> Antigen, Antibodies, ELISA, Western Blot > Primary Antibody > Polyclonal Antibodies > Urokinase (PLAU) Antibody (N-term)Brand |
Leading Biology | Catalog Number |
APR10806G |
Product Type |
Polyclonal Antibodies | Field of Research |
|
Product Overview |
We constantly strive to ensure we provide our customers with the best antibodies. As a result of this work we offer this antibody in purified format.
We are in the process of updating our datasheets. If you have any questions regarding this update, please feel free to contact our technical support team.
This product is a high quality Urokinase (PLAU) antibody (N-term).
|
||
Molecular Weight |
48507 Da
|
||
Cellular Localization |
Antigen Cellular Localization:
Secreted.
|
||
Host |
Rabbit
|
||
Species Reactivity |
Human, Mouse
|
||
Immunogen |
60-90 aa
|
||
Target |
This Urokinase (PLAU) antibody is generated from rabbits immunized with a KLH conjugated synthetic peptide between 60-90 amino acids from the N-terminal region of human Urokinase (PLAU).
|
||
Isotype |
Rabbit Ig
|
||
GeneID |
|||
UniProt ID |
|||
Function |
Specifically cleaves the zymogen plasminogen to form the active enzyme plasmin.
|
||
Summary |
PLAU, a member of the peptidase family S1, is a potent plasminogen activator and is clinically used for therapy of thrombolytic disorders. PLAU specifically cleaves the Arg-|-Val bond in plasminogen to form plasmin. The protein is found in high and low molecular mass forms. Each consists of two chains, A and B. The high molecular mass form contains a long chain A. Cleavage occurs after residue 155 in the low molecular mass form to yield a short A1 chain. The protein is used in Pulmonary Embolism (PE) to initiates fibrinolysis. Structurally, PLAU contains 1 EGF-like domain and 1 kringle domain.
|
||
Form |
Purified polyclonal antibody supplied in PBS with 0.09% (W/V) sodium azide. This antibody is prepared by Saturated Ammonium Sulfate (SAS) precipitation followed by dialysis against PBS. |
||
Storage & Stability |
Store at +4°C short term. For long-term storage, aliquot and store at -20°C or below. Stable for 12 months at -20°C. Avoid repeated freeze-thaw cycles.
|
||
Applications |
WB, IHC-P, FC, E
|
||
Dilution |
WB~~1:1000
IHC-P~~1:10~50
FC~~1:10~50
|
||
Synonyms |
Urokinase-type plasminogen activator, U-plasminogen activator, uPA, Urokinase-type plasminogen activator long chain A, Urokinase-type plasminogen activator short chain A, Urokinase-type plasminogen activator chain B, PLAU
|
||
Images |
Western blot analysis of anti-PLAU Antibody (N-term) (Cat. APR10806G) in mouse brain tissue lysates (35ug/lane). PLAU (arrow) was detected using the purified Pab.
Western blot analysis of anti-PLAU Antibody (N-term) (Cat. APR10806G) in A2058 cell line lysates (35ug/lane). PLAU (arrow) was detected using the purified Pab.
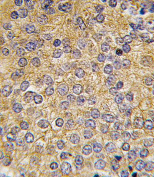
Formalin-fixed and paraffin-embedded human prostata carcinoma tissue reacted with PLAU antibody (N-term), which was peroxidase-conjugated to the secondary antibody, followed by DAB staining. This data demonstrates the use of this antibody for immunohistochemistry; clinical relevance has not been evaluated. |
||
Specification |
|||
Quantity |
|
||
| Select | Brand | Catalog No. | Product Name | Pack Size | Type | Field of Research | Specification | Quantity | Price(USD) | |
| 1 | Leading Biology | APR03440G | ITGA11 Antibody (N-term) | 100 μl | Polyclonal Antibodies |
|
$495.00 | Add Ask | ||
| 2 | Leading Biology | APR04537G | CMIP Antibody (C-term) | 100 μl | Polyclonal Antibodies |
|
$495.00 | Add Ask | ||
| 3 | Leading Biology | APR12422G | Human H4 Histamine Receptor (extracellular) Antibody | 50 μl | Polyclonal Antibodies |
|
$695.00 | Add Ask | ||
| 4 | Leading Biology | APR03844G | UBE2W Antibody (C-term) | 100 μl | Polyclonal Antibodies |
|
$495.00 | Add Ask | ||
| 5 | Leading Biology | APR04349G | HECTD2 Antibody (N-term) | 100 μl | Polyclonal Antibodies |
|
$495.00 | Add Ask | ||
| 6 | Leading Biology | APR03502G | IGHG1 Antibody (Center) | 100 μl | Polyclonal Antibodies |
|
$495.00 | Add Ask |
Leading Biology Inc.
2600 Hilltop DR, Building G, B Suite C138
Richmond, CA, 94806
Tel: 1-661-524(LBI)-0262
Email: info@leadingbiology.com
Complete this form and click send to ask us a question, request a quote or simply say hello.

You have 0 item in your cart

You have 0 item in your inquiry list