> Antigen, Antibodies, ELISA, Western Blot > Primary Antibody > Polyclonal Antibodies > NME2 Antibody (N-term)Brand |
Leading Biology | Catalog Number |
APR10898G |
Product Type |
Polyclonal Antibodies | Field of Research |
|
Product Overview |
We constantly strive to ensure we provide our customers with the best antibodies. As a result of this work we offer this antibody in purified format.
We are in the process of updating our datasheets. If you have any questions regarding this update, please feel free to contact our technical support team.
This product is a high quality NME2 antibody (N-term).
|
||
Molecular Weight |
17298 Da
|
||
Cellular Localization |
Antigen Cellular Localization:
Cytoplasm. Nucleus. Cell projection, lamellipodium. Cell projection, ruffle. Note=Isoform 2 is mainly cytoplasmic and isoform 1 and isoform 2 are excluded from the nucleolus. Colocalizes with ITGB1 and ITGB1BP1 at the edge or peripheral ruffles and lamellipodia during the early stages of cell spreading on fibronectin or collagen but not on vitronectin or laminin substrates
|
||
Host |
Rabbit
|
||
Species Reactivity |
Human, Mouse, Rat
|
||
Immunogen |
25-54 aa
|
||
Target |
This NME2 antibody is generated from rabbits immunized with a KLH conjugated synthetic peptide between 25-54 amino acids from the N-terminal region of human NME2.
|
||
Isotype |
Rabbit Ig
|
||
Symbol |
NM23B
|
||
GeneID |
|||
UniProt ID |
|||
Function |
Major role in the synthesis of nucleoside triphosphates other than ATP. Negatively regulates Rho activity by interacting with AKAP13/LBC. Acts as a transcriptional activator of the MYC gene; binds DNA non-specifically (PubMed:8392752). Exhibits histidine protein kinase activity.
|
||
Summary |
NM2 is a heterodimeric protein functioning as a nucleoside diphosphate (NDP) kinase. NME1 and NME2 comprise the 152 amino acid A and B polypeptide chains of the NM23 enzyme, respectively. NME2 is identical to the beta subunit of human erythrocyte NDP kinase. NDP kinases are involved in the synthesis of nucleoside triphosphates, and NM23 may act in the regulation of signal transduction by complexing with G proteins, causing activation/inactivation of developmental pathways. NEM2 has been identified as a putative tumor suppressor. High expression of mouse NME2 is detected in heart, liver, and kidney, with moderate expression in skeletal muscle, and negligible expression in other mouse tissues examined.
|
||
Form |
Purified polyclonal antibody supplied in PBS with 0.09% (W/V) sodium azide. This antibody is purified through a protein A column, followed by peptide affinity purification. |
||
Storage & Stability |
Store at +4°C short term. For long-term storage, aliquot and store at -20°C or below. Stable for 12 months at -20°C. Avoid repeated freeze-thaw cycles.
|
||
Applications |
WB, IHC-P, IF, E
|
||
Dilution |
WB~~1:1000
IHC-P~~1:50~100
IF~~1:10~50
|
||
Synonyms |
Nucleoside diphosphate kinase B, NDK B, NDP kinase B, C-myc purine-binding transcription factor PUF, Histidine protein kinase NDKB, nm23-H2, NME2, NM23B
|
||
Images |
NME2 Antibody (F40) (Cat. APR10898G) western blot analysis in HL-60,Jurkat,MCF-7 cell line,mouse kidney and rat stomach tissue lysates (35ug/lane).This demonstrates the NME2 antibody detected the NME2 protein (arrow).
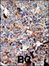
Formalin-fixed and paraffin-embedded human cancer tissue reacted with the primary antibody, which was peroxidase-conjugated to the secondary antibody, followed by AEC staining. This data demonstrates the use of this antibody for immunohistochemistry; clinical relevance has not been evaluated. BC = breast carcinoma; HC = hepatocarcinoma.
Fluorescent confocal image of Hela cell stained with NME2 Antibody (N-term)( APR10898G).Hela cells were fixed with 4% PFA (20 min), permeabilized with Triton X-100 (0.1%, 10 min), then incubated with NME2 primary antibody (1:25, 1 h at 37℃). For secondary antibody, Alexa Fluor? 488 conjugated donkey anti-rabbit antibody (green) was used (1:400, 50 min at 37℃).Cytoplasmic actin was counterstained with Alexa Fluor? 555 (red) conjugated Phalloidin (7units/ml, 1 h at 37℃). Nuclei were counterstained with DAPI (blue) (10 μg/ml, 10 min). NME2 immunoreactivity is localized to Cytoplasm and Nucleus significantly. |
||
Specification |
|||
Quantity |
|
||
| Select | Brand | Catalog No. | Product Name | Pack Size | Type | Field of Research | Specification | Quantity | Price(USD) | |
| 1 | Leading Biology | APR03440G | ITGA11 Antibody (N-term) | 100 μl | Polyclonal Antibodies |
|
$495.00 | Add Ask | ||
| 2 | Leading Biology | APR04537G | CMIP Antibody (C-term) | 100 μl | Polyclonal Antibodies |
|
$495.00 | Add Ask | ||
| 3 | Leading Biology | APR12422G | Human H4 Histamine Receptor (extracellular) Antibody | 50 μl | Polyclonal Antibodies |
|
$695.00 | Add Ask | ||
| 4 | Leading Biology | APR03844G | UBE2W Antibody (C-term) | 100 μl | Polyclonal Antibodies |
|
$495.00 | Add Ask | ||
| 5 | Leading Biology | APR04349G | HECTD2 Antibody (N-term) | 100 μl | Polyclonal Antibodies |
|
$495.00 | Add Ask | ||
| 6 | Leading Biology | APR03502G | IGHG1 Antibody (Center) | 100 μl | Polyclonal Antibodies |
|
$495.00 | Add Ask |
Leading Biology Inc.
2600 Hilltop DR, Building G, B Suite C138
Richmond, CA, 94806
Tel: 1-661-524(LBI)-0262
Email: info@leadingbiology.com
Complete this form and click send to ask us a question, request a quote or simply say hello.

You have 0 item in your cart

You have 0 item in your inquiry list