> Antigen, Antibodies, ELISA, Western Blot > Primary Antibody > Polyclonal Antibodies > IGF2BP2 Antibody (C-term)Brand |
Leading Biology | Catalog Number |
APR07956G |
Product Type |
Polyclonal Antibodies | Field of Research |
|
Product Overview |
We constantly strive to ensure we provide our customers with the best antibodies. As a result of this work we offer this antibody in purified format.
We are in the process of updating our datasheets. If you have any questions regarding this update, please feel free to contact our technical support team.
This product is a high quality IGF2BP2 antibody (C-term).
|
||
Molecular Weight |
66121 Da
|
||
Cellular Localization |
Antigen Cellular Localization:
Nucleus. Cytoplasm. Note=Localized in cytoplasmic mRNP granules containing untranslated mRNAs. Localizes at the connecting piece and the tail of the spermatozoa. In response to cellular stress, such as oxidative stress, recruited to stress granules
|
||
Host |
Rabbit
|
||
Species Reactivity |
Human
|
||
Immunogen |
530-556 aa
|
||
Target |
This IGF2BP2 antibody is generated from rabbits immunized with a KLH conjugated synthetic peptide between 530-556 amino acids from the C-terminal region of human IGF2BP2.
|
||
Isotype |
Rabbit Ig
|
||
Symbol |
IMP2, VICKZ2
|
||
GeneID |
|||
UniProt ID |
|||
Function |
RNA-binding factor that recruits target transcripts to cytoplasmic protein-RNA complexes (mRNPs). This transcript 'caging' into mRNPs allows mRNA transport and transient storage. It also modulates the rate and location at which target transcripts encounter the translational apparatus and shields them from endonuclease attacks or microRNA-mediated degradation (By similarity). Binds to the 5'-UTR of the insulin-like growth factor 2 (IGF2) mRNAs. Binding is isoform-specific. Binds to beta- actin/ACTB and MYC transcripts.
|
||
Summary |
This gene encodes a member of the IGF-II mRNA-bindingprotein (IMP) family. The protein encoded by this gene containsseveral four KH domains and two RRM domains. It functions bybinding to the 5' UTR of the insulin-like growth factor 2 (IGF2)mRNA and regulating IGF2 translation. Alternate transcriptionalsplice variants, encoding different isoforms, have beencharacterized.
|
||
Form |
Purified polyclonal antibody supplied in PBS with 0.09% (W/V) sodium azide. This antibody is purified through a protein A column, followed by peptide affinity purification. |
||
Storage & Stability |
Store at +4°C short term. For long-term storage, aliquot and store at -20°C or below. Stable for 12 months at -20°C. Avoid repeated freeze-thaw cycles.
|
||
Applications |
WB, IHC-P, FC, E
|
||
Dilution |
WB~~1:1000
IHC-P~~1:50~100
FC~~1:10~50
|
||
Synonyms |
Insulin-like growth factor 2 mRNA-binding protein 2, IGF2 mRNA-binding protein 2, IMP-2, Hepatocellular carcinoma autoantigen p62, IGF-II mRNA-binding protein 2, VICKZ family member 2, IGF2BP2, IMP2, VICKZ2
|
||
Images |
IGF2BP2 Antibody (C-term) (Cat. APR07956G) western blot analysis in HepG2 cell line lysates (35ug/lane).This demonstrates the IGF2BP2 antibody detected the IGF2BP2 protein (arrow).
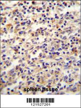
IGF2BP2 antibody(C-term) (Cat. APR07956G) immunohistochemistry analysis in formalin fixed and paraffin embedded human spleen tissue followed by peroxidase conjugation of the secondary antibody and DAB staining. This data demonstrates the use of the IGF2BP2 antibody(C-term) for immunohistochemistry. Clinical relevance has not been evaluated.
IGF2BP2 Antibody (C-term) (Cat. APR07956G) flow cytometric analysis of HepG2 cells (right histogram) compared to a negative control cell (left histogram).FITC-conjugated goat-anti-rabbit secondary antibodies were used for the analysis. |
||
Specification |
|||
Quantity |
|
||
| Select | Brand | Catalog No. | Product Name | Pack Size | Type | Field of Research | Specification | Quantity | Price(USD) | |
| 1 | Leading Biology | APR03440G | ITGA11 Antibody (N-term) | 100 μl | Polyclonal Antibodies |
|
$495.00 | Add Ask | ||
| 2 | Leading Biology | APR04537G | CMIP Antibody (C-term) | 100 μl | Polyclonal Antibodies |
|
$495.00 | Add Ask | ||
| 3 | Leading Biology | APR12422G | Human H4 Histamine Receptor (extracellular) Antibody | 50 μl | Polyclonal Antibodies |
|
$695.00 | Add Ask | ||
| 4 | Leading Biology | APR03844G | UBE2W Antibody (C-term) | 100 μl | Polyclonal Antibodies |
|
$495.00 | Add Ask | ||
| 5 | Leading Biology | APR04349G | HECTD2 Antibody (N-term) | 100 μl | Polyclonal Antibodies |
|
$495.00 | Add Ask | ||
| 6 | Leading Biology | APR03502G | IGHG1 Antibody (Center) | 100 μl | Polyclonal Antibodies |
|
$495.00 | Add Ask |
Leading Biology Inc.
2600 Hilltop DR, Building G, B Suite C138
Richmond, CA, 94806
Tel: 1-661-524(LBI)-0262
Email: info@leadingbiology.com
Complete this form and click send to ask us a question, request a quote or simply say hello.

You have 0 item in your cart

You have 0 item in your inquiry list