> Antigen, Antibodies, ELISA, Western Blot > Primary Antibody > Polyclonal Antibodies > PIP5K2 Alpha (PIP5K2A) Antibody (C-term)Brand |
Leading Biology | Catalog Number |
APR10802G |
Product Type |
Polyclonal Antibodies | Field of Research |
|
Product Overview |
We constantly strive to ensure we provide our customers with the best antibodies. As a result of this work we offer this antibody in purified format.
We are in the process of updating our datasheets. If you have any questions regarding this update, please feel free to contact our technical support team.
This product is a high quality PIP5K2 Alpha (PIP5K2A) antibody (C-term).
|
||
Molecular Weight |
46225 Da
|
||
Cellular Localization |
Antigen Cellular Localization:
Cell membrane. Nucleus. Cytoplasm. Note=May translocate from the cytosol to the cell membrane upon activation of tyrosine phosphorylation. May translocate from the inner to the outer segments of the rod photoreceptor cells in response to light (By similarity). Localization to the nucleus is modulated by the interaction with PIP4K2B.
|
||
Host |
Rabbit
|
||
Species Reactivity |
Human
|
||
Immunogen |
303-335 aa
|
||
Target |
This PIP5K2 Alpha (PIP5K2A) antibody is generated from rabbits immunized with a KLH conjugated synthetic peptide between 303-335 amino acids from the C-terminal region of human PIP5K2 Alpha (PIP5K2A).
|
||
Isotype |
Rabbit Ig
|
||
Symbol |
PIP5K2, PIP5K2A
|
||
GeneID |
|||
UniProt ID |
|||
Function |
Catalyzes the phosphorylation of phosphatidylinositol 5- phosphate (PtdIns5P) on the fourth hydroxyl of the myo-inositol ring, to form phosphatidylinositol 4,5-bisphosphate (PtdIns(4,5)P2). May exert its function by regulating the levels of PtdIns5P, which functions in the cytosol by increasing AKT activity and in the nucleus signals through ING2. May regulate the pool of cytosolic PtdIns5P in response to the activation of tyrosine phosphorylation. May negatively regulate insulin- stimulated glucose uptake by lowering the levels of PtdIns5P. May be involved in thrombopoiesis, and the terminal maturation of megakaryocytes and regulation of their size.
|
||
Summary |
Phosphatidylinositol-4,5-bisphosphate, the precursor to second messengers of the phosphoinositide signal transduction pathways, is thought to be involved in the regulation of secretion, cell proliferation, differentiation, and motility. TPIP5K2A is one of a family of enzymes capable of catalyzing the phosphorylation of phosphatidylinositol-4-phosphate on the fifth hydroxyl of the myo-inositol ring to form phosphatidylinositol-4,5-bisphosphate. The amino acid sequence of this enzyme does not show homology to other kinases, but the recombinant protein does exhibit kinase activity. The protein is a member of the phosphatidylinositol-4-phosphate 5-kinase family.
|
||
Form |
Purified polyclonal antibody supplied in PBS with 0.09% (W/V) sodium azide. This antibody is prepared by Saturated Ammonium Sulfate (SAS) precipitation followed by dialysis against PBS. |
||
Storage & Stability |
Store at +4°C short term. For long-term storage, aliquot and store at -20°C or below. Stable for 12 months at -20°C. Avoid repeated freeze-thaw cycles.
|
||
Applications |
WB, IHC-P, E
|
||
Dilution |
WB~~1:1000
IHC-P~~1:50~100
|
||
Synonyms |
Phosphatidylinositol 5-phosphate 4-kinase type-2 alpha, 1-phosphatidylinositol 5-phosphate 4-kinase 2-alpha, Diphosphoinositide kinase 2-alpha, PIP5KIII, Phosphatidylinositol 5-phosphate 4-kinase type II alpha, PI(5)P 4-kinase type II alpha, PIP4KII-alpha, PtdIns(4)P-5-kinase B isoform, PtdIns(4)P-5-kinase C isoform, PtdIns(5)P-4-kinase isoform 2-alpha, PIP4K2A, PIP5K2, PIP5K2A
|
||
Images |
Western blot analysis of anti-PIP5K2A Pab (Cat. APR10802G) in HL60 cell lysate. PIP5K2A (arrow) was detected using purified Pab. Secondary HRP-anti-rabbit was used for signal visualization with chemiluminescence.
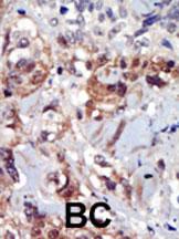
Formalin-fixed and paraffin-embedded human cancer tissue reacted with the primary antibody, which was peroxidase-conjugated to the secondary antibody, followed by AEC staining. This data demonstrates the use of this antibody for immunohistochemistry; clinical relevance has not been evaluated. BC = breast carcinoma; HC = hepatocarcinoma. |
||
Specification |
|||
Quantity |
|
||
| Select | Brand | Catalog No. | Product Name | Pack Size | Type | Field of Research | Specification | Quantity | Price(USD) | |
| 1 | Leading Biology | APR03440G | ITGA11 Antibody (N-term) | 100 μl | Polyclonal Antibodies |
|
$495.00 | Add Ask | ||
| 2 | Leading Biology | APR04537G | CMIP Antibody (C-term) | 100 μl | Polyclonal Antibodies |
|
$495.00 | Add Ask | ||
| 3 | Leading Biology | APR12422G | Human H4 Histamine Receptor (extracellular) Antibody | 50 μl | Polyclonal Antibodies |
|
$695.00 | Add Ask | ||
| 4 | Leading Biology | APR03844G | UBE2W Antibody (C-term) | 100 μl | Polyclonal Antibodies |
|
$495.00 | Add Ask | ||
| 5 | Leading Biology | APR04349G | HECTD2 Antibody (N-term) | 100 μl | Polyclonal Antibodies |
|
$495.00 | Add Ask | ||
| 6 | Leading Biology | APR03502G | IGHG1 Antibody (Center) | 100 μl | Polyclonal Antibodies |
|
$495.00 | Add Ask |
Leading Biology Inc.
2600 Hilltop DR, Building G, B Suite C138
Richmond, CA, 94806
Tel: 1-661-524(LBI)-0262
Email: info@leadingbiology.com
Complete this form and click send to ask us a question, request a quote or simply say hello.

You have 0 item in your cart

You have 0 item in your inquiry list