> Antigen, Antibodies, ELISA, Western Blot > Primary Antibody > Polyclonal Antibodies > UBC9 (UBE2I) Antibody (N-term)Brand |
Leading Biology | Catalog Number |
APR07045G |
Product Type |
Polyclonal Antibodies | Field of Research |
|
Product Overview |
We constantly strive to ensure we provide our customers with the best antibodies. As a result of this work we offer this antibody in purified format.
We are in the process of updating our datasheets. If you have any questions regarding this update, please feel free to contact our technical support team.
This product is a high quality UBC9 (UBE2I) antibody (N-term).
|
||
Molecular Weight |
18007 Da
|
||
Cellular Localization |
Antigen Cellular Localization:
Nucleus. Cytoplasm. Note=Mainly nuclear. In spermatocytes, localizes in synaptonemal complexes. Recruited by BCL11A into the nuclear body (By similarity).
|
||
Host |
Rabbit
|
||
Species Reactivity |
Human
|
||
Immunogen |
1-30 aa
|
||
Target |
This UBC9 (UBE2I) antibody is generated from rabbits immunized with a KLH conjugated synthetic peptide between 1-30 amino acids from the N-terminal region of human UBC9 (UBE2I).
|
||
Isotype |
Rabbit Ig
|
||
Symbol |
UBC9, UBCE9
|
||
GeneID |
|||
UniProt ID |
|||
Function |
Accepts the ubiquitin-like proteins SUMO1, SUMO2, SUMO3 and SUMO4 from the UBLE1A-UBLE1B E1 complex and catalyzes their covalent attachment to other proteins with the help of an E3 ligase such as RANBP2 or CBX4. Can catalyze the formation of poly- SUMO chains. Necessary for sumoylation of FOXL2 and KAT5. Essential for nuclear architecture and chromosome segregation. Sumoylates p53/TP53 at 'Lys-386'.
|
||
Summary |
UBE2I (Ubc9) is a member of the E2 family and is specific for the conjugation of SUMO to a variety of target proteins. SUMO conjugation to target proteins is mediated by a different, but analogous, pathway to ubiquitinylation. This E2 is unusual in that it interacts directly with protein substrates that are modified by sumoylation, and may play a role in substrate recognition. UBE2I can mediate the conjugation of SUMO-1 to a variety of proteins including RanGAP1, I?B?, and PML without the requirement of an E3 ligase. UBE2I is essential for nuclear architecture and chromosome segregation.
|
||
Form |
Purified polyclonal antibody supplied in PBS with 0.09% (W/V) sodium azide. This antibody is prepared by Saturated Ammonium Sulfate (SAS) precipitation followed by dialysis against PBS. |
||
Storage & Stability |
Store at +4°C short term. For long-term storage, aliquot and store at -20°C or below. Stable for 12 months at -20°C. Avoid repeated freeze-thaw cycles.
|
||
Applications |
WB, IHC-P, E
|
||
Dilution |
WB~~1:1000
IHC-P~~1:50~100
|
||
Synonyms |
SUMO-conjugating enzyme UBC9, 632-, SUMO-protein ligase, Ubiquitin carrier protein 9, Ubiquitin carrier protein I, Ubiquitin-conjugating enzyme E2 I, Ubiquitin-protein ligase I, p18, UBE2I, UBC9, UBCE9
|
||
Images |
Western blot analysis of anti-UBE2I Antibody (N-term) (Cat. APR07045G) in A2058 cell line lysates (35ug/lane). UBE2I(arrow) was detected using the purified Pab.
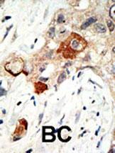
Formalin-fixed and paraffin-embedded human cancer tissue reacted with the primary antibody, which was peroxidase-conjugated to the secondary antibody, followed by AEC staining. This data demonstrates the use of this antibody for immunohistochemistry; clinical relevance has not been evaluated. BC = breast carcinoma; HC = hepatocarcinoma.
Western blot analysis of UBE2I (arrow) using rabbit polyclonal UBE2I Antibody (S7) (Cat. APR07045G). 293 cell lysates (2 ug/lane) either nontransfected (Lane 1) or transiently transfected (Lane 2) with the UBE2I gene. |
||
Specification |
|||
Quantity |
|
||
| Select | Brand | Catalog No. | Product Name | Pack Size | Type | Field of Research | Specification | Quantity | Price(USD) | |
| 1 | Leading Biology | APR03440G | ITGA11 Antibody (N-term) | 100 μl | Polyclonal Antibodies |
|
$495.00 | Add Ask | ||
| 2 | Leading Biology | APR04537G | CMIP Antibody (C-term) | 100 μl | Polyclonal Antibodies |
|
$495.00 | Add Ask | ||
| 3 | Leading Biology | APR12422G | Human H4 Histamine Receptor (extracellular) Antibody | 50 μl | Polyclonal Antibodies |
|
$695.00 | Add Ask | ||
| 4 | Leading Biology | APR03844G | UBE2W Antibody (C-term) | 100 μl | Polyclonal Antibodies |
|
$495.00 | Add Ask | ||
| 5 | Leading Biology | APR04349G | HECTD2 Antibody (N-term) | 100 μl | Polyclonal Antibodies |
|
$495.00 | Add Ask | ||
| 6 | Leading Biology | APR03502G | IGHG1 Antibody (Center) | 100 μl | Polyclonal Antibodies |
|
$495.00 | Add Ask |
Leading Biology Inc.
2600 Hilltop DR, Building G, B Suite C138
Richmond, CA, 94806
Tel: 1-661-524(LBI)-0262
Email: info@leadingbiology.com
Complete this form and click send to ask us a question, request a quote or simply say hello.

You have 0 item in your cart

You have 0 item in your inquiry list