biology | APR04349G | HECTD2 Antibody (N-term) | 100 μl | Polyclonal Antibodies |
|
$495.00 | Add Ask | ||
| 6 | Leading Biology | APR03502G | IGHG1 Antibody (Center) | 100 μl | Polyclonal Antibodies |
|
$495.00 | Add Ask |
Leading Biology Inc.
2600 Hilltop DR, Building G, B Suite C138
Richmond, CA, 94806
Tel: 1-661-524(LBI)-0262
Email: info@leadingbiology.com
Complete this form and click send to ask us a question, request a quote or simply say hello.

You have 0 item in your cart

You have 0 item in your inquiry list